Suppr超能文献

使用 3D PCASL MRI 观察药物过度使用性头痛患者下丘脑亚区低灌注。

Hypoperfusion of hypothalamic subunits in medication-overuse headache using a 3D PCASL MRI.

机构信息

Department of Radiology, Hainan Hospital of PLA General Hospital, No. 80 Jianglin Road, Haitang District, Sanya, 572013, China.

Department of Radiology, First Medical Center of PLA General Hospital, Beijing, 100853, China.

出版信息

Sci Rep. 2024 Aug 5;14(1):18106. doi: 10.1038/s41598-024-69349-9.

Abstract

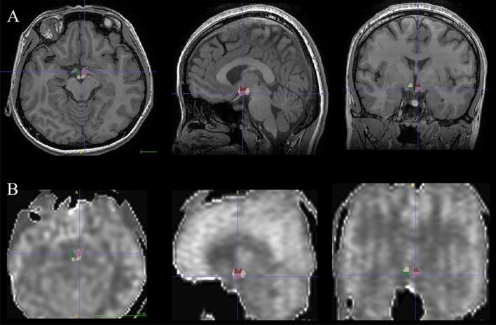
Hypothalamus is a crucial deep brain area that is responsible for the integration and coordination of various brain functions. The altered perfusion of hypothalamus during headache caused by medication-overuse headache (MOH) was previously unknown. In the current study, the altered perfusion of hypothalamic subregions in MOH patients was investigated using state-of-the-art 3D pseudo-continuous arterial spin labeling (PCASL) MR imaging. In this study, 29 normal controls subjects (NCs) and 29 MOH patients underwent 3D PCASL and brain structural MR imaging. The hypothalamus was automatically segmented into 10 subunits and the volume of each subunit was automatically determined using Freesurfer software (v7.4.1). All segmented hypothalamic subunits were converted to individual hypothalamic subunit masks. The cerebral blood flow (CBF) images were coregistered with the raw brain structural images and resliced. The CBF value of each hypothalamic subunit was extracted from the warped CBF images. The volume and CBF value of each hypothalamic subunit were analyzed using the independent sample T test and Mann-Whitney U test, receiver operating characteristic (ROC) curve analysis, and Pearson and Spearman correlation analysis. Hypothalamic subunits with significantly decreased perfusion were located in the left posterior, left tubular superior, right anterior-inferior, right tubular inferior, right tubular superior, right posterior subunit and the entire right hypothalamus [CBF value for MOH vs NC (mL/100 g·min): 48.41 ± 6.75 vs 54.08 ± 11.47, 44.44 ± 4.79 vs 48.11 ± 7.73, 41.49 (32.90, 61.46) vs 49.38 ± 10.47, 46.62 ± 7.04 vs 53.90 ± 11.75, 42.12 ± 5.74 vs 47.02 ± 9.99, 42.79 ± 5.15 vs 47.93 ± 10.48 and 43.58 ± 5.06 vs 48.65 ± 9.33, respectively] in MOH compared to NC (P < 0.05). ROC analysis for these positive subunits revealed that area under the curve was 0.658-0.693, and ROC curve for left posterior subunit had the highest specificity of 93.10% while the entire right hypothalamus had the highest sensitivity of 72.41%. Further correlation analysis showed that the CBF value of the left posterior, right anterior-inferior, right tubular superior, whole right hypothalamus presented significantly negative correlation with Hamilton Depression Scale (HAMD) score (P < 0.05). Hypoperfusion of hypothalamic subunits may contribute to the understanding of MOH pathogenesis, and the 3D PCASL could be considered as a potential diagnostic and assessment tool for MOH.

摘要

下丘脑是大脑深处的一个关键区域,负责整合和协调各种大脑功能。之前未知药物过度使用性头痛(MOH)引起头痛时下丘脑的血流灌注会发生改变。在目前的研究中,使用最先进的 3D 伪连续动脉自旋标记(PCASL)MR 成像技术研究了 MOH 患者下丘脑亚区的血流灌注改变。在这项研究中,29 名正常对照受试者(NC)和 29 名 MOH 患者接受了 3D PCASL 和脑结构 MRI 检查。下丘脑被自动分为 10 个亚区,使用 Freesurfer 软件(v7.4.1)自动确定每个亚区的体积。所有分割的下丘脑亚区都被转换为个体下丘脑亚区掩模。CBF 图像与原始脑结构图像配准并重新切片。从变形的 CBF 图像中提取每个下丘脑亚区的 CBF 值。使用独立样本 T 检验和曼-惠特尼 U 检验、受试者工作特征(ROC)曲线分析、Pearson 和 Spearman 相关分析,对每个下丘脑亚区的体积和 CBF 值进行分析。灌注明显降低的下丘脑亚区位于左侧后、左侧管状上、右侧前下、右侧管状下、右侧管状上、右侧后和整个右侧下丘脑[MOH 与 NC 的 CBF 值(mL/100 g·min):48.41 ± 6.75 与 54.08 ± 11.47、44.44 ± 4.79 与 48.11 ± 7.73、41.49(32.90,61.46)与 49.38 ± 10.47、46.62 ± 7.04 与 53.90 ± 11.75、42.12 ± 5.74 与 47.02 ± 9.99、42.79 ± 5.15 与 47.93 ± 10.48 和 43.58 ± 5.06 与 48.65 ± 9.33,分别](P < 0.05)。这些阳性亚区的 ROC 分析显示曲线下面积为 0.658-0.693,左侧后亚区的 ROC 曲线具有最高的特异性 93.10%,而整个右侧下丘脑具有最高的敏感性 72.41%。进一步的相关分析表明,左侧后、右侧前下、右侧管状上和整个右侧下丘脑的 CBF 值与汉密尔顿抑郁量表(HAMD)评分呈显著负相关(P < 0.05)。下丘脑亚区的灌注不足可能有助于理解 MOH 的发病机制,3D PCASL 可被视为 MOH 的潜在诊断和评估工具。

https://cdn.ncbi.nlm.nih.gov/pmc/blobs/a760/11300719/63620b2cf334/41598_2024_69349_Fig1_HTML.jpg

文献AI研究员

20分钟写一篇综述,助力文献阅读效率提升50倍。

立即体验

用中文搜PubMed

大模型驱动的PubMed中文搜索引擎

马上搜索

文档翻译

学术文献翻译模型,支持多种主流文档格式。

立即体验