Suppr超能文献

KAT6A 凝聚物可损害 PARP1 对卵巢癌中 PARP 抑制剂的捕获。

KAT6A Condensates Impair PARP1 Trapping of PARP Inhibitors in Ovarian Cancer.

机构信息

Department of Clinical Nutrition, Shanghai Children's Medical Center, School of Medicine, Shanghai Jiao Tong University, Shanghai, 200127, China.

Clinical Research Center, Shanghai Children's Medical Center, School of Medicine, Shanghai Jiao Tong University, Shanghai, 200127, China.

出版信息

Adv Sci (Weinh). 2024 Sep;11(34):e2400140. doi: 10.1002/advs.202400140. Epub 2024 Jul 8.

Abstract

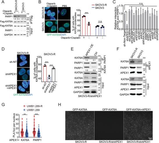
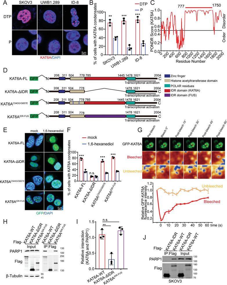
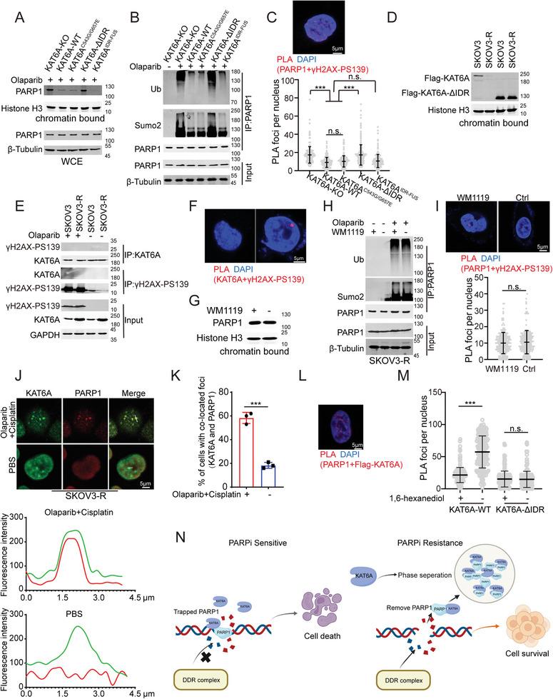
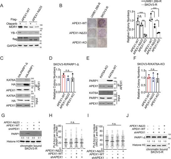
Most clinical PARP inhibitors (PARPis) trap PARP1 in a chromatin-bound state, leading to PARPi-mediated cytotoxicity. PARPi resistance impedes the treatment of ovarian cancer in clinical practice. However, the mechanism by which cancer cells overcome PARP1 trapping to develop PARPi resistance remains unclear. Here, it is shown that high levels of KAT6A promote PARPi resistance in ovarian cancer, regardless of its catalytic activity. Mechanistically, the liquid-liquid phase separation (LLPS) of KAT6A, facilitated by APEX1, inhibits the cytotoxic effects of PARP1 trapping during PARPi treatment. The stable KAT6A-PARP1-APEX1 complex reduces the amount of PARP1 trapped at the DNA break sites. In addition, inhibition of KAT6A LLPS, rather than its catalytic activity, impairs DNA damage repair and restores PARPi sensitivity in ovarian cancer both in vivo and in vitro. In conclusion, the findings demonstrate the role of KAT6A LLPS in fostering PARPi resistance and suggest that repressing KAT6A LLPS can be a potential therapeutic strategy for PARPi-resistant ovarian cancer.

摘要

大多数临床 PARP 抑制剂(PARPi)将 PARP1 捕获在染色质结合状态,导致 PARPi 介导的细胞毒性。PARPi 耐药性阻碍了卵巢癌的临床治疗。然而,癌细胞克服 PARP1 捕获以产生 PARPi 耐药性的机制尚不清楚。本研究表明,高水平的 KAT6A 促进了卵巢癌的 PARPi 耐药性,而与其催化活性无关。在机制上,APEX1 促进的 KAT6A 的液-液相分离(LLPS)抑制了 PARPi 治疗期间 PARP1 捕获的细胞毒性作用。稳定的 KAT6A-PARP1-APEX1 复合物减少了 PARP1 在 DNA 断裂部位的捕获量。此外,抑制 KAT6A 的 LLPS,而不是其催化活性,可在体内和体外均损害卵巢癌细胞的 DNA 损伤修复并恢复 PARPi 敏感性。总之,这些发现表明 KAT6A LLPS 在促进 PARPi 耐药性方面的作用,并表明抑制 KAT6A LLPS 可能是 PARPi 耐药性卵巢癌的一种潜在治疗策略。

https://cdn.ncbi.nlm.nih.gov/pmc/blobs/a425/11425913/02409e1c7e35/ADVS-11-2400140-g006.jpg

文献AI研究员

20分钟写一篇综述,助力文献阅读效率提升50倍。

立即体验

用中文搜PubMed

大模型驱动的PubMed中文搜索引擎

马上搜索

文档翻译

学术文献翻译模型,支持多种主流文档格式。

立即体验