Suppr超能文献

调节先天免疫相关基因,从而产生预防性抗微生物和抗病毒特性。

Modulation of innate immunity related genes resulting in prophylactic antimicrobial and antiviral properties.

机构信息

Department of Molecular Medicine and Medical Biotechnology (DMMBM), University of Naples 'Federico II', Via Sergio Pansini 5, 80131, Naples, Italy.

CEINGE Biotecnologie Avanzate 'Franco Salvatore', Via Gaetano Salvatore 486, 80145, Naples, Italy.

出版信息

J Transl Med. 2024 Jun 17;22(1):574. doi: 10.1186/s12967-024-05378-2.

Abstract

BACKGROUND

The innate immunity acts during the early phases of infection and its failure in response to a multilayer network of co-infections is cause of immune system dysregulation. Epidemiological SARS-CoV-2 infections data, show that Influenza Virus (FLU-A-B-C) and Respiratory Syncytial Virus (RSV) are co-habiting those respiratory traits. These viruses, especially in children (mostly affected by 'multi-system inflammatory syndrome in children' [MIS-C] and the winter pandemic FLU), in the aged population, and in 'fragile' patients are causing alteration in immune response. Then, bacterial and fungal pathogens are also co-habiting the upper respiratory traits (e.g., Staphylococcus aureus and Candida albicans), thus contributing to morbidity in those COVID-19 affected patients.

METHODS

Liquid chromatography coupled with high-resolution mass spectrometry using the quadrupole orbital ion trap analyser (i.e., UHPLC-Q-Orbitrap HRMS) was adopted to measure the polyphenols content of a new nutraceutical formula (Solution-3). Viral infections with SARS-CoV-2 (EG.5), FLU-A and RSV-A viruses (as performed in BLS3 authorised laboratory) and real time RT-PCR (qPCR) assay were used to test the antiviral action of the nutraceutical formula. Dilution susceptibility tests have been used to estimate the minimum inhibitory and bactericidal concentration (MIC and MBC, respectively) of Solution-3 on a variety of microorganisms belonging to Gram positive/ negative bacteria and fungi. Transcriptomic data analyses and functional genomics (i.e., RNAseq and data mining), coupled to qPCR and ELISA assays have been used to investigate the mechanisms of action of the nutraceutical formula on those processes involved in innate immune response.

RESULTS

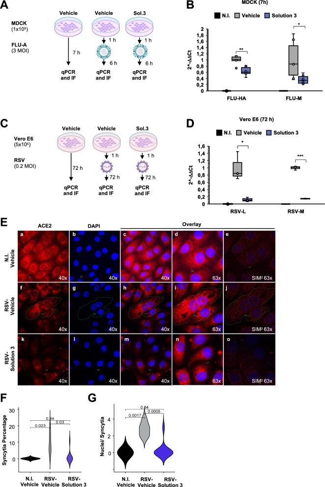
Here, we have tested the combination of natural products containing higher amounts of polyphenols (i.e., propolis, Verbascum thapsus L., and Thymus vulgaris L.), together with the inorganic long chain polyphosphates 'polyPs' with antiviral, antibacterial, and antifungal behaviours, against SARS-CoV-2, FLU-A, RSV-A, Gram positive/ negative bacteria and fungi (i.e., Candida albicans). These components synergistically exert an immunomodulatory action by enhancing those processes involved in innate immune response (e.g., cytokines: IFNγ, TNFα, IL-10, IL-6/12; chemokines: CXCL1; antimicrobial peptides: HBD-2, LL-37; complement system: C3).

CONCLUSION

The prophylactic antimicrobial success of this nutraceutical formula against SARS-CoV-2, FLU-A and RSV-A viruses, together with the common bacteria and fungi co-infections as present in human oral cavity, is expected to be valuable.

摘要

背景

先天免疫作用于感染的早期阶段,其对多层次共感染网络的反应失败是免疫系统失调的原因。流行病学的 SARS-CoV-2 感染数据表明,流感病毒(FLU-A-B-C)和呼吸道合胞病毒(RSV)共同存在于这些呼吸道特征中。这些病毒,特别是在儿童(主要受“儿童多系统炎症综合征”[MIS-C]和冬季大流行流感的影响)、老年人口和“脆弱”患者中,会改变免疫反应。然后,细菌和真菌病原体也共同存在于上呼吸道特征中(例如金黄色葡萄球菌和白色念珠菌),从而导致 COVID-19 受影响患者的发病率增加。

方法

采用液相色谱-高分辨率质谱联用四极杆轨道阱分析器(即 UHPLC-Q-Orbitrap HRMS)测定新型营养配方(Solution-3)中的多酚含量。采用 SARS-CoV-2(例如 EG.5)、FLU-A 和 RSV-A 病毒的病毒感染(在 BLS3 授权实验室进行)和实时 RT-PCR(qPCR)检测来测试营养配方的抗病毒作用。稀释敏感性测试已用于估计 Solution-3 对属于革兰氏阳性/阴性细菌和真菌的各种微生物的最小抑制和杀菌浓度(MIC 和 MBC)。转录组数据分析和功能基因组学(即 RNAseq 和数据挖掘),结合 qPCR 和 ELISA 检测,用于研究营养配方对先天免疫反应中涉及的这些过程的作用机制。

结果

在这里,我们已经测试了含有较高多酚(即蜂胶、毛蕊花和百里香)的天然产物组合与具有抗病毒、抗菌和抗真菌作用的无机长链多磷酸盐“polyPs”的组合,针对 SARS-CoV-2、FLU-A、RSV-A、革兰氏阳性/阴性细菌和真菌(即白色念珠菌)。这些成分通过增强先天免疫反应中涉及的过程(例如细胞因子:IFNγ、TNFα、IL-10、IL-6/12;趋化因子:CXCL1;抗菌肽:HBD-2、LL-37;补体系统:C3),协同发挥免疫调节作用。

结论

这种营养配方对 SARS-CoV-2、FLU-A 和 RSV-A 病毒的预防性抗菌成功,以及人类口腔中常见的细菌和真菌共感染,预计将具有重要价值。

https://cdn.ncbi.nlm.nih.gov/pmc/blobs/8a48/11184722/f11d4445e407/12967_2024_5378_Fig1_HTML.jpg

文献AI研究员

20分钟写一篇综述,助力文献阅读效率提升50倍。

立即体验

用中文搜PubMed

大模型驱动的PubMed中文搜索引擎

马上搜索

文档翻译

学术文献翻译模型,支持多种主流文档格式。

立即体验