Suppr超能文献

一个失去 RBP 结合位点的长链非编码 RNA NORSF 转录本突变影响颗粒细胞凋亡和母猪生育力。

A Mutation Losing an RBP-Binding Site in the LncRNA NORSF Transcript Influences Granulosa Cell Apoptosis and Sow Fertility.

机构信息

College of Animal Science and Technology, Nanjing Agricultural University, Nanjing, 210095, China.

出版信息

Adv Sci (Weinh). 2024 Oct;11(40):e2404747. doi: 10.1002/advs.202404747. Epub 2024 Aug 9.

Abstract

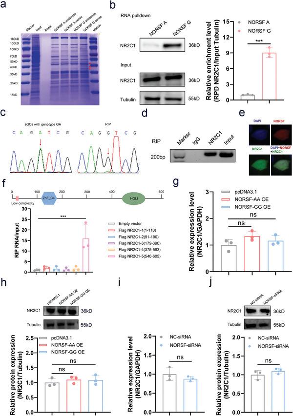
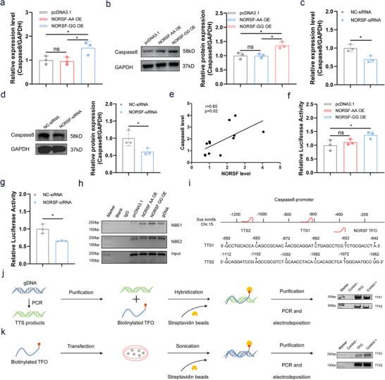
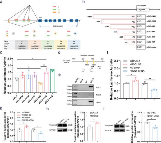
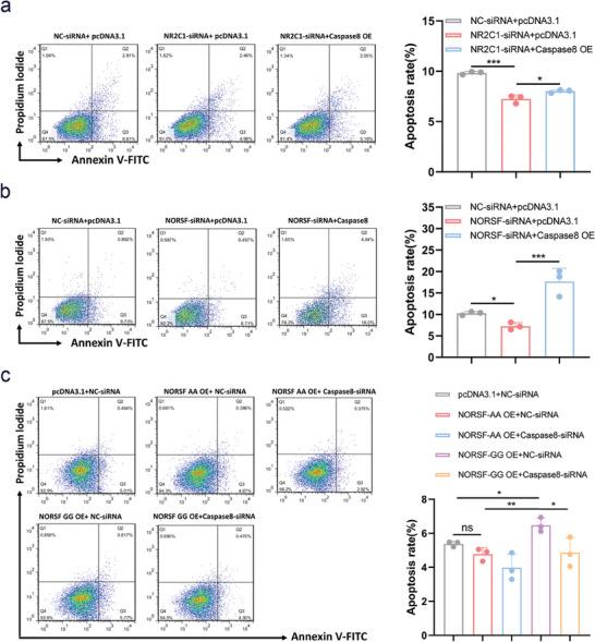
Sow fertility is an economically important quantitative trait. Hundreds of quantitative trait loci (QTLs) containing tens of thousands of potential candidate genes are excavated. However, among these genes, non-coding RNAs including long non-coding RNAs (lncRNAs) are often overlooked. Here, it is reported that NORSF is a novel causal lncRNA for sow fertility traits in QTLs. QTLs are characterized for sow fertility traits at the genome-wide level and identified 4,630 potential candidate lncRNAs, with 13 differentially expressed during sow follicular atresia. NORSF, a lncRNA that involved in sow granulosa cell (sGC) function, is identified as a candidate gene for sow fertility traits as a G to A transversion at 128 nt in its transcript is shown to be markedly associated with sow fertility traits. Mechanistically, after forming the RNA:dsDNA triplexes with the promoter of Caspase8, NORSF transcript with allele G binds to an RNA-binding protein (RBP) NR2C1 and recruits it to the promoter of Caspase8, to induce Caspase8 transcription in sGCs. Functionally, this leads to a loss of inducing effect of NORSF on sGC apoptosis by inactivating the death receptor-mediated apoptotic pathway. This study identified a novel causal lncRNA that can be used for the genetic improvement of sow fertility traits.

摘要

产仔数是一个具有重要经济意义的数量性状。已经挖掘了数百个包含数万种潜在候选基因的数量性状基因座(QTL)。然而,在这些基因中,包括长非编码 RNA(lncRNA)在内的非编码 RNA 经常被忽视。在这里,报道了 NORSF 是 QTL 中猪繁殖性状的一个新的因果 lncRNA。对猪繁殖性状进行全基因组水平的 QTL 特征分析,鉴定出 4630 个潜在的候选 lncRNA,其中 13 个在猪卵泡闭锁过程中差异表达。NORSF 是一种参与猪颗粒细胞(sGC)功能的 lncRNA,被鉴定为猪繁殖性状的候选基因,因为其转录本中的 128 个核苷酸处的 G 到 A 颠换与猪繁殖性状显著相关。从机制上讲,NORSF 转录本与等位基因 G 形成与 Caspase8 启动子的 RNA:dsDNA 三链体后,与 RNA 结合蛋白(RBP)NR2C1 结合,并将其募集到 Caspase8 启动子,从而诱导 sGC 中的 Caspase8 转录。功能上,这导致 NORSF 对 sGC 凋亡的诱导作用丧失,从而使死亡受体介导的凋亡途径失活。这项研究鉴定了一种新的因果 lncRNA,可用于猪繁殖性状的遗传改良。

https://cdn.ncbi.nlm.nih.gov/pmc/blobs/bd14/11516108/fbe67aabc5c0/ADVS-11-2404747-g007.jpg

文献AI研究员

20分钟写一篇综述,助力文献阅读效率提升50倍。

立即体验

用中文搜PubMed

大模型驱动的PubMed中文搜索引擎

马上搜索

文档翻译

学术文献翻译模型,支持多种主流文档格式。

立即体验