Suppr超能文献

PICALM 调节淀粉样 β-肽的产生以促进蒽环类药物诱导的心脏毒性。

PICALM Regulating the Generation of Amyloid β-Peptide to Promote Anthracycline-Induced Cardiotoxicity.

机构信息

Beijing Key Laboratory of Preclinical Research and Evaluation for Cardiovascular Implant Materials, Animal Experimental Centre, Fuwai Hospital, Chinese Academy of Medical Sciences and Peking Union Medical College, Beijing, 100037, China.

State Key Laboratory of Cardiovascular Disease, Fuwai Hospital, Chinese Academy of Medical Sciences and Peking Union Medical College, Beijing, 10037, China.

出版信息

Adv Sci (Weinh). 2024 Aug;11(32):e2401945. doi: 10.1002/advs.202401945. Epub 2024 Jun 27.

Abstract

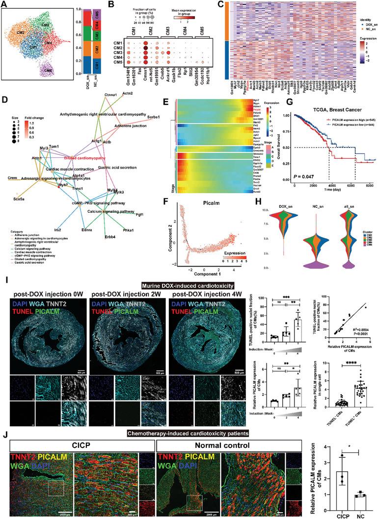
Anthracyclines are chemotherapeutic drugs used to treat solid and hematologic malignancies. However, life-threatening cardiotoxicity, with cardiac dilation and heart failure, is a drawback. A combination of in vivo for single cell/nucleus RNA sequencing and in vitro approaches is used to elucidate the underlying mechanism. Genetic depletion and pharmacological blocking peptides on phosphatidylinositol binding clathrin assembly (PICALM) are used to evaluate the role of PICALM in doxorubicin-induced cardiotoxicity in vivo. Human heart tissue samples are used for verification. Patients with end-stage heart failure and chemotherapy-induced cardiotoxicity have thinner cell membranes compared to healthy controls do. Using the doxorubicin-induced cardiotoxicity mice model, it is possible to replicate the corresponding phenotype in patients. Cellular changes in doxorubicin-induced cardiotoxicity in mice, especially in cardiomyocytes, are identified using single cell/nucleus RNA sequencing. Picalm expression is upregulated only in cardiomyocytes with doxorubicin-induced cardiotoxicity. Amyloid β-peptide production is also increased after doxorubicin treatment, which leads to a greater increase in the membrane permeability of cardiomyocytes. Genetic depletion and pharmacological blocking peptides on Picalm reduce the generation of amyloid β-peptide. This alleviates the doxorubicin-induced cardiotoxicity in vitro and in vivo. In human heart tissue samples of patients with chemotherapy-induced cardiotoxicity, PICALM, and amyloid β-peptide are elevated as well.

摘要

蒽环类药物是用于治疗实体瘤和血液系统恶性肿瘤的化疗药物。然而,危及生命的心脏毒性,包括心脏扩张和心力衰竭,是一个缺点。体内单细胞/核 RNA 测序和体外方法的组合用于阐明潜在的机制。使用基因耗竭和磷脂酰肌醇结合网格蛋白装配(PICALM)的药理学阻断肽来评估 PICALM 在体内多柔比星诱导的心脏毒性中的作用。使用人类心脏组织样本进行验证。与健康对照组相比,终末期心力衰竭和化疗诱导的心脏毒性患者的细胞膜更薄。使用多柔比星诱导的心脏毒性小鼠模型,可以复制患者中相应的表型。使用单细胞/核 RNA 测序鉴定多柔比星诱导的心脏毒性中小鼠的细胞变化,特别是在心肌细胞中。仅在多柔比星诱导的心脏毒性的心肌细胞中上调 Picalm 表达。多柔比星处理后β淀粉样肽的产生也增加,导致心肌细胞的膜通透性更大增加。Picalm 的基因耗竭和药理学阻断肽减少了β淀粉样肽的产生。这减轻了体内和体外的多柔比星诱导的心脏毒性。在患有化疗诱导的心脏毒性的患者的人类心脏组织样本中,PICALM 和β淀粉样肽也升高。

https://cdn.ncbi.nlm.nih.gov/pmc/blobs/fcc2/11348153/a9fb603ab6ac/ADVS-11-2401945-g005.jpg

文献AI研究员

20分钟写一篇综述,助力文献阅读效率提升50倍。

立即体验

用中文搜PubMed

大模型驱动的PubMed中文搜索引擎

马上搜索

文档翻译

学术文献翻译模型,支持多种主流文档格式。

立即体验