Suppr超能文献

橙皮苷通过抑制 PI3K/AKT/NF-κB 信号通路抑制炎症来减轻骨关节炎的进展。

Eriodictyol attenuates osteoarthritis progression through inhibiting inflammation via the PI3K/AKT/NF-κB signaling pathway.

机构信息

Department of Orthopedics, China-Japan Union Hospital of Jilin University, 126 Xiantai Street, Changchun, 130033, People's Republic of China.

出版信息

Sci Rep. 2024 Aug 14;14(1):18853. doi: 10.1038/s41598-024-69028-9.

Abstract

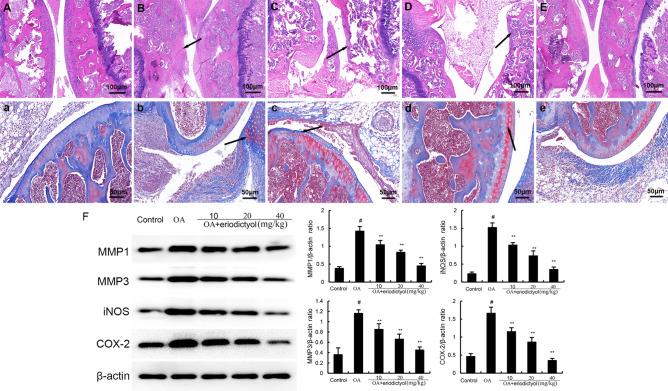
Eriodictyol, a flavonoid distributed in citrus fruits, has been known to exhibit anti-inflammatory activity. In this study, destabilized medial meniscus (DMM)-induced OA model was used to investigate the protective role of eriodictyol on OA. Meanwhile, we used an IL-1β-stimulated human osteoarthritis chondrocytes model to investigate the anti-inflammatory mechanism of eriodictyol on OA. The production of nitric oxide was detected by Griess reaction. The productions of MMP1, MMP3, and PGE2 were detected by ELISA. The expression of LXRα, ABCA1, PI3K, AKT, and NF-κB were measured by western blot analysis. The results demonstrated that eriodictyol could alleviate DMM-induced OA in mice. In vitro, eriodictyol inhibited IL-1β-induced NO, PGE2, MMP1, and MMP3 production in human osteoarthritis chondrocytes. Eriodictyol also suppressed the phosphorylation of PI3K, AKT, NF-κB p65, and IκBα induced by IL-1β. Meanwhile, eriodictyol significantly increased the expression of LXRα and ABCA1. Furthermore, eriodictyol disrupted lipid rafts formation through reducing the cholesterol content. And cholesterol replenishment experiment showed that adding water-soluble cholesterol could reverse the anti-inflammatory effect of eriodictyol. In conclusion, the results indicated eriodictyol inhibited IL-1β-induced inflammation in human osteoarthritis chondrocytes through suppressing lipid rafts formation, which subsequently inhibiting PI3K/AKT/NF-κB signaling pathway.

摘要

桔皮素是一种分布在柑橘类水果中的类黄酮,具有抗炎活性。在这项研究中,使用不稳定的半月板(DMM)诱导的 OA 模型来研究桔皮素对 OA 的保护作用。同时,我们使用 IL-1β 刺激的人骨关节炎软骨细胞模型来研究桔皮素对 OA 的抗炎机制。通过格里斯反应检测一氧化氮的产生。通过 ELISA 检测 MMP1、MMP3 和 PGE2 的产生。通过 Western blot 分析测量 LXRα、ABCA1、PI3K、AKT 和 NF-κB 的表达。结果表明,桔皮素可以减轻 DMM 诱导的小鼠 OA。在体外,桔皮素抑制了 IL-1β 诱导的人骨关节炎软骨细胞中 NO、PGE2、MMP1 和 MMP3 的产生。桔皮素还抑制了 IL-1β 诱导的 PI3K、AKT、NF-κB p65 和 IκBα 的磷酸化。同时,桔皮素显著增加了 LXRα 和 ABCA1 的表达。此外,桔皮素通过减少胆固醇含量破坏脂筏形成。胆固醇补充实验表明,添加水溶性胆固醇可以逆转桔皮素的抗炎作用。总之,这些结果表明,桔皮素通过抑制脂筏形成,进而抑制 PI3K/AKT/NF-κB 信号通路,抑制 IL-1β 诱导的人骨关节炎软骨细胞炎症。

https://cdn.ncbi.nlm.nih.gov/pmc/blobs/e7ec/11324885/6a32b4aa3fcc/41598_2024_69028_Fig1_HTML.jpg

文献AI研究员

20分钟写一篇综述,助力文献阅读效率提升50倍。

立即体验

用中文搜PubMed

大模型驱动的PubMed中文搜索引擎

马上搜索

文档翻译

学术文献翻译模型,支持多种主流文档格式。

立即体验