Suppr超能文献

胡颓子素通过激活Sirt1/Pgc-1α信号通路抑制氧化应激诱导的上皮细胞衰老,从而减轻肺纤维化。

Senegenin Attenuates Pulmonary Fibrosis by Inhibiting Oxidative-Stress-Induced Epithelial Cell Senescence through Activation of the Sirt1/Pgc-1α Signaling Pathway.

作者信息

Zeng Qian, Luo Yuyang, Sang Xiaoxue, Liao Minlin, Wen Binbin, Hu Zhengang, Sun Mei, Luo Ziqiang, Huang Xiaoting, Liu Wei, Tang Siyuan

机构信息

Xiangya Nursing School, Central South University, Changsha 410013, China.

Xiangya School of Medicine, Central South University, Changsha 410013, China.

出版信息

Antioxidants (Basel). 2024 May 31;13(6):675. doi: 10.3390/antiox13060675.

Abstract

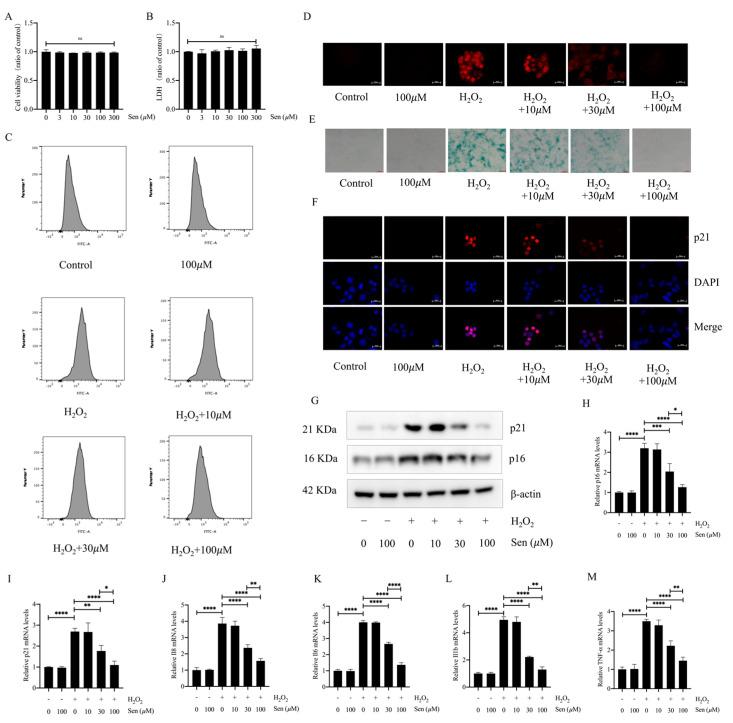
Idiopathic pulmonary fibrosis is a fatal interstitial lung disease for which effective drug therapies are lacking. Senegenin, an effective active compound from the traditional Chinese herb , has been shown to have a wide range of pharmacological effects. In this study, we investigated the therapeutic effects of senegenin on pulmonary fibrosis and their associated mechanisms of action. We found that senegenin inhibited the senescence of epithelial cells and thus exerted anti-pulmonary-fibrosis effects by inhibiting oxidative stress. In addition, we found that senegenin promoted the expression of Sirt1 and Pgc-1α and that the antioxidative and antisenescent effects of senegenin were suppressed by specific silencing of the and - genes, respectively. Moreover, the senegenin-induced effects of antioxidation, antisenescence of epithelial cells, and antifibrosis were inhibited by treatment with Sirt1 inhibitors in vivo. Thus, the Sirt1/Pgc-1α pathway exerts its antifibrotic effect on lung fibrosis by mediating the antioxidative and antisenescent effects of senegenin.

摘要

特发性肺纤维化是一种致命的间质性肺病,目前缺乏有效的药物治疗方法。人参皂苷元是一种来自传统中草药的有效活性化合物,已被证明具有广泛的药理作用。在本研究中,我们研究了人参皂苷元对肺纤维化的治疗作用及其相关作用机制。我们发现人参皂苷元抑制上皮细胞衰老,从而通过抑制氧化应激发挥抗肺纤维化作用。此外,我们发现人参皂苷元促进Sirt1和Pgc-1α的表达,并且人参皂苷元的抗氧化和抗衰老作用分别被 和 基因的特异性沉默所抑制。此外,在体内用Sirt1抑制剂处理可抑制人参皂苷元诱导的抗氧化、上皮细胞抗衰老和抗纤维化作用。因此,Sirt1/Pgc-1α通路通过介导人参皂苷元的抗氧化和抗衰老作用,对肺纤维化发挥抗纤维化作用。

https://cdn.ncbi.nlm.nih.gov/pmc/blobs/744e/11200506/e2657791edd0/antioxidants-13-00675-g001.jpg

文献AI研究员

20分钟写一篇综述,助力文献阅读效率提升50倍。

立即体验

用中文搜PubMed

大模型驱动的PubMed中文搜索引擎

马上搜索

文档翻译

学术文献翻译模型,支持多种主流文档格式。

立即体验