Suppr超能文献

RUNX1、FUS 和 ELAVL1 诱导的 circPTPN22 通过 miR-6788-5p/PAK1 轴介导的自噬促进胃癌细胞增殖、迁移和侵袭。

RUNX1, FUS, and ELAVL1-induced circPTPN22 promote gastric cancer cell proliferation, migration, and invasion through miR-6788-5p/PAK1 axis-mediated autophagy.

机构信息

Department of Laboratory Medicine, Affiliated Hospital of Nantong University, Medical School of Nantong University, Xisi Road, NO.20, Nantong, 226001, Jiangsu, China.

Center of Clinical Laboratory Medicine, Zhongda Hospital, Medical School of Southeast University, Nanjing, 210009, Jiangsu, China.

出版信息

Cell Mol Biol Lett. 2024 Jul 2;29(1):95. doi: 10.1186/s11658-024-00610-9.

Abstract

BACKGROUND

An increasing number of studies have demonstrated the association of circular RNAs (circRNAs) with the pathological processes of various diseases and their involvement in the onset and progression of multiple cancers. Nevertheless, the functional roles and underlying mechanisms of circRNAs in the autophagy regulation of gastric cancer (GC) have not been fully elucidated.

METHODS

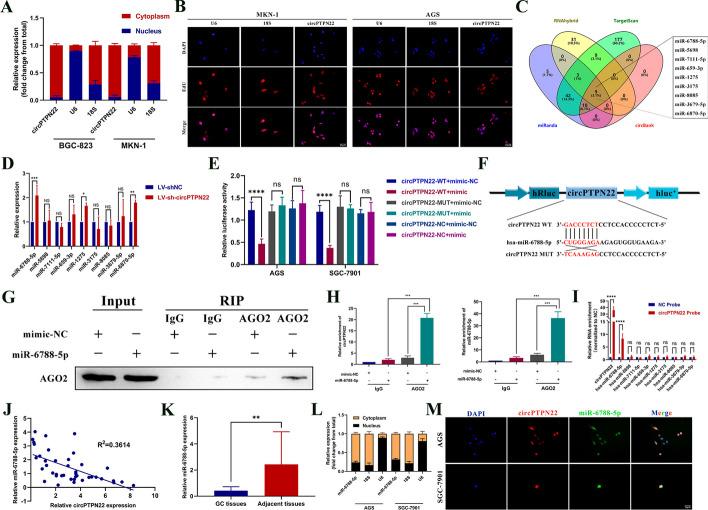
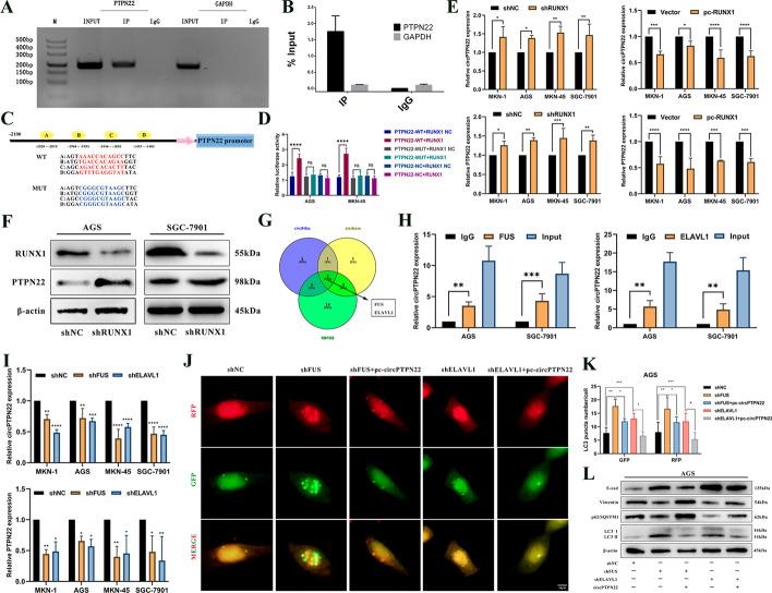
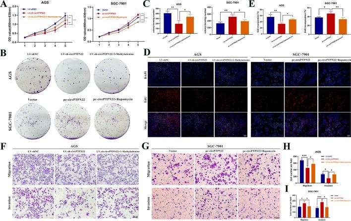
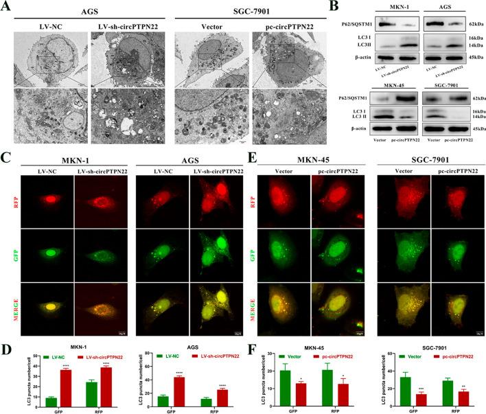
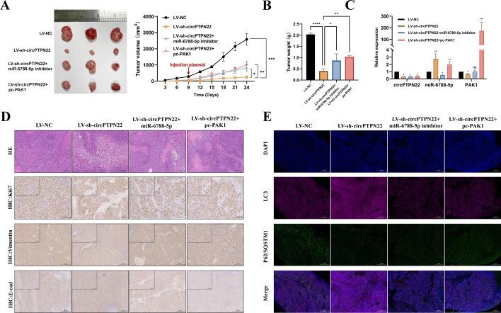
We used transmission electron microscopy and the mRFP-GFP-LC3 dual fluorescent autophagy indicator to investigate autophagy regulation. The cell counting kit-8 assay, colony formation assay, 5-ethynyl-2'-deoxyuridine incorporation assay, Transwell assay, and Western blot assay were conducted to confirm circPTPN22's influence on GC progression. Dual luciferase reporter assays validated the binding between circPTPN22 and miR-6788-5p, as well as miR-6788-5p and p21-activated kinase-1 (PAK1). Functional rescue experiments assessed whether circPTPN22 modulates PAK1 expression by competitively binding miR-6788-5p, affecting autophagy and other biological processes in GC cells. We investigated the impact of circPTPN22 on in vivo GC tumors using a nude mouse xenograft model. Bioinformatics tools predicted upstream regulatory transcription factors and binding proteins of circPTPN22, while chromatin immunoprecipitation and ribonucleoprotein immunoprecipitation assays confirmed the binding status.

RESULTS

Upregulation of circPTPN22 in GC has been shown to inhibit autophagy and promote cell proliferation, migration, and invasion. Mechanistically, circPTPN22 directly binds to miR-6788-5p, subsequently regulating the expression of PAK1, which activates protein kinase B (Akt) and extracellular signal-regulated kinase (Erk) phosphorylation. This modulation ultimately affects autophagy levels in GC cells. Additionally, runt-related transcription factor 1 (RUNX1) negatively regulates circPTPN22 expression, while RNA-binding proteins such as FUS (fused in sarcoma) and ELAVL1 (recombinant ELAV-like protein 1) positively regulate its expression. Inhibition of the autophagy pathway can increase FUS expression, further upregulating circPTPN22 in GC cells, thereby exacerbating the progression of GC.

CONCLUSION

Under the regulation of the transcription factor RUNX1 and RNA-binding proteins FUS and ELAVL1, circPTPN22 activates the phosphorylation of Akt and Erk through the miR-6788-5p/PAK1 axis, thereby modulating autophagy in GC cells. Inhibition of autophagy increases FUS, which in turn upregulates circPTPN22, forming a positive feedback loop that ultimately accelerates the progression of GC.

摘要

背景

越来越多的研究表明,环状 RNA(circRNAs)与各种疾病的病理过程有关,并参与多种癌症的发生和发展。然而,circRNAs 在胃癌(GC)自噬调控中的功能作用和潜在机制尚未完全阐明。

方法

我们使用透射电子显微镜和 mRFP-GFP-LC3 双荧光自噬指示剂来研究自噬调控。通过细胞计数试剂盒-8 检测、集落形成检测、5-乙炔基-2'-脱氧尿苷掺入检测、Transwell 检测和 Western blot 检测,证实 circPTPN22 对 GC 进展的影响。双荧光素酶报告实验验证了 circPTPN22 与 miR-6788-5p 以及 miR-6788-5p 与 PAK1 之间的结合。功能拯救实验评估了 circPTPN22 是否通过竞争性结合 miR-6788-5p 来调节 PAK1 表达,从而影响 GC 细胞中的自噬和其他生物学过程。我们使用裸鼠异种移植模型研究了 circPTPN22 对体内 GC 肿瘤的影响。生物信息学工具预测了 circPTPN22 的上游调节转录因子和结合蛋白,而染色质免疫沉淀和核糖核蛋白免疫沉淀实验证实了结合状态。

结果

GC 中 circPTPN22 的上调被证明可以抑制自噬并促进细胞增殖、迁移和侵袭。在机制上,circPTPN22 直接与 miR-6788-5p 结合,进而调节 PAK1 的表达,激活蛋白激酶 B(Akt)和细胞外信号调节激酶(Erk)磷酸化。这种调节最终影响 GC 细胞中的自噬水平。此外,RUNX1 负调控 circPTPN22 的表达,而 RNA 结合蛋白如 FUS(肉瘤融合)和 ELAVL1(重组 ELAV 样蛋白 1)则正调控其表达。自噬途径的抑制会增加 FUS 的表达,进一步上调 GC 细胞中的 circPTPN22,从而加剧 GC 的进展。

结论

在转录因子 RUNX1 和 RNA 结合蛋白 FUS 和 ELAVL1 的调节下,circPTPN22 通过 miR-6788-5p/PAK1 轴激活 Akt 和 Erk 的磷酸化,从而调节 GC 细胞中的自噬。自噬的抑制会增加 FUS,进而上调 circPTPN22,形成正反馈回路,最终加速 GC 的进展。

https://cdn.ncbi.nlm.nih.gov/pmc/blobs/14f7/11218243/23905f7e04ea/11658_2024_610_Fig1_HTML.jpg

文献AI研究员

20分钟写一篇综述,助力文献阅读效率提升50倍。

立即体验

用中文搜PubMed

大模型驱动的PubMed中文搜索引擎

马上搜索

文档翻译

学术文献翻译模型,支持多种主流文档格式。

立即体验