Suppr超能文献

经口暴露于微塑料会影响猪空肠中反应性神经元的神经化学可塑性。

Oral Exposure to Microplastics Affects the Neurochemical Plasticity of Reactive Neurons in the Porcine Jejunum.

机构信息

Department of Epizootiology, Faculty of Veterinary Medicine, University of Warmia and Mazury in Olsztyn, Oczapowskiego 13, 10-719 Olsztyn, Poland.

Department of Clinical Physiology, Faculty of Veterinary Medicine, University of Warmia and Mazury in Olsztyn, Oczapowskiego 13, 10-719 Olsztyn, Poland.

出版信息

Nutrients. 2024 Jul 14;16(14):2268. doi: 10.3390/nu16142268.

Abstract

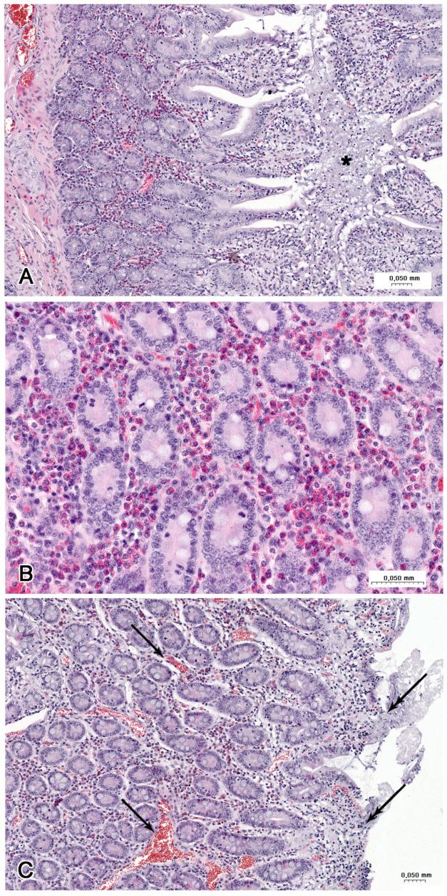
Plastics are present in almost every aspect of our lives. Polyethylene terephthalate (PET) is commonly used in the food industry. Microparticles can contaminate food and drinks, posing a threat to consumers. The presented study aims to determine the effect of microparticles of PET on the population of neurons positive for selected neurotransmitters in the enteric nervous system of the jejunum and histological structure. An amount of 15 pigs were divided into three groups (control, receiving 0.1 g, and 1 g/day/animal orally). After 28 days, fragments of the jejunum were collected for immunofluorescence and histological examination. The obtained results show that histological changes (injury of the apical parts of the villi, accumulations of cellular debris and mucus, eosinophil infiltration, and hyperaemia) were more pronounced in pigs receiving a higher dose of microparticles. The effect on neuronal nitric oxide synthase-, and substance P-positive neurons, depends on the examined plexus and the dose of microparticles. An increase in the percentage of galanin-positive neurons and a decrease in cocaine and amphetamine-regulated transcript-, vesicular acetylcholine transporter-, and vasoactive intestinal peptide-positive neurons do not show such relationships. The present study shows that microparticles can potentially have neurotoxic and pro-inflammatory effects, but there is a need for further research to determine the mechanism of this process and possible further effects.

摘要

塑料几乎存在于我们生活的方方面面。聚对苯二甲酸乙二醇酯(PET)在食品工业中被广泛使用。微颗粒可能会污染食物和饮料,对消费者构成威胁。本研究旨在确定 PET 微颗粒对空肠肠神经系统中特定神经递质呈阳性的神经元群体和组织学结构的影响。将 15 头猪分为三组(对照组、接受 0.1 g/天/动物和 1 g/天/动物口服)。28 天后,收集空肠片段进行免疫荧光和组织学检查。结果表明,接受较高剂量微颗粒的猪出现更明显的组织学变化(绒毛顶端损伤、细胞碎片和黏液积聚、嗜酸性粒细胞浸润和充血)。对神经元一氧化氮合酶和 P 物质阳性神经元的影响取决于所检查的神经丛和微颗粒的剂量。神经降压素、囊泡乙酰胆碱转运体和血管活性肠肽阳性神经元的阳性率增加,可卡因和苯丙胺调节转录物阳性神经元的减少没有表现出这种关系。本研究表明,微颗粒可能具有神经毒性和促炎作用,但需要进一步研究以确定该过程的机制和可能的进一步影响。

https://cdn.ncbi.nlm.nih.gov/pmc/blobs/4371/11280339/6e97fec33511/nutrients-16-02268-g006.jpg

文献AI研究员

20分钟写一篇综述,助力文献阅读效率提升50倍。

立即体验

用中文搜PubMed

大模型驱动的PubMed中文搜索引擎

马上搜索

文档翻译

学术文献翻译模型,支持多种主流文档格式。

立即体验