Suppr超能文献

个性化血管化乳腺癌基质模型揭示了药物向肿瘤递送的生物力学决定因素。

Personalized Vascularized Models of Breast Cancer Desmoplasia Reveal Biomechanical Determinants of Drug Delivery to the Tumor.

机构信息

Department of Biological Engineering, Massachusetts Institute of Technology, Cambridge, MA, 02139, USA.

European Molecular Biology Laboratory, European Molecular Biology Laboratory Barcelona, Barcelona, 08003, Spain.

出版信息

Adv Sci (Weinh). 2024 Oct;11(38):e2402757. doi: 10.1002/advs.202402757. Epub 2024 Jul 23.

Abstract

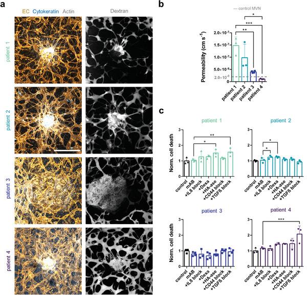
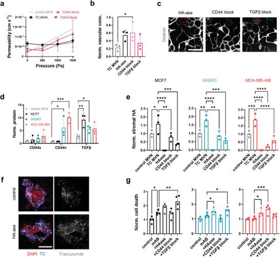
Desmoplasia in breast cancer leads to heterogeneity in physical properties of the tissue, resulting in disparities in drug delivery and treatment efficacy among patients, thus contributing to high disease mortality. Personalized in vitro breast cancer models hold great promise for high-throughput testing of therapeutic strategies to normalize the aberrant microenvironment in a patient-specific manner. Here, tumoroids assembled from breast cancer cell lines (MCF7, SKBR3, and MDA-MB-468) and patient-derived breast tumor cells (TCs) cultured in microphysiological systems including perfusable microvasculature reproduce key aspects of stromal and vascular dysfunction causing impaired drug delivery. Models containing SKBR3 and MDA-MB-468 tumoroids show higher stromal hyaluronic acid (HA) deposition, vascular permeability, interstitial fluid pressure (IFP), and degradation of vascular HA relative to models containing MCF7 tumoroids or models without tumoroids. Interleukin 8 (IL8) secretion is found responsible for vascular dysfunction and loss of vascular HA. Interventions targeting IL8 or stromal HA normalize vascular permeability, perfusion, and IFP, and ultimately enhance drug delivery and TC death in response to perfusion with trastuzumab and cetuximab. Similar responses are observed in patient-derived models. These microphysiological systems can thus be personalized by using patient-derived cells and can be applied to discover new molecular therapies for the normalization of the tumor microenvironment.

摘要

乳腺癌中的间质导致组织物理性质的异质性,从而导致患者之间药物输送和治疗效果的差异,进而导致高疾病死亡率。个性化的体外乳腺癌模型为高通量测试治疗策略提供了巨大的前景,可以以患者特异性的方式使异常微环境正常化。在这里,从小鼠乳腺癌细胞系 (MCF7、SKBR3 和 MDA-MB-468) 和在包括可灌注微血管在内的微生理系统中培养的患者来源的乳腺癌肿瘤细胞组装而成的肿瘤球再现了导致药物输送受损的基质和血管功能障碍的关键方面。含有 SKBR3 和 MDA-MB-468 肿瘤球的模型显示出比含有 MCF7 肿瘤球的模型或不含肿瘤球的模型更高的基质透明质酸 (HA) 沉积、血管通透性、间质液压力 (IFP) 和血管 HA 的降解。发现白细胞介素 8 (IL8) 分泌负责血管功能障碍和血管 HA 的丢失。针对 IL8 或基质 HA 的干预措施可使血管通透性、灌注和 IFP 正常化,并最终增强对曲妥珠单抗和西妥昔单抗灌注的药物输送和 TC 死亡。在患者来源的模型中也观察到类似的反应。因此,这些微生理系统可以通过使用患者来源的细胞进行个性化定制,并可用于发现使肿瘤微环境正常化的新分子疗法。

https://cdn.ncbi.nlm.nih.gov/pmc/blobs/4cdc/11481247/3e4c10f13101/ADVS-11-2402757-g005.jpg

文献AI研究员

20分钟写一篇综述,助力文献阅读效率提升50倍。

立即体验

用中文搜PubMed

大模型驱动的PubMed中文搜索引擎

马上搜索

文档翻译

学术文献翻译模型,支持多种主流文档格式。

立即体验