Suppr超能文献

水生态评估硅基稳定磁铁矿纳米复合材料对硝酸铅毒性的螯合能力,重点研究其对尼罗罗非鱼和非洲鲶鱼的肝肾功能、氧化应激、遗传毒性、组织病理学和生物蓄积参数的影响。

Aquatic assessment of the chelating ability of Silica-stabilized magnetite nanocomposite to lead nitrate toxicity with emphasis to their impact on hepatorenal, oxidative stress, genotoxicity, histopathological, and bioaccumulation parameters in Oreochromis niloticus and Clarias gariepinus.

机构信息

Department of Veterinary Hygiene and Management, Faculty of Veterinary Medicine, Cairo University, Giza, 12211, Egypt.

Department of Biochemistry and Molecular Biology, Faculty of Veterinary Medicine, Cairo University, Giza, 12211, Egypt.

出版信息

BMC Vet Res. 2024 Jun 18;20(1):262. doi: 10.1186/s12917-024-04094-9.

Abstract

BACKGROUND

In recent years, anthropogenic activities have released heavy metals and polluted the aquatic environment. This study investigated the ability of the silica-stabilized magnetite (Si-M) nanocomposite materials to dispose of lead nitrate (Pb(NO)) toxicity in Nile tilapia and African catfish.

RESULTS

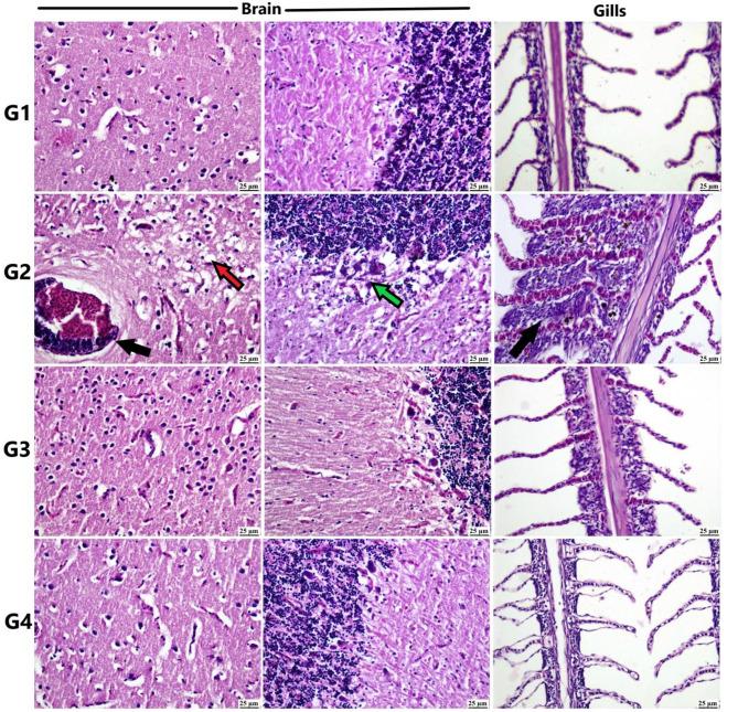
Preliminary toxicity tests were conducted and determined the median lethal concentration (LC) of lead nitrate (Pb(NO)) to Nile tilapia and African catfish to be 5 mg/l. The sublethal concentration, equivalent to 1/20 of the 96-hour LC Pb(NO), was selected for our experiment. Fish of each species were divided into four duplicated groups. The first group served as the control negative group, while the second group (Pb group) was exposed to 0.25 mg/l Pb(NO) (1/20 of the 96-hour LC). The third group (Si-MNPs) was exposed to silica-stabilized magnetite nanoparticles at a concentration of 1 mg/l, and the fourth group (Pb + Si-MNPs) was exposed simultaneously to Pb(NO) and Si-MNPs at the same concentrations as the second and third groups. Throughout the experimental period, no mortalities or abnormal clinical observations were recorded in any of the treated groups, except for melanosis and abnormal nervous behavior observed in some fish in the Pb group. After three weeks of sublethal exposure, we analyzed hepatorenal indices, oxidative stress parameters, and genotoxicity. Values of alkaline phosphatase (ALP), gamma-glutamyl transferase (GGT), urea, and creatinine were significantly higher in the Pb-intoxicated groups compared to the control and Pb + Si-MNPs groups in both fish species. Oxidative stress parameters showed a significant decrease in reduced glutathione (GSH) concentration, along with a significant increase in malondialdehyde (MDA) and protein carbonyl content (PCC) concentrations, as well as DNA fragmentation percentage in the Pb group. However, these values were nearly restored to control levels in the Pb + Si-MNPs groups. High lead accumulation was observed in the liver and gills of the Pb group, with the least accumulation in the muscles of tilapia and catfish in the Pb + Si-MNPs group. Histopathological analysis of tissue samples from Pb-exposed groups of tilapia and catfish revealed brain vacuolation, gill fusion, hyperplasia, and marked hepatocellular and renal necrosis, contrasting with Pb + Si-MNP group, which appeared to have an apparently normal tissue structure.

CONCLUSIONS

Our results demonstrate that Si-MNPs are safe and effective aqueous additives in reducing the toxic effects of Pb (NO) on fish tissue through the lead-chelating ability of Si-MNPs in water before being absorbed by fish.

摘要

背景

近年来,人为活动释放了重金属并污染了水生环境。本研究调查了硅稳定磁铁矿(Si-M)纳米复合材料在处理硝酸铅(Pb(NO))对尼罗河罗非鱼和非洲鲶鱼的毒性方面的能力。

结果

进行了初步毒性测试,确定了硝酸铅(Pb(NO)对尼罗河罗非鱼和非洲鲶鱼的半致死浓度(LC)为 5mg/l。选择亚致死浓度,相当于 96 小时 LC Pb(NO)的 1/20,用于我们的实验。每种鱼的鱼被分为四组重复。第一组作为对照阴性组,而第二组(Pb 组)暴露于 0.25mg/l Pb(NO)(96 小时 LC 的 1/20)。第三组(Si-MNPs)暴露于浓度为 1mg/l 的硅稳定磁铁矿纳米颗粒,第四组(Pb+Si-MNPs)同时暴露于 Pb(NO)和 Si-MNPs,浓度与第二和第三组相同。在整个实验期间,除了 Pb 组中一些鱼出现黑色素沉着和异常神经行为外,没有观察到任何处理组的死亡或异常临床观察。经过三周的亚致死暴露,我们分析了肝肾功能指标、氧化应激参数和遗传毒性。与对照组和 Pb+Si-MNPs 组相比,两种鱼类的碱性磷酸酶(ALP)、γ-谷氨酰转移酶(GGT)、尿素和肌酐值在 Pb 中毒组中明显更高。氧化应激参数显示还原型谷胱甘肽(GSH)浓度显著降低,丙二醛(MDA)和蛋白质羰基含量(PCC)浓度以及 DNA 片段化百分比显著增加,而 Pb 组中这些值几乎恢复到对照组水平。在 Pb+Si-MNPs 组中,肝和鳃中铅的积累量很高,而在 Pb+Si-MNPs 组中,肌肉中的积累量最少。暴露于 Pb 的罗非鱼和鲶鱼组织样本的组织学分析显示脑空泡化、鳃融合、增生以及明显的肝细胞和肾坏死,与 Pb+Si-MNP 组形成鲜明对比,后者组织结构明显正常。

结论

我们的结果表明,Si-MNPs 是安全有效的水相添加剂,可通过 Si-MNPs 在被鱼吸收之前在水中与 Pb 形成螯合物,减少 Pb(NO)对鱼组织的毒性作用。

https://cdn.ncbi.nlm.nih.gov/pmc/blobs/d3f4/11184684/0c4487d3bcd1/12917_2024_4094_Fig1_HTML.jpg

文献AI研究员

20分钟写一篇综述,助力文献阅读效率提升50倍。

立即体验

用中文搜PubMed

大模型驱动的PubMed中文搜索引擎

马上搜索

文档翻译

学术文献翻译模型,支持多种主流文档格式。

立即体验