Suppr超能文献

恢复力量:双侧自发性股四头肌肌腱断裂的手术干预与康复——病例报告

Rebuilding strength: surgical intervention and rehabilitation for bilateral spontaneous quadriceps tendon rupture-a case report.

作者信息

Dong Huaize, Yang Jin, Yu Hao, Zhu Jinsong, Yang Jibin

机构信息

Department of Orthopedic Surgery, Affiliated Hospital of Zunyi Medical University, Guizhou, China.

出版信息

Front Surg. 2024 Jul 18;11:1430774. doi: 10.3389/fsurg.2024.1430774. eCollection 2024.

Abstract

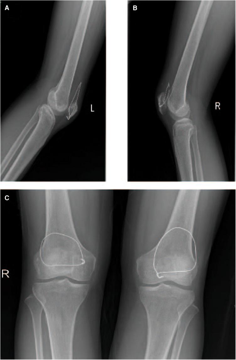
The quadriceps tendon, crucial for body movement, is among the body's strongest tendons. Factors like diabetes or hormone use can weaken it, making even minor trauma potentially causing rupture. Bilateral spontaneous quadriceps tendon rupture, where both tendons tear simultaneously, is rare. Prompt diagnosis and treatment are crucial. We present a case of a 44-year-old woman who experienced bilateral rupture after falling while doing chores. She had immediate pain and limited knee movement. Diagnosis via physical examination and CT/MRI scans confirmed the rupture. Surgical repair followed by rehabilitation led to significant pain reduction and improved function within two months. Overall, her postoperative outcome was satisfactory. This study underscores the importance of clear diagnosis, timely surgery, and thorough rehabilitation for optimal patient recovery from bilateral quadriceps tendon rupture.

摘要

股四头肌肌腱对身体运动至关重要,是人体最强壮的肌腱之一。糖尿病或激素使用等因素会使其变弱,即使是轻微创伤也可能导致破裂。双侧自发性股四头肌肌腱破裂,即两条肌腱同时撕裂的情况很少见。及时诊断和治疗至关重要。我们报告一例44岁女性病例,她在做家务时摔倒后发生双侧破裂。她立即感到疼痛,膝关节活动受限。通过体格检查和CT/MRI扫描确诊为破裂。手术修复后进行康复治疗,两个月内疼痛显著减轻,功能得到改善。总体而言,她的术后结果令人满意。本研究强调了明确诊断、及时手术和全面康复对于患者从双侧股四头肌肌腱破裂中最佳恢复的重要性。

https://cdn.ncbi.nlm.nih.gov/pmc/blobs/1585/11291324/0fc93b4a00fa/fsurg-11-1430774-g001.jpg

文献AI研究员

20分钟写一篇综述,助力文献阅读效率提升50倍。

立即体验

用中文搜PubMed

大模型驱动的PubMed中文搜索引擎

马上搜索

文档翻译

学术文献翻译模型,支持多种主流文档格式。

立即体验