Suppr超能文献

重新界定隐球菌性脑膜炎的临床表型与治疗方法。

Reframing the clinical phenotype and management of cryptococcal meningitis.

作者信息

Rocha Maria Francisca, Bain Hamish D C, Stone Neil, Meya David, Darie Lucia, Toma Ahmed K, Lunn Michael P T, Mehta Arpan R, Coughlan Charles

机构信息

National Hospital for Neurology and Neurosurgery, Queen Square, University College London Hospitals NHS Foundation Trust, London, UK.

Hospital for Tropical Diseases, University College London Hospitals NHS Foundation Trust, London, UK.

出版信息

Pract Neurol. 2025 Jan 16;25(1):25-39. doi: 10.1136/pn-2024-004133.

Abstract

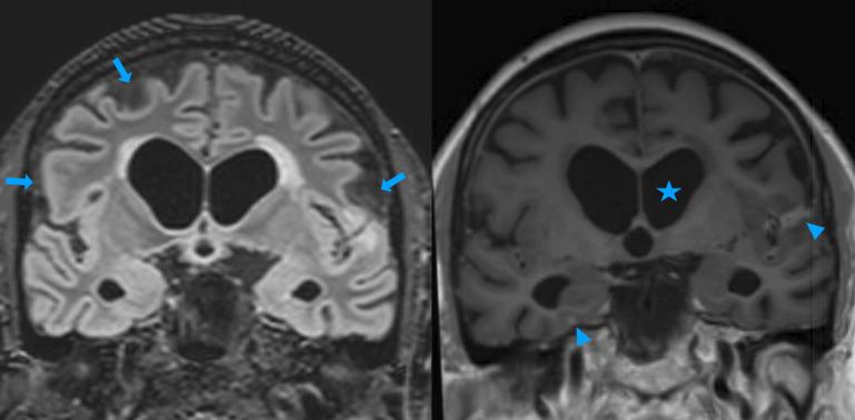
Cryptococcal meningitis is an important global health problem, resulting from infection with the yeast , especially and , which cause a spectrum of disease ranging from pulmonary and skin lesions to life-threatening central nervous system involvement. The diagnosis and management of cryptococcal meningitis have substantially changed in recent years. Cryptococcal meningitis often occurs in people living with advanced HIV infection, though in high-income countries with robust HIV detection and treatment programmes, it increasingly occurs in other groups, notably solid-organ transplant recipients, other immunosuppressed patients and even immunocompetent hosts. This review outlines the clinical presentation, management and prognosis of cryptococcal meningitis, including its salient differences in people living with HIV compared with HIV-negative patients. We discuss the importance of managing raised intracranial pressure and highlight the advantages of improved multidisciplinary team working involving neurologists, infectious disease specialists and neurosurgeons.

摘要

隐球菌性脑膜炎是一个重要的全球健康问题,由酵母感染引起,尤其是新型隐球菌和格特隐球菌,它们可导致一系列疾病,从肺部和皮肤病变到危及生命的中枢神经系统受累。近年来,隐球菌性脑膜炎的诊断和管理发生了重大变化。隐球菌性脑膜炎常发生于晚期HIV感染者中,不过在具备强大HIV检测和治疗项目的高收入国家,它越来越多地发生于其他人群,尤其是实体器官移植受者、其他免疫抑制患者甚至免疫功能正常的宿主。本综述概述了隐球菌性脑膜炎的临床表现、管理和预后,包括与HIV阴性患者相比,HIV感染者中的显著差异。我们讨论了控制颅内压升高的重要性,并强调了改善多学科团队协作(涉及神经科医生、传染病专家和神经外科医生)的优势。

https://cdn.ncbi.nlm.nih.gov/pmc/blobs/929e/11877062/018b5f7c1172/pn-25-1-g001.jpg

文献AI研究员

20分钟写一篇综述,助力文献阅读效率提升50倍。

立即体验

用中文搜PubMed

大模型驱动的PubMed中文搜索引擎

马上搜索

文档翻译

学术文献翻译模型,支持多种主流文档格式。

立即体验