Suppr超能文献

成人超难治性癫痫持续状态患者的噬血细胞性淋巴组织细胞增生症。

Hemophagocytic lymphohistiocytosis in an adult patient with super-refractory status epilepticus.

机构信息

Department of Neurology, Neurocenter, Helsinki University Hospital, Helsinki, Finland.

Department of Clinical Neurosciences, University of Helsinki, Helsinki, Finland.

出版信息

Epilepsia Open. 2024 Oct;9(5):1962-1967. doi: 10.1002/epi4.13026. Epub 2024 Aug 16.

Abstract

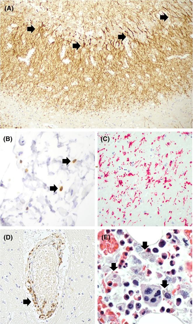
This case report presents a 38-year-old male patient who, after a febrile infection, developed super-refractory status epilepticus and multiorgan failure, and died in 2 weeks despite the best possible intensive care. Autopsy revealed findings suggestive of hemophagocytic lymphohistiocytosis (HLH). This case shows that a rare immunological cause such as HLH may cause febrile infection-related epilepsy syndrome (FIRES), and complications of intensive care can mask the physiological and laboratory changes in HLH. PLAIN LANGUAGE SUMMARY: This case report presents a 38-year-old man who, after a febrile infection, developed intractable epileptic activity requiring intensive care treatment. During the intensive care, the patient showed signs of multiple organ damage and died in 2 weeks despite the best possible treatment. Autopsy revealed findings suggestive of hemophagocytic lymphohistiocytosis (HLH), which is a rare immune system regulation disorder leading to persistent inflammatory state and organ damages. This case shows that an immunological disorder like HLH may underlie treatment resistant fever-related epileptic seizures.

摘要

本病例报告介绍了一位 38 岁男性患者,在发热感染后出现超难治性癫痫持续状态和多器官衰竭,尽管接受了最佳的强化治疗,但在 2 周内死亡。尸检显示符合噬血细胞性淋巴组织细胞增生症(HLH)的表现。本病例表明,罕见的免疫性病因,如 HLH,可能引起发热感染相关性癫痫综合征(FIRES),而强化治疗的并发症可能掩盖 HLH 中的生理和实验室变化。

https://cdn.ncbi.nlm.nih.gov/pmc/blobs/f003/11450690/02e01b52f115/EPI4-9-1962-g001.jpg

文献AI研究员

20分钟写一篇综述,助力文献阅读效率提升50倍。

立即体验

用中文搜PubMed

大模型驱动的PubMed中文搜索引擎

马上搜索

文档翻译

学术文献翻译模型,支持多种主流文档格式。

立即体验