Suppr超能文献

NAD 依赖性去乙酰化酶 Sirtuin-2 通过调节丙酮酸激酶 M2 的泛素化在肝脏代谢应激中的作用。

The role of NAD-dependent deacetylase sirtuin-2 in liver metabolic stress through regulating pyruvate kinase M2 ubiquitination.

机构信息

National Experimental Teaching Demonstration Center of Animal Medicine Foundation, College of Animal Science and Veterinary Medicine, Heilongjiang Bayi Agricultural University, Daqing, China.

The University of Georgia, Athens, GA, USA.

出版信息

J Transl Med. 2024 Jul 14;22(1):656. doi: 10.1186/s12967-024-05435-w.

Abstract

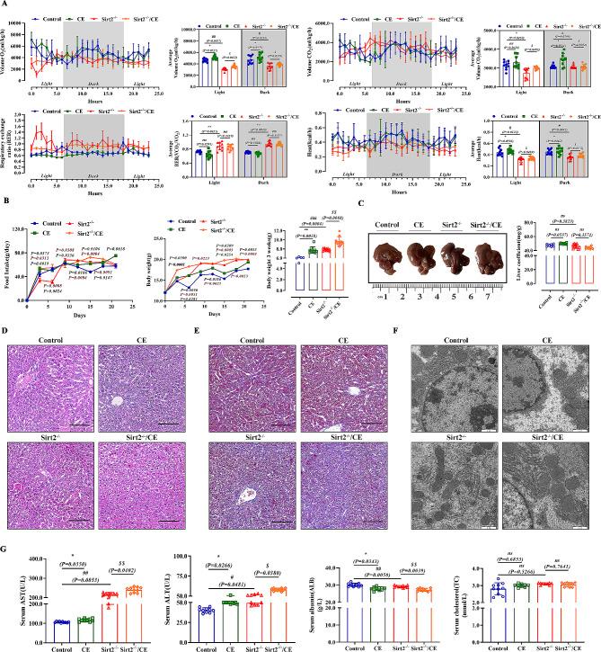
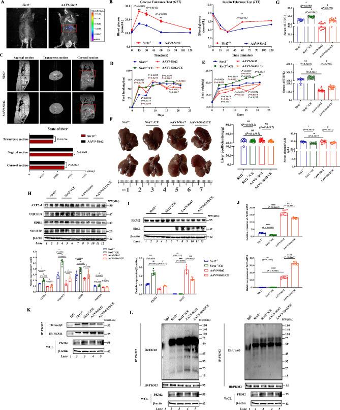
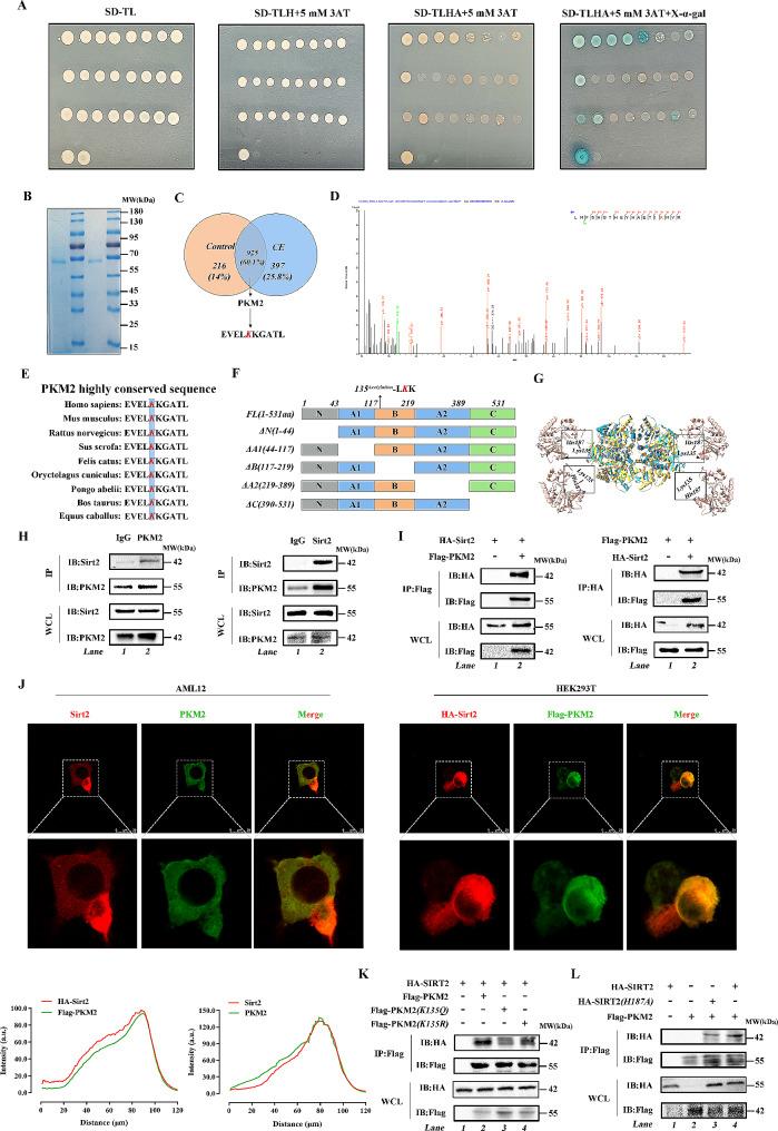
NAD-dependent deacetylase Sirt2 is involved in mammalian metabolic activities, matching energy demand with energy production and expenditure, and is relevant to a variety of metabolic diseases. Here, we constructed Sirt2 knockout and adeno-associated virus overexpression mice and found that deletion of hepatic Sirt2 accelerated primary obesity and insulin resistance in mice with concomitant hepatic metabolic dysfunction. However, the key targets of Sirt2 are unknown. We identified the M2 isoform of pyruvate kinase (PKM2) as a key Sirt2 target involved in glycolysis in metabolic stress. Through yeast two-hybrid and mass spectrometry combined with multi-omics analysis, we identified candidate acetylation modification targets of Sirt2 on PKM2 lysine 135 (K135). The Sirt2-mediated deacetylation-ubiquitination switch of PKM2 regulated the development of glycolysis. Here, we found that Sirt2 deficiency led to impaired glucose tolerance and insulin resistance and induced primary obesity. Sirt2 severely disrupted liver function in mice under metabolic stress, exacerbated the metabolic burden on the liver, and affected glucose metabolism. Sirt2 underwent acetylation modification of lysine 135 of PKM2 through a histidine 187 enzyme active site-dependent effect and reduced ubiquitination of the K48 ubiquitin chain of PKM2. Our findings reveal that the hepatic glucose metabolism links nutrient state to whole-body energetics through the rhythmic regulation of Sirt2.

摘要

NAD 依赖性去乙酰化酶 Sirt2 参与哺乳动物的代谢活动,使能量需求与能量产生和消耗相匹配,与多种代谢疾病有关。在这里,我们构建了 Sirt2 敲除和腺相关病毒过表达小鼠,发现肝脏 Sirt2 的缺失加速了伴有肝代谢功能障碍的小鼠原发性肥胖和胰岛素抵抗。然而,Sirt2 的关键靶标尚不清楚。我们确定了丙酮酸激酶(PKM2)的 M2 同工型为代谢应激中参与糖酵解的关键 Sirt2 靶标。通过酵母双杂交和质谱结合多组学分析,我们确定了 Sirt2 在 PKM2 赖氨酸 135(K135)上的候选乙酰化修饰靶标。Sirt2 介导的 PKM2 去乙酰化-泛素化开关调节糖酵解的发展。在这里,我们发现 Sirt2 缺乏导致葡萄糖耐量受损和胰岛素抵抗,并诱导原发性肥胖。Sirt2 在代谢应激下严重破坏小鼠的肝功能,加剧肝脏的代谢负担,并影响葡萄糖代谢。Sirt2 通过组氨酸 187 酶活性位点依赖性效应对 PKM2 的赖氨酸 135 进行乙酰化修饰,并减少 PKM2 的 K48 泛素链的泛素化。我们的研究结果表明,肝脏葡萄糖代谢通过 Sirt2 的节律调节将营养状态与全身能量联系起来。

https://cdn.ncbi.nlm.nih.gov/pmc/blobs/3c91/11247741/3594be342c35/12967_2024_5435_Fig1_HTML.jpg

文献AI研究员

20分钟写一篇综述,助力文献阅读效率提升50倍。

立即体验

用中文搜PubMed

大模型驱动的PubMed中文搜索引擎

马上搜索

文档翻译

学术文献翻译模型,支持多种主流文档格式。

立即体验