Suppr超能文献

人CD56CD39自然杀伤细胞通过控制滋养层细胞命运支持胎儿存活:复发性早期妊娠丢失的免疫机制

Human CD56CD39 dNK cells support fetal survival through controlling trophoblastic cell fate: immune mechanisms of recurrent early pregnancy loss.

作者信息

Jia Wentong, Ma Liyang, Yu Xin, Wang Feiyang, Yang Qian, Wang Xiaoye, Fan Mengjie, Gu Yan, Meng Ran, Wang Jian, Li Yuxia, Li Rong, Shao Xuan, Wang Yan-Ling

机构信息

State Key Laboratory of Stem cell and Reproductive Biology, Key Laboratory of Organ Regeneration and Reconstruction, Institute of Zoology, Chinese Academy of Sciences, Beijing 100101, China.

Beijing Institute for Stem Cell and Regenerative Medicine, Beijing 100101, China.

出版信息

Natl Sci Rev. 2024 Apr 11;11(6):nwae142. doi: 10.1093/nsr/nwae142. eCollection 2024 Jun.

Abstract

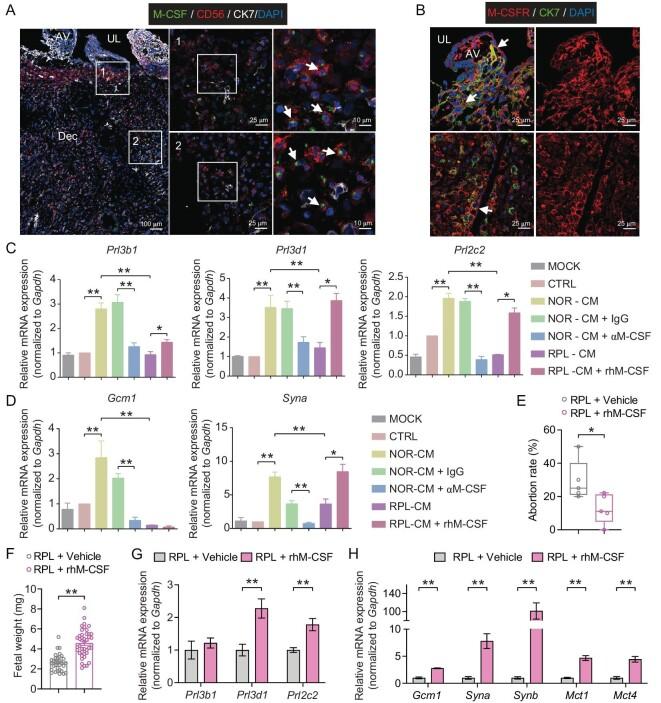
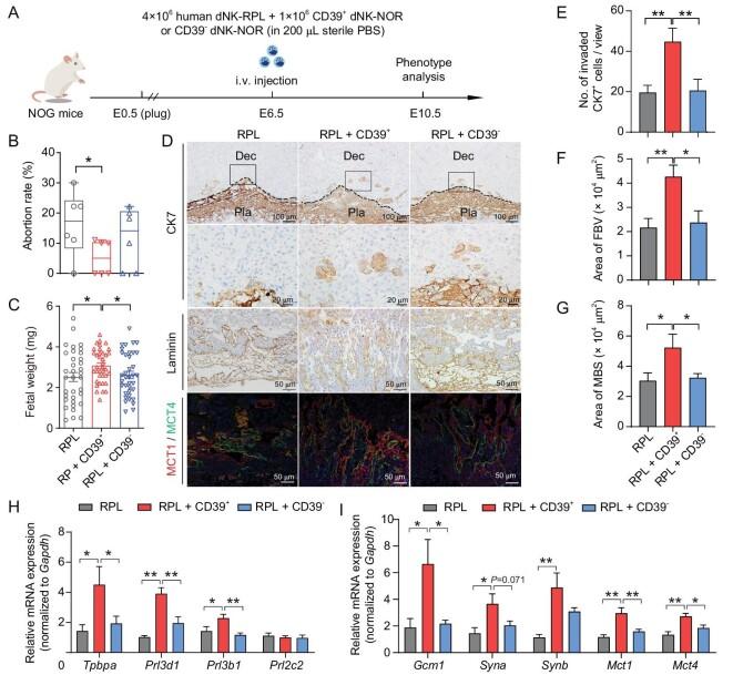
Decidual natural killer (dNK) cells are the most abundant immune cells at the maternal-fetal interface during early pregnancy in both mice and humans, and emerging single-cell transcriptomic studies have uncovered various human dNK subsets that are disrupted in patients experiencing recurrent early pregnancy loss (RPL) at early gestational stage, suggesting a connection between abnormal proportions or characteristics of dNK subsets and RPL pathogenesis. However, the functional mechanisms underlying this association remain unclear. Here, we established a mouse model by adoptively transferring human dNK cells into pregnant NOG (NOD/Shi-/IL-2Rγ) mice, where human dNK cells predominantly homed into the uteri of recipients. Using this model, we observed a strong correlation between the properties of human dNK cells and pregnancy outcome. The transfer of dNK cells from RPL patients (dNK-RPL) remarkably worsened early pregnancy loss and impaired placental trophoblast cell differentiation in the recipients. These adverse effects were effectively reversed by transferring CD56CD39 dNK cells. Mechanistic studies revealed that CD56CD39 dNK subset facilitates early differentiation of mouse trophoblast stem cells (mTSCs) towards both invasive and syncytial pathways through secreting macrophage colony-stimulating factor (M-CSF). Administration of recombinant M-CSF to NOG mice transferred with dNK-RPL efficiently rescued the exacerbated pregnancy outcomes and fetal/placental development. Collectively, this study established a novel humanized mouse model featuring functional human dNK cells homing into the uteri of recipients and uncovered the pivotal role of M-CSF in fetal-supporting function of CD56CD39 dNK cells during early pregnancy, highlighting that M-CSF may be a previously unappreciated therapeutic target for intervening RPL.

摘要

蜕膜自然杀伤(dNK)细胞是小鼠和人类妊娠早期母胎界面处最丰富的免疫细胞,新兴的单细胞转录组学研究发现,在妊娠早期经历复发性早期流产(RPL)的患者中,各种人类dNK亚群受到破坏,这表明dNK亚群比例或特征异常与RPL发病机制之间存在联系。然而,这种关联背后的功能机制仍不清楚。在这里,我们通过将人类dNK细胞过继转移到怀孕的NOG(NOD/Shi-/IL-2Rγ)小鼠中建立了一个小鼠模型,在该模型中,人类dNK细胞主要归巢到受体的子宫中。利用这个模型,我们观察到人类dNK细胞的特性与妊娠结局之间存在很强的相关性。来自RPL患者的dNK细胞(dNK-RPL)的转移显著恶化了早期流产,并损害了受体中胎盘滋养层细胞的分化能力。通过转移CD56CD39 dNK细胞,这些不良影响得到了有效逆转。机制研究表明,CD56CD39 dNK亚群通过分泌巨噬细胞集落刺激因子(M-CSF)促进小鼠滋养层干细胞(mTSCs)向侵袭性和合胞体途径的早期分化。向移植了dNK-RPL的NOG小鼠施用重组M-CSF有效地挽救了恶化的妊娠结局以及胎儿/胎盘发育。总的来说,这项研究建立了一种新型的人源化小鼠模型,其特征是功能性人类dNK细胞归巢到受体子宫中,并揭示了M-CSF在妊娠早期CD56CD39 dNK细胞支持胎儿功能中的关键作用,强调M-CSF可能是干预RPL之前未被重视的治疗靶点。

https://cdn.ncbi.nlm.nih.gov/pmc/blobs/bd93/11223582/9d6f9c648fa8/nwae142fig1.jpg

文献AI研究员

20分钟写一篇综述,助力文献阅读效率提升50倍。

立即体验

用中文搜PubMed

大模型驱动的PubMed中文搜索引擎

马上搜索

文档翻译

学术文献翻译模型,支持多种主流文档格式。

立即体验