Suppr超能文献

评估和报告子宫内膜癌脉管间隙浸润(LVSI)的实用指南。

Practical guidance for assessing and reporting lymphovascular space invasion (LVSI) in endometrial carcinoma.

作者信息

Peters Elke E M, Nucci Marisa R, Gilks C Blake, McCluggage W Glenn, Bosse Tjalling

机构信息

Department of Pathology, Haaglanden Medical Centre, The Hague, the Netherlands.

Department of Pathology, Leiden University Medical Center, Leiden, the Netherlands.

出版信息

Histopathology. 2025 Jan;86(2):173-182. doi: 10.1111/his.15272. Epub 2024 Jun 27.

Abstract

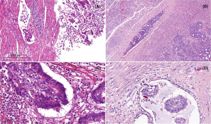
Lymphovascular space invasion (LVSI) is an important prognostic parameter in endometrial carcinoma (EC) and has gained increasing interest in recent years due to an expanding body of evidence of its independent prognostic value, especially when the presence of LVSI is quantified. A key strength of LVSI as a prognostic factor is that it can be detected on routine microscopic examination, without ancillary tests, and thus can be used in low-resource settings. A weakness, however, is the lack of uniformly applied criteria for assessment and quantification of LVSI, resulting in interobserver variation in diagnosis. This is confounded by artefacts and other morphological features that may mimic LVSI (commonly referred to as pseudo-LVSI). Despite these issues, multiple studies have shown that LVSI is strongly associated with lymph node (LN) metastasis and is an independent risk factor for LN recurrence and distant metastasis. Consequently, the presence of substantial/extensive LVSI has become an important consideration in formulating adjuvant treatment recommendations in patients with EC, and this has been incorporated in the recent International Federation of Gynecology and Obstetrics (FIGO) 2023 staging system. Herein, we review the current literature on LVSI in EC and discuss its role as a prognostic marker, the reproducibility of LVSI assessment and distinction between LVSI and its mimics. We provide illustrations of key diagnostic features and discuss the two-tiered (none/focal versus substantial) system of LVSI classification. This work is intended to provide guidance to practising pathologists and unify the approach towards LVSI assessment in EC.

摘要

淋巴管间隙浸润(LVSI)是子宫内膜癌(EC)的一个重要预后参数,近年来,由于越来越多的证据表明其具有独立的预后价值,尤其是在对LVSI的存在进行量化时,它受到了越来越多的关注。LVSI作为一个预后因素的一个关键优势在于,它可以在常规显微镜检查中被检测到,无需辅助检查,因此可用于资源匮乏的环境。然而,一个缺点是缺乏统一应用的LVSI评估和量化标准,导致观察者之间的诊断差异。这被可能模拟LVSI的假象和其他形态学特征(通常称为假LVSI)所混淆。尽管存在这些问题,多项研究表明,LVSI与淋巴结(LN)转移密切相关,是LN复发和远处转移的独立危险因素。因此,大量/广泛LVSI的存在已成为制定EC患者辅助治疗建议时的一个重要考虑因素,这已被纳入最近的国际妇产科联合会(FIGO)2023分期系统。在此,我们回顾了目前关于EC中LVSI的文献,并讨论了其作为预后标志物的作用、LVSI评估的可重复性以及LVSI与其模拟物之间的区别。我们提供了关键诊断特征的图示,并讨论了LVSI分类的两级(无/局灶性与大量)系统。这项工作旨在为执业病理学家提供指导,并统一EC中LVSI评估的方法。

https://cdn.ncbi.nlm.nih.gov/pmc/blobs/c186/11649510/aa8230cfdc6f/HIS-86-173-g007.jpg

文献AI研究员

20分钟写一篇综述,助力文献阅读效率提升50倍。

立即体验

用中文搜PubMed

大模型驱动的PubMed中文搜索引擎

马上搜索

文档翻译

学术文献翻译模型,支持多种主流文档格式。

立即体验