Suppr超能文献

左侧尺神经远端复发性神经鞘瘤

A Recurrent Schwannoma in the Left Distal Ulnar Nerve.

作者信息

Morrey Logan M, Patel Sumit, Lichterman Mayron

机构信息

Medicine, Western Michigan University Homer Stryker M.D. School of Medicine, Kalamazoo, USA.

Orthopedic Surgery, Western Michigan University Homer Stryker M.D. School of Medicine, Kalamazoo, USA.

出版信息

Cureus. 2024 Jul 14;16(7):e64535. doi: 10.7759/cureus.64535. eCollection 2024 Jul.

Abstract

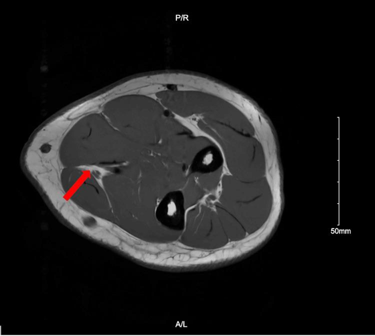
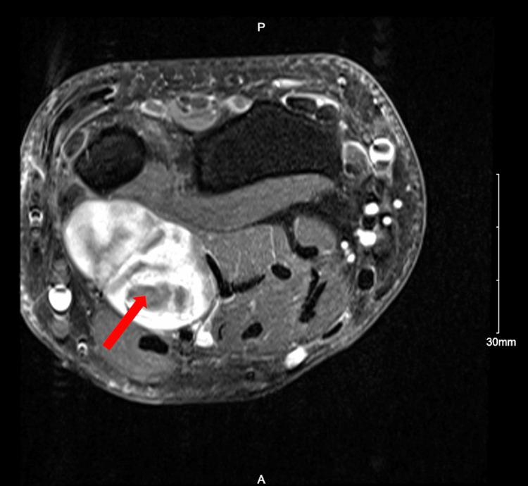
While peripheral nerve schwannomas have a relatively low incidence, schwannomatosis, the condition in which one forms multiple recurring schwannomas, is an even rarer phenomenon and can be hard to detect given its ability to mimic other conditions. We report a case of a 35-year-old male who presented with a mass in his left wrist and forearm, volar pain in his forearm, and numbness in his fingers. Magnetic resonance imaging (MRI) revealed a bilobed heterogeneous neural sheath tumor in the distal left ulnar nerve. The tumor was resected including extensive internal neurolysis using a Zeiss operative microscope. Post-operative biopsy confirmed an encapsulated schwannoma. The patient did well initially but developed worsening pain in his forearm and weakness. He had persistent paresthesias in the ulnar nerve distribution. He underwent a repeat MRI almost one year later, which showed thickening of the ulnar nerve proximal to the area of resection with an 8.5 mm hyperintense nodule. The patient underwent a subsequent resection with extensive neurolysis, which confirmed that the mass was a benign non-invasive schwannoma. At six weeks post-surgery, the patient's forearm pain was significantly improved and his range of motion returned to baseline. Our case demonstrates the importance of post-operative follow-up in schwannomas with appropriate imaging if symptoms persist or recur.

摘要

虽然周围神经鞘瘤的发病率相对较低,但神经鞘瘤病(即形成多个复发性神经鞘瘤的病症)是一种更为罕见的现象,并且鉴于其能够模仿其他病症,可能难以检测。我们报告一例35岁男性病例,该患者表现为左手腕和前臂有肿块、前臂掌侧疼痛以及手指麻木。磁共振成像(MRI)显示左尺神经远端有一个分叶状的异质性神经鞘瘤。使用蔡司手术显微镜切除肿瘤,包括广泛的内部神经松解术。术后活检证实为包膜性神经鞘瘤。患者最初情况良好,但前臂疼痛加重且出现无力。他在尺神经分布区域持续存在感觉异常。近一年后他接受了重复MRI检查,结果显示切除区域近端的尺神经增粗,有一个8.5毫米的高信号结节。患者随后接受了再次切除及广泛的神经松解术,证实该肿块为良性非侵袭性神经鞘瘤。术后六周时,患者的前臂疼痛明显改善,活动范围恢复到基线水平。我们的病例表明,对于神经鞘瘤,如果症状持续或复发,进行适当影像学检查的术后随访非常重要。

https://cdn.ncbi.nlm.nih.gov/pmc/blobs/cf9f/11322103/cd8b79e7f3fe/cureus-0016-00000064535-i01.jpg

文献AI研究员

20分钟写一篇综述,助力文献阅读效率提升50倍。

立即体验

用中文搜PubMed

大模型驱动的PubMed中文搜索引擎

马上搜索

文档翻译

学术文献翻译模型,支持多种主流文档格式。

立即体验