Suppr超能文献

通过基于亲和的蛋白质谱分析鉴定线粒体ATP合酶为钌-多吡啶-咔啉复合物的细胞靶点。

Identification of mitochondrial ATP synthase as the cellular target of Ru-polypyridyl--carboline complexes by affinity-based protein profiling.

作者信息

Wang Wen-Jin, Ling Yu-Yi, Shi Yin, Wu Xiao-Wen, Su Xuxian, Li Zheng-Qiu, Mao Zong-Wan, Tan Cai-Ping

机构信息

MOE Key Laboratory of Bioinorganic and Synthetic Chemistry, School of Chemistry, Sun Yat-Sen University, Guangzhou 510006, China.

Guangdong Basic Research Center of Excellence for Functional Molecular Engineering, Sun Yat-Sen University, Guangzhou 510006, China.

出版信息

Natl Sci Rev. 2024 Jul 5;11(8):nwae234. doi: 10.1093/nsr/nwae234. eCollection 2024 Aug.

Abstract

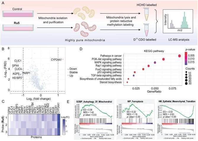
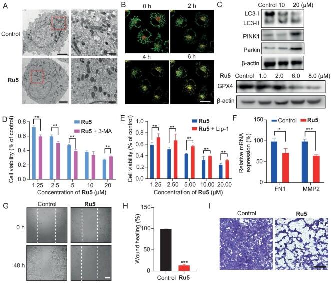
Ruthenium polypyridyl complexes are promising anticancer candidates, while their cellular targets have rarely been identified, which limits their clinical application. Herein, we design a series of Ru(II) polypyridyl complexes containing bioactive β-carboline derivatives as ligands for anticancer evaluation, among which shows suitable lipophilicity, high aqueous solubility, relatively high anticancer activity and cancer cell selectivity. The subsequent utilization of a photo-clickable probe, , serves to validate the significance of ATP synthase as a crucial target for through photoaffinity-based protein profiling. accumulates in mitochondria, impairs mitochondrial functions and induces mitophagy and ferroptosis. Combined analysis of mitochondrial proteomics and RNA-sequencing shows that significantly downregulates the expression of the chloride channel protein, and influences genes related to ferroptosis and epithelial-to-mesenchymal transition. Finally, we prove that exhibits higher anticancer efficacy than cisplatin . We firstly identify the molecular targets of ruthenium polypyridyl complexes using a photo-click proteomic method coupled with a multiomics approach, which provides an innovative strategy to elucidate the anticancer mechanisms of metallo-anticancer candidates.

摘要

钌多吡啶配合物是很有前景的抗癌候选物,然而其细胞靶点却鲜有被确定,这限制了它们的临床应用。在此,我们设计了一系列含有生物活性β-咔啉衍生物作为配体的钌(II)多吡啶配合物用于抗癌评估,其中 表现出合适的亲脂性、高水溶性、相对较高的抗癌活性和癌细胞选择性。随后利用可光点击探针 ,通过基于光亲和的蛋白质谱分析来验证ATP合酶作为 关键靶点的重要性。 在线粒体中积累,损害线粒体功能并诱导线粒体自噬和铁死亡。线粒体蛋白质组学和RNA测序的联合分析表明, 显著下调氯离子通道蛋白的表达,并影响与铁死亡和上皮-间质转化相关的基因。最后,我们证明 比顺铂 具有更高的抗癌疗效。我们首次使用光点击蛋白质组学方法结合多组学方法确定了钌多吡啶配合物的分子靶点,这为阐明金属抗癌候选物的抗癌机制提供了一种创新策略。

https://cdn.ncbi.nlm.nih.gov/pmc/blobs/6955/11304990/7cdceee8d8a7/nwae234sc1.jpg

文献AI研究员

20分钟写一篇综述,助力文献阅读效率提升50倍。

立即体验

用中文搜PubMed

大模型驱动的PubMed中文搜索引擎

马上搜索

文档翻译

学术文献翻译模型,支持多种主流文档格式。

立即体验