Suppr超能文献

骨细胞上的机械负荷通过影响骨细胞衍生的外泌体来调节棕色脂肪组织的产热稳态。

Mechanical loading on osteocytes regulates thermogenesis homeostasis of brown adipose tissue by influencing osteocyte-derived exosomes.

作者信息

Liu Na, Shao Xiaoyan, Shi Tianshu, Lin Jiaquan, Liu Bin, Shen Tao, Guo Baosheng, Jiang Qing

机构信息

Division of Sports Medicine and Adult Reconstructive Surgery, Department of Orthopedic Surgery, Nanjing Drum Tower Hospital, Affiliated Hospital of Medical School, Nanjing University, Nanjing, China.

Jiangsu Key Laboratory of Molecular Medicine, Medical School, Nanjing University, Nanjing, Jiangsu, China.

出版信息

J Orthop Translat. 2024 Jul 26;48:39-52. doi: 10.1016/j.jot.2024.06.012. eCollection 2024 Sep.

Abstract

BACKGROUND

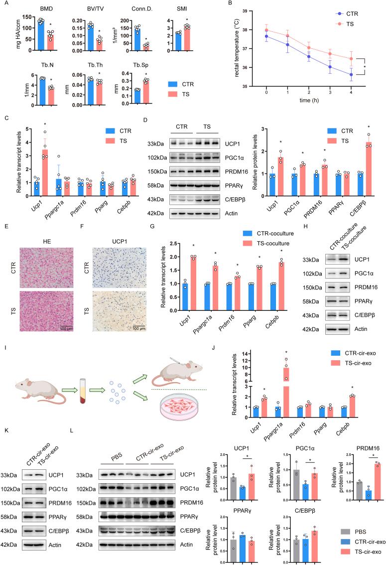
Osteocytes are the main stress-sensing cells in bone. The substances secreted by osteocytes under mechanical loading play a crucial role in maintaining body homeostasis. Osteocytes have recently been found to release exosomes into the circulation, but whether they are affected by mechanical loading or participate in the regulation of systemic homeostasis remains unclear.

METHODS

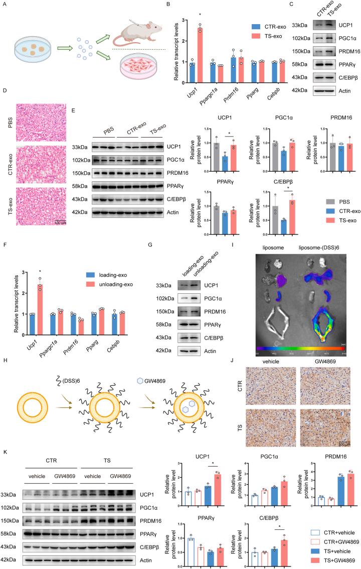
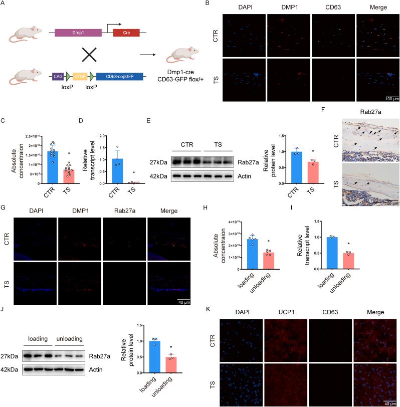
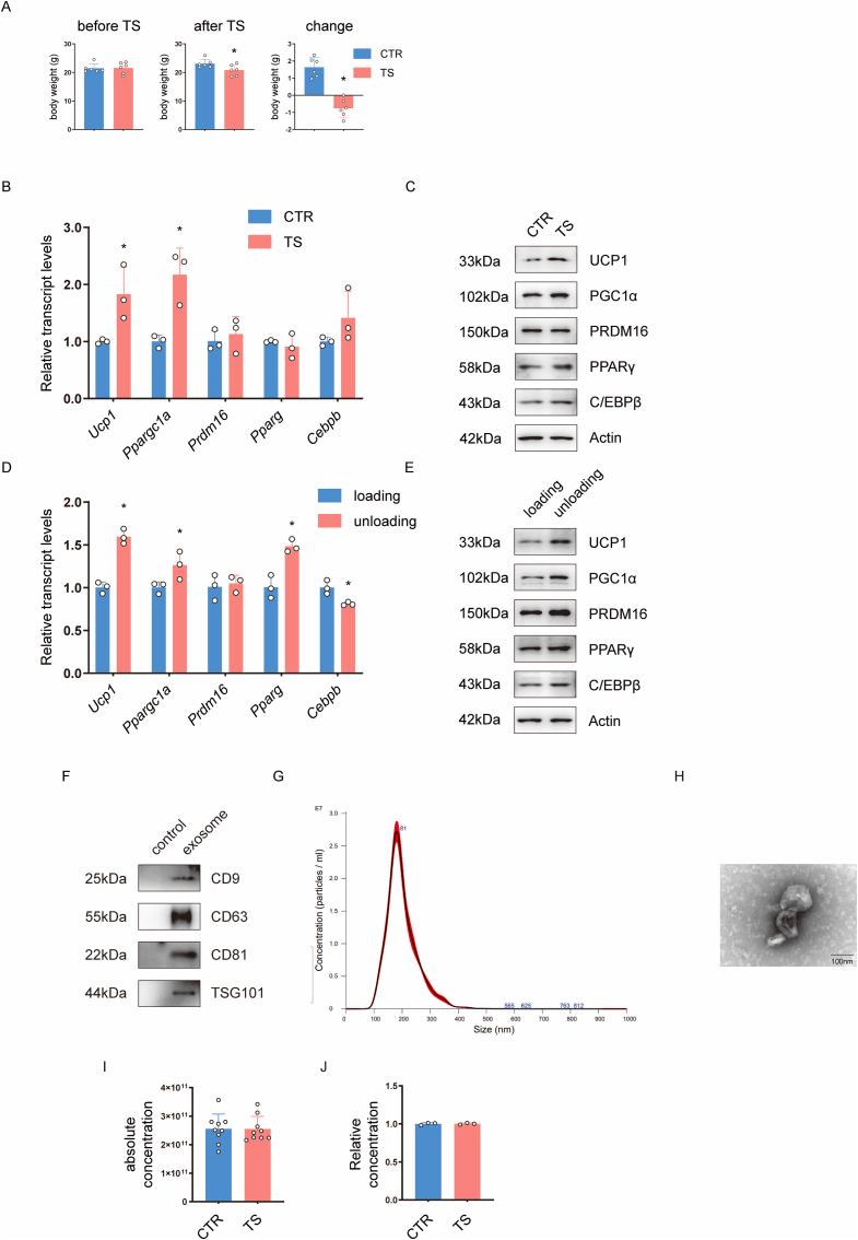
We used a tail-suspension model to achieve mechanical unloading on osteocytes. Osteocyte-specific CD63 reporter mice were used for osteocyte exosome tracing. Exosome detection and inhibitor treatment were performed to confirm the effect of mechanical loading on exosome secretion by osteocytes. Co-culture, GW4869 and exosome treatment were used to investigate the biological functions of osteocyte-derived exosomes on brown adipose tissue (BAT) and primary brown adipocytes. Osteocyte-specific Dicer KO mice were used to screen for loading-sensitive miRNAs. Dual luciferase assay was performed to validate the selected target gene.

RESULTS

Firstly, we found the thermogenic activity was increased in BAT of mice subjected to tail suspension, which is due to the effect of unloaded bone on circulating exosomes. Further, we showed that the secretion of exosomes from osteocytes is regulated by mechanical loading, and osteocyte-derived exosomes can reach BAT and affect thermogenic activity. More importantly, we confirmed the effect of osteocyte exosomes on BAT both in vivo and in vitro. Finally, we discovered that let-7e-5p contained in exosomes is under regulation of mechanical loading and regulates thermogenic activity of BAT by targeting .

CONCLUSION

Exosomes derived from osteocytes are loading-sensitive, and play a vital role in regulation on BAT, suggesting that regulation of exosomes secretion can restore homeostasis.

THE TRANSLATIONAL POTENTIAL OF THIS ARTICLE

This study provides a biological rationale for using osteocyte exosomes as potential agents to modulate BAT and even whole-body homeostasis. It also provides a new pathological basis and a new treatment approach for mechanical unloading conditions such as spaceflight.

摘要

背景

骨细胞是骨骼中主要的应力感知细胞。机械负荷下骨细胞分泌的物质在维持机体稳态中起关键作用。最近发现骨细胞可向循环系统释放外泌体,但它们是否受机械负荷影响或参与全身稳态调节仍不清楚。

方法

我们使用尾悬吊模型对骨细胞进行机械卸载。利用骨细胞特异性CD63报告基因小鼠追踪骨细胞外泌体。进行外泌体检测和抑制剂处理以确认机械负荷对骨细胞外泌体分泌的影响。采用共培养、GW4869和外泌体处理研究骨细胞来源的外泌体对棕色脂肪组织(BAT)和原代棕色脂肪细胞的生物学功能。使用骨细胞特异性Dicer基因敲除小鼠筛选负荷敏感的微小RNA(miRNA)。进行双荧光素酶测定以验证所选靶基因。

结果

首先,我们发现尾悬吊小鼠的BAT产热活性增加,这是由于卸载的骨骼对循环外泌体的影响。进一步,我们表明骨细胞外泌体的分泌受机械负荷调节,且骨细胞来源的外泌体可到达BAT并影响产热活性。更重要的是,我们在体内和体外均证实了骨细胞外泌体对BAT的作用。最后,我们发现外泌体中包含的let-7e-5p受机械负荷调控,并通过靶向作用调节BAT的产热活性。

结论

骨细胞来源的外泌体对负荷敏感,在调节BAT方面起重要作用,提示调节外泌体分泌可恢复稳态。

本文的转化潜力

本研究为将骨细胞外泌体用作调节BAT乃至全身稳态的潜在药物提供了生物学依据。它还为太空飞行等机械卸载条件提供了新的病理基础和新的治疗方法。

https://cdn.ncbi.nlm.nih.gov/pmc/blobs/f0ca/11287067/a1f6f74ad42a/ga1.jpg

文献AI研究员

20分钟写一篇综述,助力文献阅读效率提升50倍。

立即体验

用中文搜PubMed

大模型驱动的PubMed中文搜索引擎

马上搜索

文档翻译

学术文献翻译模型,支持多种主流文档格式。

立即体验