Suppr超能文献

索拉非尼和依达拉奉通过抑制氧化应激、炎症和 RIPK-3/MLKL 通路,防止单侧输尿管梗阻引起的肾纤维化。

Sorafenib and edaravone protect against renal fibrosis induced by unilateral ureteral obstruction via inhibition of oxidative stress, inflammation, and RIPK-3/MLKL pathway.

机构信息

Department of Pharmacology and Toxicology, Faculty of Pharmacy, Al-Azhar University Assiut Branch, Assiut, 71524, Egypt.

Department of Pharmacology and Toxicology, Faculty of Pharmacy, Al-Azhar University, Cairo, Egypt.

出版信息

Naunyn Schmiedebergs Arch Pharmacol. 2024 Nov;397(11):8961-8977. doi: 10.1007/s00210-024-03146-z. Epub 2024 Jun 14.

Abstract

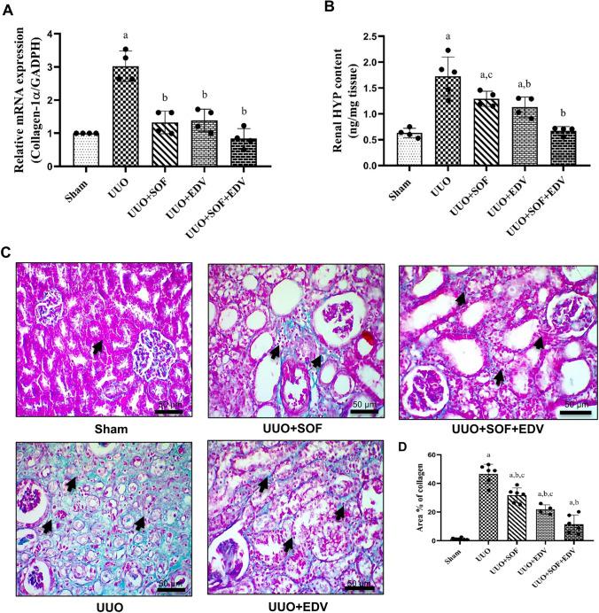
Renal fibrosis is the common endpoint of nearly all chronic and progressive nephropathies. Cell death and sterile inflammation are the main characteristics of renal fibrosis, which can lead to end-stage renal failure. The inflammatory reaction triggered by tissue damage is strongly related to necroptosis, a type of caspase-independent, regulated cell death. Using an animal model of unilateral ureteral obstruction (UUO), the anti-fibrotic effects of sorafenib (SOF), a multi-kinase inhibitor, and edaravone (EDV), a potent antioxidant and free radical scavenger, were examined in rats with obstructive nephropathy. Experimentally, animals were divided randomly into five groups: sham; UUO; UUO + SOF (5 mg/kg/day, P.O.); UUO + EDV (20 mg/kg/day, P.O.); and UUO + SOF + EDV groups. The kidney function biomarkers, oxidant/antioxidant status, renal mRNA expressions of TNF-α, collagen-1α, protein expressions of RIPK-1, RIPK-3, MLKL, caspase-8, HYP, MPO, and TNF-α were all significantly modulated by UUO. Administration of either SOF or EDV significantly attenuated cellular and molecular changes induced by UUO. Also, histopathological changes were improved. Moreover, SOF in combination with EDV, significantly improved UUO-induced renal fibrosis compared with each drug alone. Collectively, administration of either SOF or EDV or both of them significantly attenuated the rats with obstructive nephropathy, possibly by blocking the RIPK-3/MLKL necroptotic pathway and suppressing renal oxidative stress and inflammation.

摘要

肾纤维化是几乎所有慢性进行性肾病的共同终点。细胞死亡和无菌性炎症是肾纤维化的主要特征,可导致终末期肾衰竭。组织损伤引发的炎症反应与坏死性凋亡密切相关,坏死性凋亡是一种不依赖半胱天冬酶的、受调控的细胞死亡方式。本研究采用单侧输尿管梗阻(UUO)动物模型,观察多激酶抑制剂索拉非尼(SOF)和强效抗氧化剂及自由基清除剂依达拉奉(EDV)对梗阻性肾病大鼠的抗纤维化作用。实验中,动物随机分为 5 组:假手术组;UUO 组;UUO+SOF(5mg/kg/天,口服)组;UUO+EDV(20mg/kg/天,口服)组;UUO+SOF+EDV 组。UUO 可显著调节肾功能生物标志物、氧化应激/抗氧化状态、TNF-α、胶原-1α 的肾脏 mRNA 表达、RIPK-1、RIPK-3、MLKL、caspase-8、HYP、MPO 和 TNF-α的蛋白表达。SOF 或 EDV 给药可显著减轻 UUO 诱导的细胞和分子变化,改善组织病理学变化。此外,SOF 联合 EDV 给药可显著改善 UUO 诱导的肾纤维化,优于单独使用每种药物。总之,SOF 或 EDV 或两者联合给药可显著减轻梗阻性肾病大鼠的病情,可能通过阻断 RIPK-3/MLKL 坏死性凋亡途径和抑制肾氧化应激和炎症反应。

https://cdn.ncbi.nlm.nih.gov/pmc/blobs/5e7e/11522075/f7bf1fe29520/210_2024_3146_Fig1_HTML.jpg

文献AI研究员

20分钟写一篇综述,助力文献阅读效率提升50倍。

立即体验

用中文搜PubMed

大模型驱动的PubMed中文搜索引擎

马上搜索

文档翻译

学术文献翻译模型,支持多种主流文档格式。

立即体验