Suppr超能文献

SARS-CoV-2 核衣壳蛋白通过诱导 HDAC6 促进自身去乙酰化,从而促进病毒复制。

SARS-CoV-2 nucleocapsid protein promotes self-deacetylation by inducing HDAC6 to facilitate viral replication.

机构信息

Division of Virology, ICMR-National Institute of Cholera and Enteric Diseases, P-33, C.I.T. Road, Scheme-XM, Beliaghata, Kolkata, West Bengal, 700010, India.

出版信息

Virol J. 2024 Aug 12;21(1):186. doi: 10.1186/s12985-024-02460-5.

Abstract

BACKGROUND

The global outbreak of COVID-19 caused by the SARS-CoV-2 has led to millions of deaths. This unanticipated emergency has prompted virologists across the globe to delve deeper into the intricate dynamicity of the host-virus interface with an aim to identify antiviral targets and elucidate host and viral determinants of severe disease.

AIM

The present study was undertaken to analyse the role of histone deacetylase 6 (HDAC6) in regulating SARS-CoV-2 infection.

RESULTS

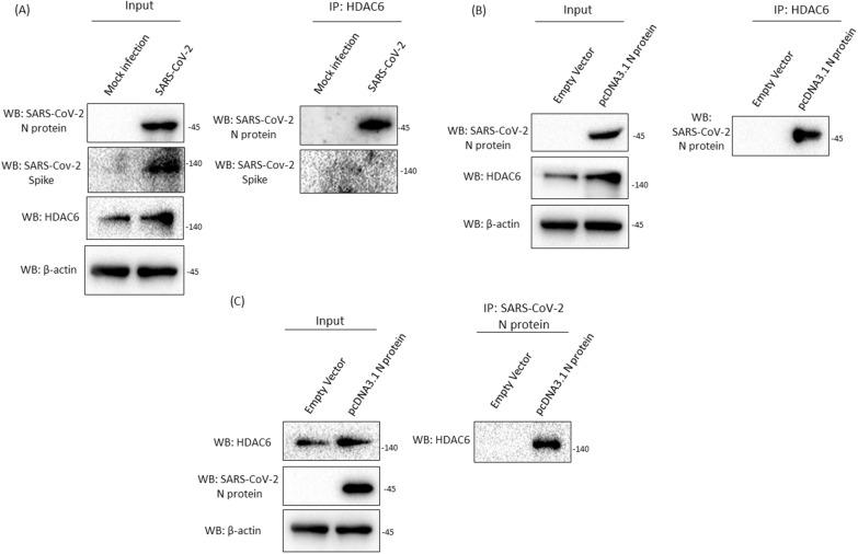
Gradual increase in HDAC6 expression was observed in different SARS-CoV-2-permissive cell lines following SARS-CoV-2 infection. The SARS-CoV-2 nucleocapsid protein (N protein) was identified as the primary viral factor responsible for upregulating HDAC6 expression. Downregulation of HDAC6 using shRNA or a specific inhibitor tubacin resulted in reduced viral replication suggesting proviral role of its deacetylase activity. Further investigations uncovered the interaction of HDAC6 with stress granule protein G3BP1 and N protein during infection. HDAC6-mediated deacetylation of SARS-CoV-2 N protein was found to be crucial for its association with G3BP1.

CONCLUSION

This study provides valuable insights into the molecular mechanisms underlying the disruption of cytoplasmic stress granules during SARS-CoV-2 infection and highlights the significance of HDAC6 in the process.

摘要

背景

由 SARS-CoV-2 引起的 COVID-19 全球大流行导致了数百万人死亡。这场突如其来的紧急情况促使全球病毒学家更深入地研究宿主-病毒界面的复杂动态,以确定抗病毒靶点,并阐明严重疾病的宿主和病毒决定因素。

目的

本研究旨在分析组蛋白去乙酰化酶 6(HDAC6)在调节 SARS-CoV-2 感染中的作用。

结果

在 SARS-CoV-2 感染后,不同的 SARS-CoV-2 允许细胞系中观察到 HDAC6 表达逐渐增加。SARS-CoV-2 核衣壳蛋白(N 蛋白)被确定为上调 HDAC6 表达的主要病毒因子。使用 shRNA 或特异性抑制剂 tubacin 下调 HDAC6 会导致病毒复制减少,表明其去乙酰化酶活性具有促进病毒复制的作用。进一步的研究揭示了在感染过程中 HDAC6 与应激颗粒蛋白 G3BP1 和 N 蛋白的相互作用。发现 HDAC6 介导的 SARS-CoV-2 N 蛋白去乙酰化对于其与 G3BP1 的关联至关重要。

结论

本研究提供了对 SARS-CoV-2 感染过程中细胞质应激颗粒破坏的分子机制的深入了解,并强调了 HDAC6 在该过程中的重要性。

https://cdn.ncbi.nlm.nih.gov/pmc/blobs/9662/11321199/e31d661e3e7d/12985_2024_2460_Fig1_HTML.jpg

文献AI研究员

20分钟写一篇综述,助力文献阅读效率提升50倍。

立即体验

用中文搜PubMed

大模型驱动的PubMed中文搜索引擎

马上搜索

文档翻译

学术文献翻译模型,支持多种主流文档格式。

立即体验