Suppr超能文献

层状双氢氧化物(LDH)作为携带猪繁殖与呼吸综合征病毒表位的嵌合蛋白的递送载体。

Layered Double Hydroxides (LDH) as Delivery Vehicles of a Chimeric Protein Carrying Epitopes from the Porcine Reproductive and Respiratory Syndrome Virus.

作者信息

Alonso-Cerda María José, García-Soto Mariano J, Miranda-López Arleth, Segura-Velázquez René, Sánchez-Betancourt José Ivan, González-Ortega Omar, Rosales-Mendoza Sergio

机构信息

Facultad de Ciencias Químicas, Universidad Autónoma de San Luis Potosí, Av. Manuel Nava 6, San Luis Potosí 78210, Mexico.

Sección de Biotecnología, Centro de Investigación en Ciencias de la Salud y Biomedicina, Universidad Autónoma de San Luis Potosí, Av. Sierra Leona 550, San Luis Potosí 78210, Mexico.

出版信息

Pharmaceutics. 2024 Jun 21;16(7):841. doi: 10.3390/pharmaceutics16070841.

Abstract

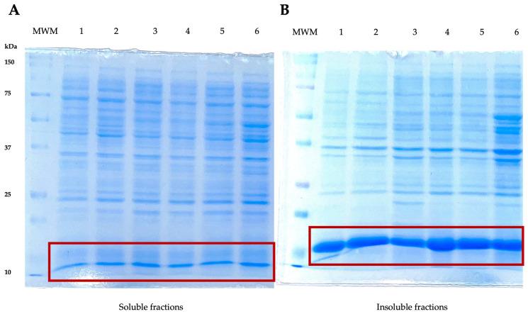
The Porcine Reproductive and Respiratory Syndrome Virus (PRRSV) causes reproductive failure and respiratory symptoms, leading to huge economic losses for the pig farming industry. Although several vaccines against PRRSV are available in the market; they show an overall low efficacy, and several countries have the need for vaccines covering the local, circulating variants. This project aims at developing a new chimeric antigen targeting specific epitopes from PRRSV and evaluating two test adjuvants to formulate a vaccine candidate. The test antigen was called LTB-PRRSV, which was produced recombinantly in and consisted of the heat labile enterotoxin B subunit from (LTB) and four epitopes from PRRSV. LTB-PRRSV was rescued as inclusion bodies and methods for its solubilization, IMAC-based purification, and refolding were standardized, leading to mean yields of 18 mg of pure protein per liter culture. Layered double hydroxides (LDH) have been used as vaccine adjuvants given their biocompatibility, low cost, and positive surface charge that allows an efficient adsorption of negatively charged biomolecules. Therefore, LDH were selected as delivery vehicles of LTB-PRRSV. Pure LTB-PRRSV was adsorbed onto LDH by incubation at different LDH:LTB-PRRSV mass ratios (1:0.25, 1:0.5, 1:1, and 1:2) and at pH 9.5. The best adsorption occurred with a 1:2 mass ratio, and in a sucrose-tween solution. The conjugates obtained had a polydispersity index of 0.26, a hydrodynamic diameter of 192 nm, and a final antigen concentration of 64.2 μg/mL. An immunogenicity assessment was performed by injecting mice with LDH:LTB-PRRSV, Alum/LTB-PRRSV, or LTB-PRRSV in a scheme comprising three immunizations at two-week intervals and two dose levels (1 and 5 μg). LTB-PRRSV was capable of inducing strong humoral responses, which lasted for a longer period when LDH was used as the delivery vehicle/adjuvant. The potential of LDH to serve as an attractive carrier for veterinary vaccines is discussed.

摘要

猪繁殖与呼吸综合征病毒(PRRSV)可导致繁殖障碍和呼吸道症状,给养猪业造成巨大经济损失。尽管市场上有几种针对PRRSV的疫苗,但总体疗效较低,一些国家需要能覆盖当地流行毒株的疫苗。本项目旨在开发一种针对PRRSV特定表位的新型嵌合抗原,并评估两种试验性佐剂以制备候选疫苗。试验性抗原称为LTB-PRRSV,它在[具体表达系统]中重组产生,由[具体来源]的不耐热肠毒素B亚基(LTB)和PRRSV的四个表位组成。LTB-PRRSV以包涵体形式获得,其溶解、基于固定化金属离子亲和色谱(IMAC)的纯化及复性方法得以标准化,每升培养物平均可获得18 mg纯蛋白。层状双氢氧化物(LDH)因其生物相容性、低成本以及能有效吸附带负电荷生物分子的正表面电荷而被用作疫苗佐剂。因此,选择LDH作为LTB-PRRSV的递送载体。通过在不同的LDH:LTB-PRRSV质量比(1:0.25、1:0.5、1:1和1:2)及pH 9.5条件下孵育,将纯LTB-PRRSV吸附到LDH上。质量比为1:2时吸附效果最佳,且是在蔗糖-吐温溶液中。所获得的缀合物的多分散指数为0.26,流体动力学直径为192 nm,最终抗原浓度为64.2 μg/mL。通过按照包含每两周进行三次免疫及两个剂量水平(1 μg和5 μg)的方案给小鼠注射LDH:LTB-PRRSV、明矾/LTB-PRRSV或LTB-PRRSV进行免疫原性评估。LTB-PRRSV能够诱导强烈的体液免疫反应,当使用LDH作为递送载体/佐剂时,这种反应持续时间更长。文中还讨论了LDH作为兽用疫苗有吸引力的载体的潜力。

https://cdn.ncbi.nlm.nih.gov/pmc/blobs/fd90/11279870/69a076a6972c/pharmaceutics-16-00841-g001.jpg

文献AI研究员

20分钟写一篇综述,助力文献阅读效率提升50倍。

立即体验

用中文搜PubMed

大模型驱动的PubMed中文搜索引擎

马上搜索

文档翻译

学术文献翻译模型,支持多种主流文档格式。

立即体验