Suppr超能文献

结节病中排除其他诊断的框架。

A framework for exclusion of alternative diagnoses in sarcoidosis.

作者信息

Harper Logan J, Farver Carol F, Yadav Ruchi, Culver Daniel A

机构信息

Department of Pulmonary and Critical Care Medicine, Integrated Hospital Care Institute, Cleveland Clinic, Cleveland, OH, USA.

Department of Pathology, Cleveland Clinic, Cleveland, OH, USA.

出版信息

J Autoimmun. 2024 Dec;149:103288. doi: 10.1016/j.jaut.2024.103288. Epub 2024 Jul 31.

Abstract

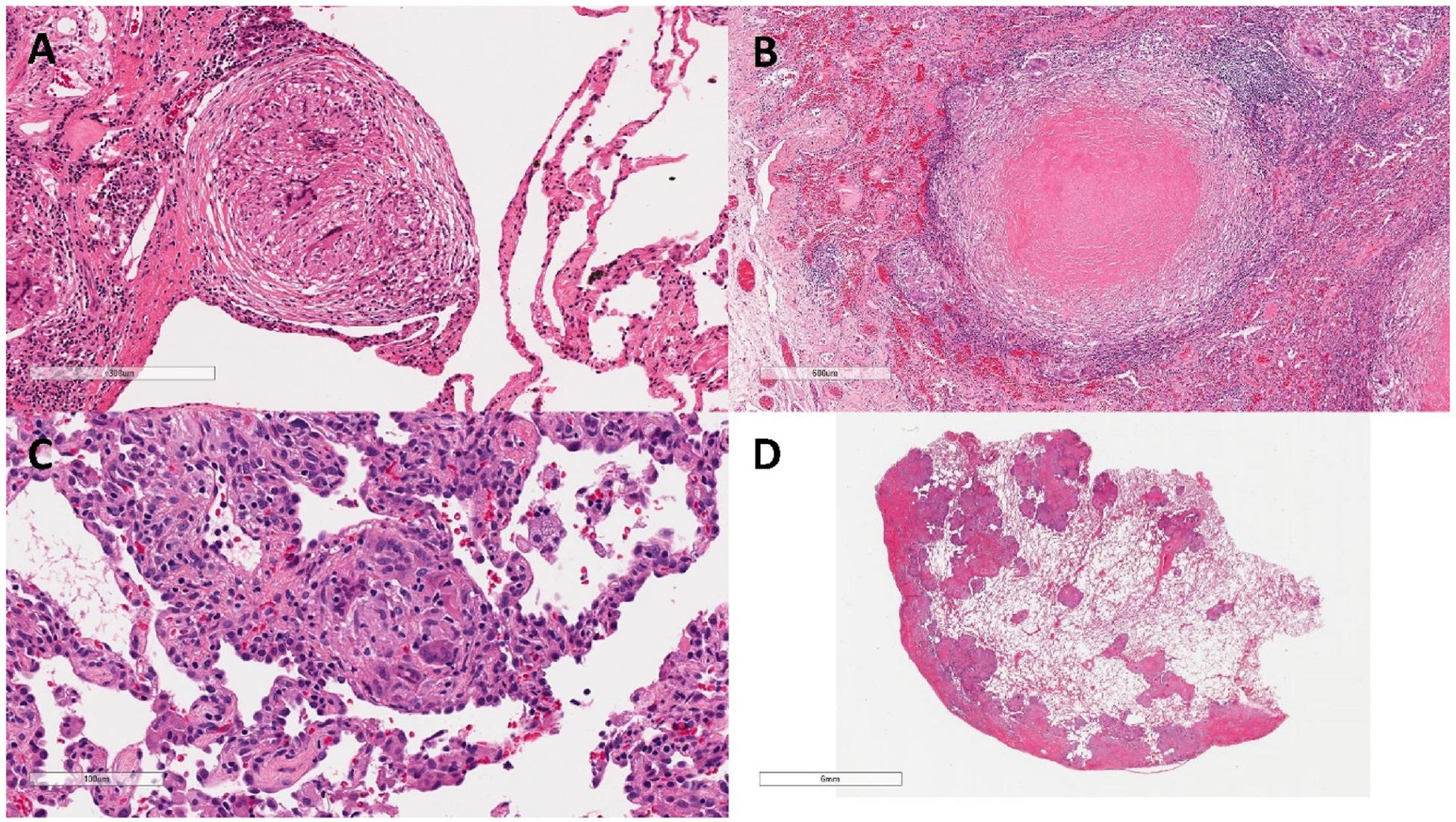
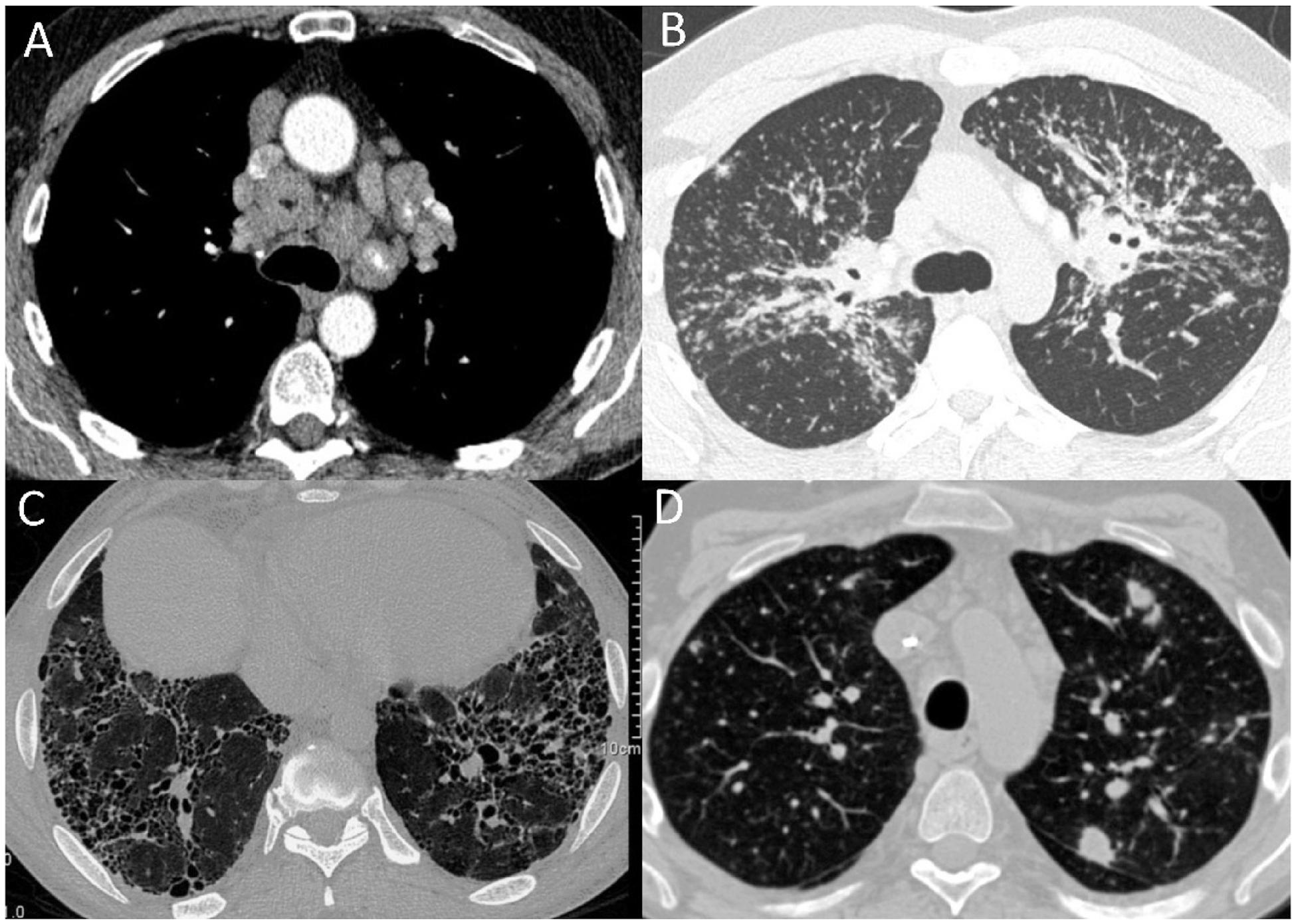
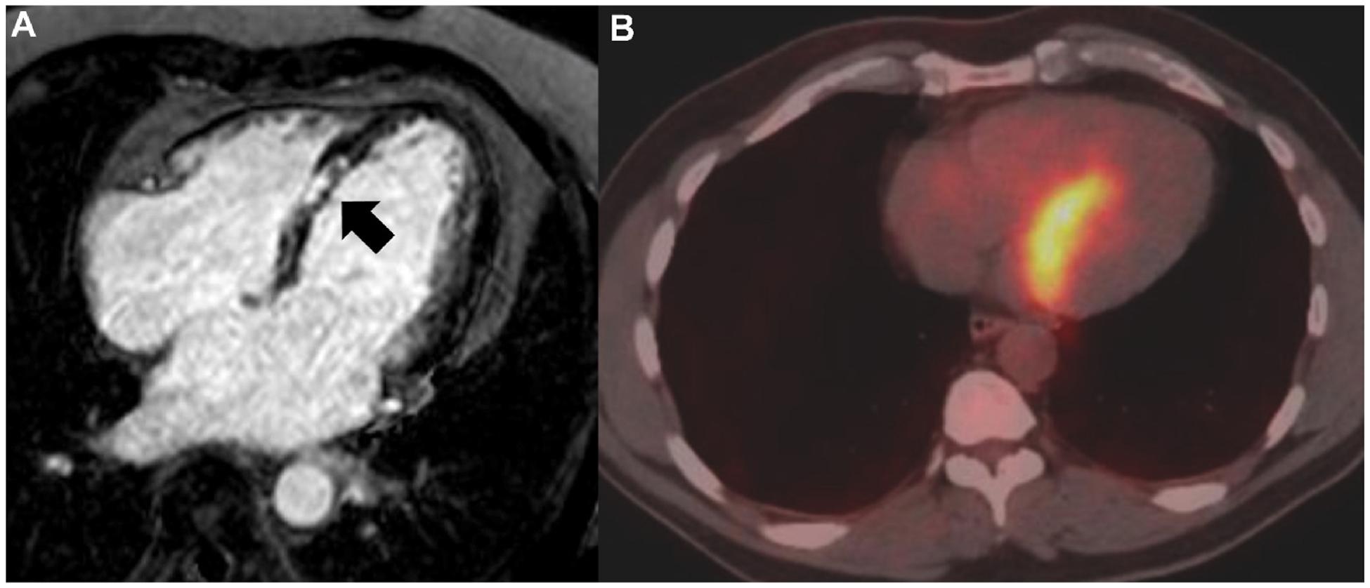
Sarcoidosis is a multisystem granulomatous syndrome that arises from a persistent immune response to a triggering antigen(s). There is no "gold standard" test or algorithm for the diagnosis of sarcoidosis, making the diagnosis one of exclusion. The presentation of the disease varies substantially between individuals, in both the number of organs involved, and the manifestations seen in individual organs. These qualities dictate that health care providers diagnosing sarcoidosis must consider a wide range of possible alternative diagnoses, from across a range of presentations and medical specialties (infectious, inflammatory, cardiac, neurologic). Current guideline-based diagnosis of sarcoidosis recommends fulfillment of three criteria: 1) compatible clinical presentation and/or imaging 2) demonstration of granulomatous inflammation by biopsy (when possible) and, 3) exclusion of alternative causes, but do not provide guidance on standardized strategies for exclusion of alternative diagnoses. In this review, we provide a summary of the most common differential diagnoses for sarcoidosis involvement of lung, eye, skin, central nervous system, heart, liver, and kidney. We then propose a framework for testing to exclude alternative diagnoses based on pretest probability of sarcoidosis, defined as high (typical findings with sarcoidosis involvement confirmed in another organ), moderate (typical findings in a single organ), or low (atypical/findings suggesting of an alternative diagnosis). This work highlights the need for informed and careful exclusion of alternative diagnoses in sarcoidosis.

摘要

结节病是一种多系统肉芽肿综合征,由对触发抗原的持续免疫反应引起。目前尚无诊断结节病的“金标准”检测方法或诊断流程,这使得结节病的诊断成为一种排除性诊断。该疾病在个体之间的表现差异很大,涉及的器官数量以及单个器官的表现均有所不同。这些特点决定了诊断结节病的医疗保健人员必须考虑一系列可能的替代诊断,涵盖各种表现形式和医学专业领域(感染性、炎症性、心脏、神经)。目前基于指南的结节病诊断建议满足三个标准:1)临床表现和/或影像学表现相符;2)通过活检(如有可能)证实存在肉芽肿性炎症;3)排除其他病因,但未提供排除替代诊断的标准化策略指导。在本综述中,我们总结了结节病累及肺、眼、皮肤、中枢神经系统、心脏、肝脏和肾脏时最常见的鉴别诊断。然后,我们基于结节病的验前概率提出了一个用于排除替代诊断的检测框架,验前概率分为高(在另一器官已证实有结节病累及的典型表现)、中(单个器官的典型表现)或低(非典型/提示替代诊断的表现)。这项工作强调了在结节病诊断中明智且谨慎地排除替代诊断的必要性。

https://cdn.ncbi.nlm.nih.gov/pmc/blobs/54a5/11791745/d029ccda553e/nihms-2052384-f0001.jpg

相似文献

1
A framework for exclusion of alternative diagnoses in sarcoidosis.
J Autoimmun. 2024 Dec;149:103288. doi: 10.1016/j.jaut.2024.103288. Epub 2024 Jul 31.
2
The diagnosis of sarcoidosis.
Curr Opin Pulm Med. 2019 Sep;25(5):484-496. doi: 10.1097/MCP.0000000000000596.
3
The Diagnosis of Sarcoidosis.
Clin Chest Med. 2015 Dec;36(4):585-602. doi: 10.1016/j.ccm.2015.08.003. Epub 2015 Oct 9.
4
Clinical presentation of sarcoidosis and diagnostic work-up.
Semin Respir Crit Care Med. 2014 Jun;35(3):336-51. doi: 10.1055/s-0034-1381229. Epub 2014 Jul 9.
5
Sarcoidosis: A Clinical Overview from Symptoms to Diagnosis.
Cells. 2021 Mar 31;10(4):766. doi: 10.3390/cells10040766.
6
Pulmonary Sarcoidosis: Diagnosis and Differential Diagnosis.
Diagnostics (Basel). 2021 Aug 28;11(9):1558. doi: 10.3390/diagnostics11091558.
7
Diagnosis and Detection of Sarcoidosis. An Official American Thoracic Society Clinical Practice Guideline.
Am J Respir Crit Care Med. 2020 Apr 15;201(8):e26-e51. doi: 10.1164/rccm.202002-0251ST.
8
[Atypical sarcoidosis].
Rev Med Interne. 2008 Jan;29(1):46-53. doi: 10.1016/j.revmed.2007.10.005. Epub 2007 Oct 30.
9
Diagnosis issues in sarcoidosis.
Respir Med Res. 2020 Mar;77:37-45. doi: 10.1016/j.resmer.2019.09.002. Epub 2019 Oct 28.
10
Overlap Syndromes in Sarcoidosis: Clinical Features and Outcomes.
Semin Respir Crit Care Med. 2020 Oct;41(5):607-617. doi: 10.1055/s-0040-1713008. Epub 2020 Aug 10.

引用本文的文献

1
Phalange osteolysis present as the initial manifestation of sarcoidosis in a young female.
SAGE Open Med Case Rep. 2025 May 24;13:2050313X251345628. doi: 10.1177/2050313X251345628. eCollection 2025.

本文引用的文献

1
Diagnosis and Management of Cardiac Sarcoidosis: A Scientific Statement From the American Heart Association.
Circulation. 2024 May 21;149(21):e1197-e1216. doi: 10.1161/CIR.0000000000001240. Epub 2024 Apr 18.
2
Discovery of Two Novel Immunoepitopes and Development of a Peptide-based Sarcoidosis Immunoassay.
Am J Respir Crit Care Med. 2024 Oct 1;210(7):908-918. doi: 10.1164/rccm.202306-1054OC.
3
Global guideline for the diagnosis and management of cryptococcosis: an initiative of the ECMM and ISHAM in cooperation with the ASM.
Lancet Infect Dis. 2024 Aug;24(8):e495-e512. doi: 10.1016/S1473-3099(23)00731-4. Epub 2024 Feb 9.
4
Cardiac Sarcoidosis.
Clin Chest Med. 2024 Mar;45(1):105-118. doi: 10.1016/j.ccm.2023.08.006. Epub 2023 Sep 4.
5
High-resolution CT phenotypes in pulmonary sarcoidosis: a multinational Delphi consensus study.
Lancet Respir Med. 2024 May;12(5):409-418. doi: 10.1016/S2213-2600(23)00267-9. Epub 2023 Dec 14.
6
Sarcoidosis in U.S. Military Veterans: Can Lessons from Those Who Have Served Shape the Future of Sarcoidosis?
Ann Am Thorac Soc. 2023 Jun;20(6):788-789. doi: 10.1513/AnnalsATS.202303-201ED.
7
Neurosarcoidosis: Diagnostic Challenges and Mimics A Review.
Curr Allergy Asthma Rep. 2023 Jul;23(7):399-410. doi: 10.1007/s11882-023-01092-z. Epub 2023 May 31.
8
Cardiovascular Magnetic Resonance Imaging in Familial Dilated Cardiomyopathy.
Medicina (Kaunas). 2023 Feb 23;59(3):439. doi: 10.3390/medicina59030439.
9
Clinical usefulness of serum angiotensin converting enzyme in silicosis.
Pulmonology. 2024 Jul-Aug;30(4):370-377. doi: 10.1016/j.pulmoe.2022.06.002. Epub 2022 Oct 22.
10
Imaging Findings of Fibrosis in Pulmonary Sarcoidosis.
Sarcoidosis Vasc Diffuse Lung Dis. 2022;39(2):e2022018. doi: 10.36141/svdld.v39i2.12995. Epub 2022 Jun 29.

文献AI研究员

20分钟写一篇综述,助力文献阅读效率提升50倍。

立即体验

用中文搜PubMed

大模型驱动的PubMed中文搜索引擎

马上搜索

文档翻译

学术文献翻译模型,支持多种主流文档格式。

立即体验