Suppr超能文献

梓醇通过调节 ROS/NF-κB 信号通路抑制 HHcy 诱导的血管内皮细胞向间质细胞转化。

Catalpol inhibits HHcy-induced EndMT in endothelial cells by modulating ROS/NF-κB signaling.

机构信息

Department of Cardiology, Heart Center of Xinxiang Medical University, The First Affiliated Hospital of Xinxiang Medical, University, Xinxiang, China.

College of Chemistry and Chemical Engineering, Henan Normal University, Xinxiang, China.

出版信息

BMC Cardiovasc Disord. 2024 Aug 16;24(1):431. doi: 10.1186/s12872-024-04046-z.

Abstract

BACKGROUND

Hyperhomocysteinemia (HHcy) is an independent risk factor for atherosclerosis (AS). Endothelial mesenchymal transition (EndMT) refers to the process in which endothelial cells lose endothelial cell morphology and characteristic gene expression, and acquire phenotypic characteristics and gene expression related to mesenchymal cells. Numerous studies have confirmed that EndMT is involved in the formation of atherosclerosis. Catalpol is one of the active components of Rehmannia, which has antioxidant, anti-inflammatory, anti-tumor, neuroprotective and other biological activities. Studies have shown that catalpol can reduce atherosclerotic plaque induced by high sugar or fat. However, the effect of catalpol on HHCY-induced EndMT is unclear.

METHODS AND RESULTS

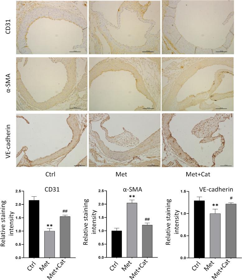
In vitro HHcy-treated primary human umbilical vein endothelial cells (HUVECs) were used to construct a cell model, and the antioxidants N-acetylcysteine (NAC) and catalase alcohol were administered. In vivo C57BL/6N mice were given a diet fed with 4.4% high methionine chow to construct a HHcy mice model and were treated with catalpol. The results showed that hhcy could induce morphological transformation of endothelial cells into mesenchymal cells, increase intracellular ROS content, up-regulate α-SMA, N-cadherin, p-p65 protein expression, down-regulate VE-cadherin, CD31 protein expression, induce pathological changes of aortic root endothelium, and increase aortic endothelial ROS content. Catalpol reversed these hhcy induced outcomes.

CONCLUSIONS

Catalpol inhibits HHcy-induced EndMT, and the underlying mechanism may be related to the ROS/NF-κB signaling pathway. Catalpol may be a potential drug for the treatment of HHcy-related AS.

摘要

背景

高同型半胱氨酸血症(HHcy)是动脉粥样硬化(AS)的独立危险因素。内皮间质转化(EndMT)是指内皮细胞失去内皮细胞形态和特征基因表达,获得与间充质细胞相关的表型特征和基因表达的过程。大量研究证实 EndMT 参与了动脉粥样硬化的形成。梓醇是地黄的一种活性成分,具有抗氧化、抗炎、抗肿瘤、神经保护等多种生物学活性。研究表明,梓醇可以减少高糖或高脂肪诱导的动脉粥样硬化斑块。然而,梓醇对 HHcy 诱导的 EndMT 的影响尚不清楚。

方法和结果

体外使用高同型半胱氨酸处理原代人脐静脉内皮细胞(HUVECs)构建细胞模型,并给予抗氧化剂 N-乙酰半胱氨酸(NAC)和过氧化氢酶醇。体内给予 C57BL/6N 小鼠 4.4%高蛋氨酸饲料喂养构建 HHcy 小鼠模型,并给予梓醇处理。结果表明,hhcy 可诱导内皮细胞形态向间充质细胞转化,增加细胞内 ROS 含量,上调α-SMA、N-钙黏蛋白、p-p65 蛋白表达,下调 VE-钙黏蛋白、CD31 蛋白表达,诱导主动脉根部内皮病理改变,增加主动脉内皮 ROS 含量。梓醇逆转了这些 hhcy 诱导的结果。

结论

梓醇抑制 HHcy 诱导的 EndMT,其潜在机制可能与 ROS/NF-κB 信号通路有关。梓醇可能是治疗 HHcy 相关 AS 的潜在药物。

https://cdn.ncbi.nlm.nih.gov/pmc/blobs/f43a/11328392/31c4da97d71c/12872_2024_4046_Fig1_HTML.jpg

文献AI研究员

20分钟写一篇综述,助力文献阅读效率提升50倍。

立即体验

用中文搜PubMed

大模型驱动的PubMed中文搜索引擎

马上搜索

文档翻译

学术文献翻译模型,支持多种主流文档格式。

立即体验