Suppr超能文献

微生物色氨酸代谢物通过修复肠道 AhR 介导的肠骨信号通路改善卵巢切除诱导的骨丢失。

Microbial Tryptophan Metabolites Ameliorate Ovariectomy-Induced Bone Loss by Repairing Intestinal AhR-Mediated Gut-Bone Signaling Pathway.

机构信息

State Key Laboratory of Magnetic Resonance and Imaging, National Centre for Magnetic Resonance in Wuhan, Innovation Academy of Precision Measurement Science and Technology, CAS, Wuhan, 430071, China.

University of Chinese Academy of Sciences, Beijing, 100049, China.

出版信息

Adv Sci (Weinh). 2024 Sep;11(36):e2404545. doi: 10.1002/advs.202404545. Epub 2024 Jul 23.

Abstract

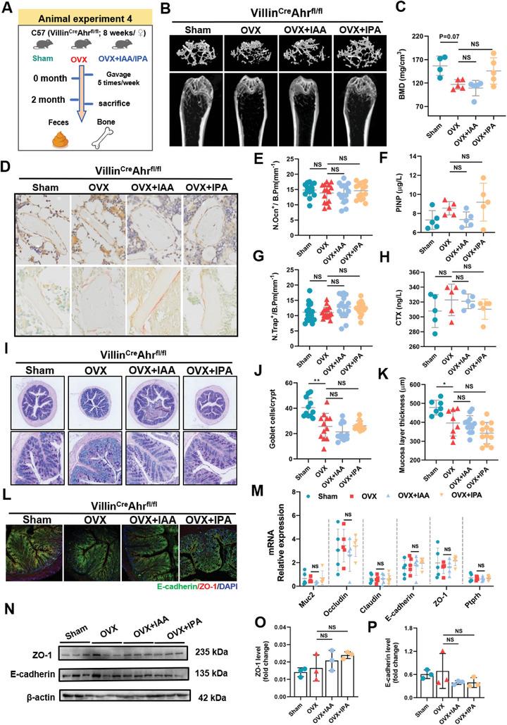
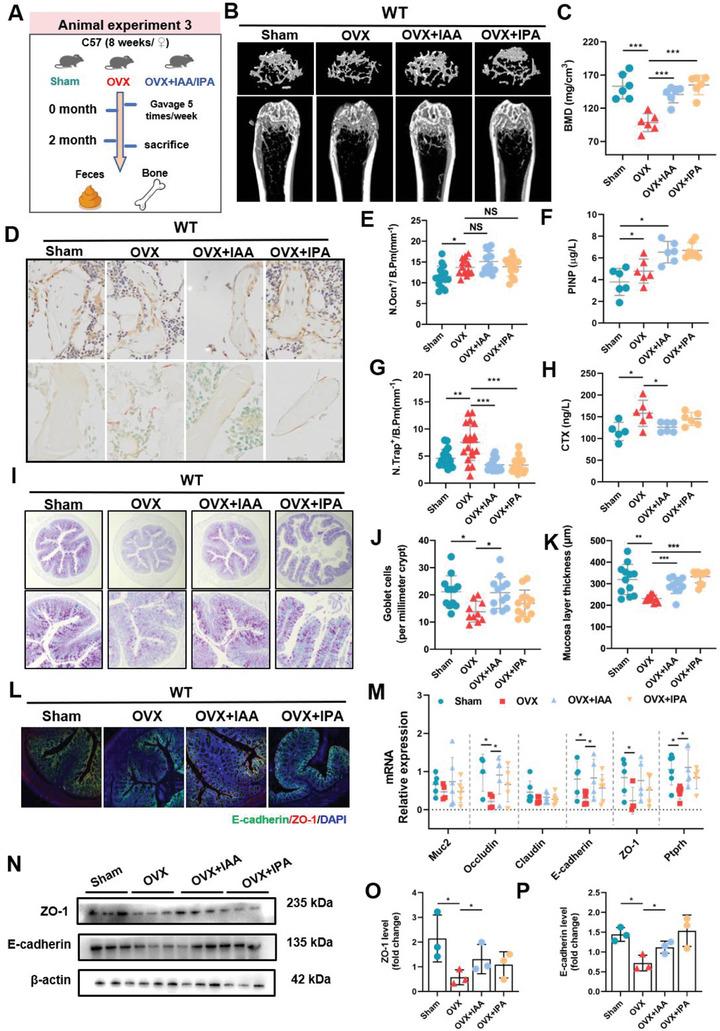
Microbial tryptophan (Trp) metabolites acting as aryl hydrocarbon receptor (AhR) ligands are shown to effectively improve metabolic diseases via regulating microbial community. However, the underlying mechanisms by which Trp metabolites ameliorate bone loss via gut-bone crosstalk are largely unknown. In this study, supplementation with Trp metabolites, indole acetic acid (IAA), and indole-3-propionic acid (IPA), markedly ameliorate bone loss by repairing intestinal barrier integrity in ovariectomy (OVX)-induced postmenopausal osteoporosis mice in an AhR-dependent manner. Mechanistically, intestinal AhR activation by Trp metabolites, especially IAA, effectively repairs intestinal barrier function by stimulating Wnt/β-catenin signaling pathway. Consequently, enhanced M2 macrophage by supplementation with IAA and IPA secrete large amount of IL-10 that expands from intestinal lamina propria to bone marrow, thereby simultaneously promoting osteoblastogenesis and inhibiting osteoclastogenesis in vivo and in vitro. Interestingly, supplementation with Trp metabolites exhibit negligible ameliorative effects on both gut homeostasis and bone loss of OVX mice with intestinal AhR knockout (VillinAhr). These findings suggest that microbial Trp metabolites may be potential therapeutic candidates against osteoporosis via regulating AhR-mediated gut-bone axis.

摘要

微生物色氨酸(Trp)代谢物作为芳烃受体(AhR)配体,通过调节微生物群落,被证明能有效改善代谢疾病。然而,Trp 代谢物通过肠道-骨骼串扰改善骨丢失的潜在机制在很大程度上尚不清楚。在这项研究中,Trp 代谢物、吲哚乙酸(IAA)和吲哚-3-丙酸(IPA)的补充,以 AhR 依赖性方式显著改善了去卵巢(OVX)诱导的绝经后骨质疏松症小鼠的骨丢失,修复了肠道屏障完整性。在机制上,Trp 代谢物,特别是 IAA,通过刺激 Wnt/β-catenin 信号通路,有效修复肠道屏障功能,从而激活肠道 AhR。因此,补充 IAA 和 IPA 可使 M2 巨噬细胞大量分泌白细胞介素 10(IL-10),从肠固有层扩展到骨髓,从而在体内和体外同时促进成骨细胞生成和抑制破骨细胞生成。有趣的是,Trp 代谢物的补充对肠道 AhR 敲除(VillinAhr)的 OVX 小鼠的肠道稳态和骨丢失几乎没有改善作用。这些发现表明,微生物 Trp 代谢物可能是通过调节 AhR 介导的肠道-骨骼轴来治疗骨质疏松症的潜在候选药物。

https://cdn.ncbi.nlm.nih.gov/pmc/blobs/609d/11423200/82750448c2df/ADVS-11-2404545-g004.jpg

文献AI研究员

20分钟写一篇综述,助力文献阅读效率提升50倍。

立即体验

用中文搜PubMed

大模型驱动的PubMed中文搜索引擎

马上搜索

文档翻译

学术文献翻译模型,支持多种主流文档格式。

立即体验