Suppr超能文献

表达α-1抗胰蛋白酶基因的人脂肪组织来源间充质干细胞在肝纤维化中的有效性:一项小鼠研究

Effectiveness of human adipose tissue-derived mesenchymal stem cells expressing alpha-1 antitrypsin gene in liver fibrosis: a study in mice.

作者信息

Ali Hosseinzadeh Sara, Sahebghadam Lotfi Abbas, Davoodian Nahid, Arjmand Sareh, Rangchi Marjan, Mashhadiabbas Fatemeh

机构信息

Department of Clinical Biochemistry, Faculty of Medical Science, Tarbiat Modares University, Tehran, Iran.

Endocrinology and Metabolism Research Center, Hormozgan University of Medical Sciences, Bandar Abbas, Iran.

出版信息

Gastroenterol Hepatol Bed Bench. 2024;17(2):151-160. doi: 10.22037/ghfbb.v17i2.2923.

Abstract

AIM

The present study examined the protective potential of human adipose tissue-derived mesenchymal stem cells (hASCs) modified to overexpress alpha-1 antitrypsin (AAT), in a mouse model of the liver fibrosis.

BACKGROUND

For the treatment of end-stage liver diseases, cell therapy has emerged as a promising noninvasive alternative to liver transplantation. Mesenchymal stem cells (MSCs) are being evaluated due to their dual capabilities of promoting liver regeneration and modulating the pathogenic inflammation of the immune system.

METHODS

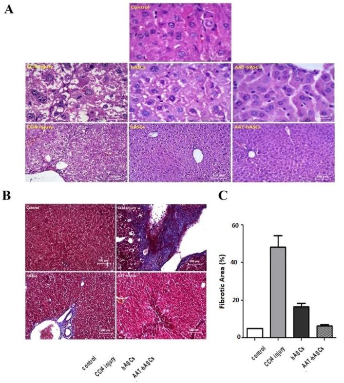
Liver fibrosis was induced in mice via the intraperitoneal injection of carbon tetrachloride (CCl4). MSCs were extracted from the human adipose tissue. After stemness confirmation, the cells were transduced with the lentiviruses containing the AAT gene, and then injected into the mice's tail vein. Fourteen days' post-transplantation, mice were sacrificed, and blood and tissue samples were collected for analysis. Important liver enzymes, including alanine transaminase (ALT), aspartate aminotransferase (AST), alkaline phosphatase (ALP), albumin, and total bilirubin (TB), were measured. Histological studies were carried out using the hematoxylin and eosin (H&E), as well as Masson's trichrome (MT) staining.

RESULTS

Compared to hASCs, treatment with AAT-hASCs resulted in greater reductions in ALT, AST, ALP, and TB, as well as normalized albumin levels. AAT-hASCs promoted enhanced liver regeneration histologically, likely attributable to anti-inflammatory and anti-proteolytic properties of AAT.

CONCLUSION

These findings indicate AAT-engineered hASCs as a promising cell-gene therapy candidate for further study in liver cirrhosis models.

摘要

目的

本研究在肝纤维化小鼠模型中检测了经修饰过表达α-1抗胰蛋白酶(AAT)的人脂肪组织来源间充质干细胞(hASCs)的保护潜力。

背景

对于终末期肝病的治疗,细胞疗法已成为一种有前景的肝移植非侵入性替代方法。间充质干细胞(MSCs)因其促进肝再生和调节免疫系统致病性炎症的双重能力而正在接受评估。

方法

通过腹腔注射四氯化碳(CCl4)诱导小鼠肝纤维化。从人脂肪组织中提取MSCs。在确认干细胞特性后,用含有AAT基因的慢病毒转导细胞,然后注入小鼠尾静脉。移植后14天,处死小鼠,收集血液和组织样本进行分析。检测重要的肝酶,包括丙氨酸转氨酶(ALT)、天冬氨酸转氨酶(AST)、碱性磷酸酶(ALP)、白蛋白和总胆红素(TB)。使用苏木精和伊红(H&E)以及Masson三色(MT)染色进行组织学研究。

结果

与hASCs相比,用AAT-hASCs治疗导致ALT、AST、ALP和TB水平有更大程度降低,白蛋白水平恢复正常。AAT-hASCs在组织学上促进了肝再生增强,这可能归因于AAT的抗炎和抗蛋白水解特性。

结论

这些发现表明经AAT工程改造的hASCs作为一种有前景的细胞基因治疗候选物,可在肝硬化模型中进一步研究。

https://cdn.ncbi.nlm.nih.gov/pmc/blobs/8121/11234484/f84decd07fc9/GHFBB-17-2-151-g001.jpg

文献AI研究员

20分钟写一篇综述,助力文献阅读效率提升50倍。

立即体验

用中文搜PubMed

大模型驱动的PubMed中文搜索引擎

马上搜索

文档翻译

学术文献翻译模型,支持多种主流文档格式。

立即体验