Suppr超能文献

Cbl和Cbl-b泛素连接酶对于肠道上皮干细胞的维持至关重要。

Cbl and Cbl-b ubiquitin ligases are essential for intestinal epithelial stem cell maintenance.

作者信息

Zutshi Neha, Mohapatra Bhopal C, Mondal Pinaki, An Wei, Goetz Benjamin T, Wang Shuo, Li Sicong, Storck Matthew D, Mercer David F, Black Adrian R, Thayer Sarah P, Black Jennifer D, Lin Chi, Band Vimla, Band Hamid

机构信息

Eppley Institute for Research in Cancer and Allied Diseases, University of Nebraska Medical Center, Omaha, NE 68198, USA.

Department of Pathology & Microbiology, University of Nebraska Medical Center, Omaha, NE 68198, USA.

出版信息

iScience. 2024 May 8;27(6):109912. doi: 10.1016/j.isci.2024.109912. eCollection 2024 Jun 21.

Abstract

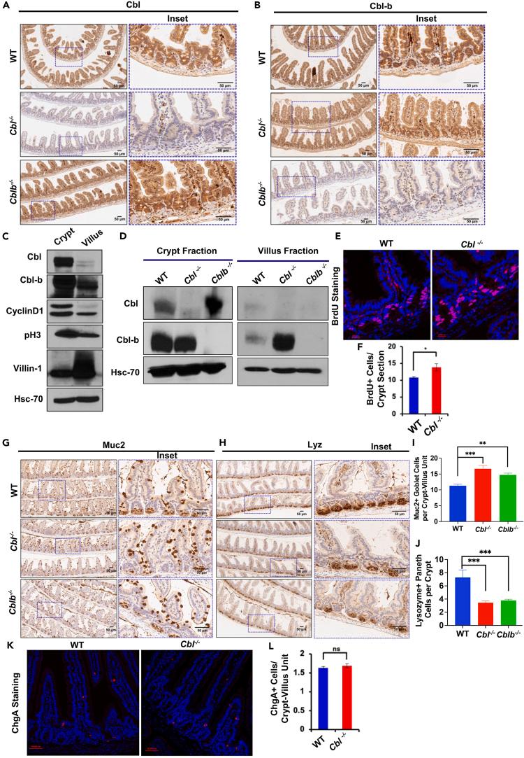
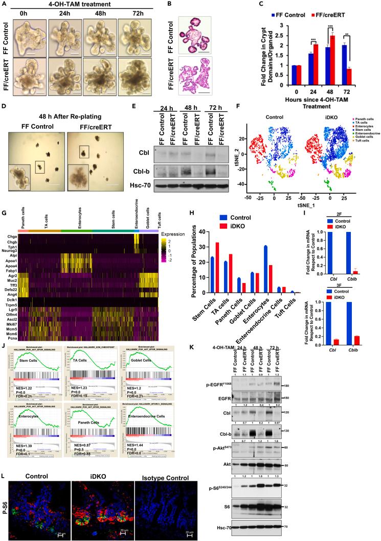
Receptor tyrosine kinases (RTKs) control stem cell maintenance vs. differentiation decisions. Casitas B-lineage lymphoma (CBL) family ubiquitin ligases are negative regulators of RTKs, but their stem cell regulatory roles remain unclear. Here, we show that Lgr5+ intestinal stem cell (ISC)-specific inducible -knockout (KO) on a null mouse background (iDKO) induced rapid loss of the ISCs with transient expansion of the transit-amplifying population. LacZ-based lineage tracing revealed increased ISC commitment toward enterocyte and goblet cell fate at the expense of Paneth cells. Functionally, iDKO impaired the recovery from radiation-induced intestinal epithelial injury. , iDKO led to inability to maintain intestinal organoids. Single-cell RNA sequencing in organoids identified Akt-mTOR (mammalian target of rapamycin) pathway hyperactivation upon iDKO, and pharmacological Akt-mTOR axis inhibition rescued the iDKO defects. Our results demonstrate a requirement for in the maintenance of ISCs by fine-tuning the Akt-mTOR axis to balance stem cell maintenance vs. commitment to differentiation.

摘要

受体酪氨酸激酶(RTK)控制干细胞的维持与分化抉择。卡斯他B系淋巴瘤(CBL)家族泛素连接酶是RTK的负调控因子,但其在干细胞调控中的作用仍不清楚。在此,我们表明,在Lgr5 +肠道干细胞(ISC)特异性可诱导基因敲除(KO)的纯合子小鼠背景(iDKO)中,ISC迅速丢失,同时短暂扩增了过渡放大群体。基于LacZ的谱系追踪显示,ISC向肠上皮细胞和杯状细胞命运的分化增加,而潘氏细胞减少。在功能上,iDKO损害了辐射诱导的肠道上皮损伤后的恢复。此外,iDKO导致无法维持肠道类器官。对类器官进行单细胞RNA测序发现,iDKO后Akt-雷帕霉素哺乳动物靶标(mTOR)通路过度激活,而药理学上抑制Akt-mTOR轴可挽救iDKO的缺陷。我们的结果表明,通过微调Akt-mTOR轴以平衡干细胞维持与分化,对于ISC的维持是必需的。

https://cdn.ncbi.nlm.nih.gov/pmc/blobs/6e38/11225835/ab261dcc101d/fx1.jpg

文献AI研究员

20分钟写一篇综述,助力文献阅读效率提升50倍。

立即体验

用中文搜PubMed

大模型驱动的PubMed中文搜索引擎

马上搜索

文档翻译

学术文献翻译模型,支持多种主流文档格式。

立即体验