Suppr超能文献

原发性肝癌患者行 ALPPS 后肝纤维化作为肝衰竭及预后的预测因子。

Liver fibrosis as a predictor of liver failure and outcome following ALPPS among patients with primary liver cancer.

机构信息

Department of Liver Surgery, State Key Laboratory of Complex Severe and Rare Diseases, Peking Union Medical College (PUMC) Hospital, Chinese Academy of Medical Sciences and Peking Union Medical College, Beijing, 100730, China.

出版信息

Sci Rep. 2024 Jul 9;14(1):15827. doi: 10.1038/s41598-024-65924-2.

Abstract

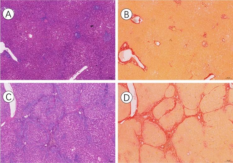
The influence of liver fibrosis on the rate of liver regeneration and complications following ALPPS has yet to be fully understood. This study aimed to scrutinize the effects of liver fibrosis on the postoperative complications, and prognosis subsequent to ALPPS. Clinical data were collected from patients with primary liver cancer who underwent ALPPS at Peking Union Medical College Hospital between May 2014 and October 2022. The degree of liver fibrosis was assessed using haematoxylin-eosin staining and Sirius red staining. This study encompassed thirty patients who underwent ALPPS for primary liver cancer, and there were 23 patients with hepatocellular carcinoma, 5 with cholangiocarcinoma, and 2 with combined hepatocellular-cholangiocarcinoma. The impact of severe liver fibrosis on the rate of liver regeneration was not statistically significant (P = 0.892). All patients with severe complications belonged to the severe liver fibrosis group. Severe liver fibrosis exhibited a significant association with 90 days mortality (P = 0.014) and overall survival (P = 0.012). Severe liver fibrosis emerges as a crucial risk factor for liver failure and perioperative mortality following the second step of ALPPS. Preoperative liver function impairment is an important predictive factor for postoperative liver failure.

摘要

肝纤维化对联合肝脏离断和门静脉结扎的二步肝切除术(ALPPS)后肝脏再生率和并发症的影响尚未完全阐明。本研究旨在探讨肝纤维化对 ALPPS 术后并发症和预后的影响。我们收集了 2014 年 5 月至 2022 年 10 月期间在北京协和医院接受 ALPPS 治疗的原发性肝癌患者的临床资料。采用苏木精-伊红染色和天狼星红染色评估肝纤维化程度。本研究共纳入 30 例行 ALPPS 治疗的原发性肝癌患者,其中肝细胞癌 23 例,胆管细胞癌 5 例,肝细胞癌-胆管细胞癌混合型 2 例。严重肝纤维化对肝脏再生率的影响无统计学意义(P=0.892)。所有严重并发症患者均属于严重肝纤维化组。严重肝纤维化与 90 天死亡率(P=0.014)和总生存率(P=0.012)显著相关。严重肝纤维化是 ALPPS 第二步术后肝功能衰竭和围手术期死亡的重要危险因素。术前肝功能损害是术后肝功能衰竭的重要预测因素。

https://cdn.ncbi.nlm.nih.gov/pmc/blobs/d08e/11233615/924e0a2d6eaa/41598_2024_65924_Fig1_HTML.jpg

文献AI研究员

20分钟写一篇综述,助力文献阅读效率提升50倍。

立即体验

用中文搜PubMed

大模型驱动的PubMed中文搜索引擎

马上搜索

文档翻译

学术文献翻译模型,支持多种主流文档格式。

立即体验