Suppr超能文献

Semaphorin 同二聚体在顺式调节膜靶向和新皮层布线。

Semaphorin heterodimerization in cis regulates membrane targeting and neocortical wiring.

机构信息

Institute of Cell Biology and Neurobiology, Charité-Universitätsmedizin Berlin, corporate member of Freie Universität Berlin, Humboldt-Universität zu Berlin, and Berlin Institute of Health, Charitéplatz 1, 10117, Berlin, Germany.

Department of Pediatrics, Dr. von Hauner Children's Hospital, University Hospital, Ludwig-Maximilians-Universität München, Munich, Germany.

出版信息

Nat Commun. 2024 Aug 16;15(1):7059. doi: 10.1038/s41467-024-51009-1.

Abstract

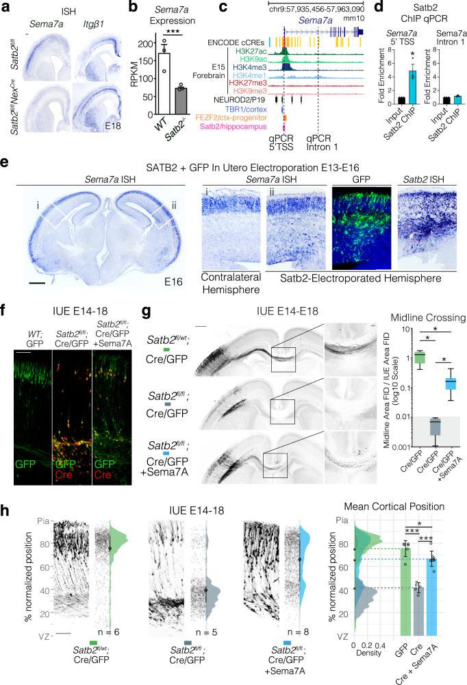
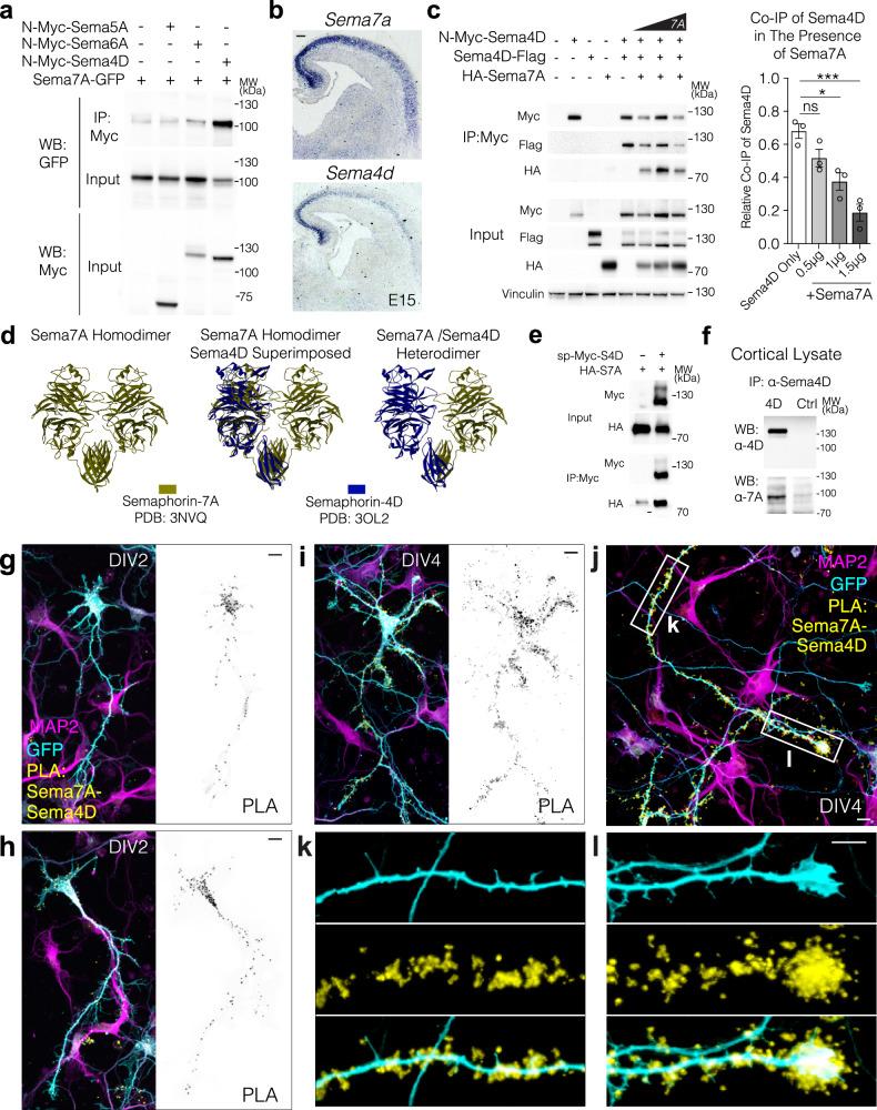
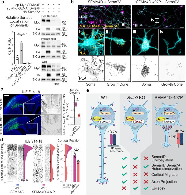
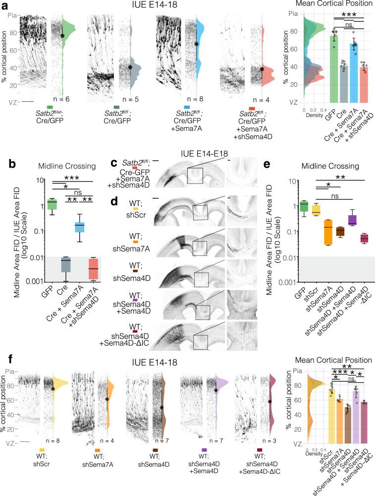
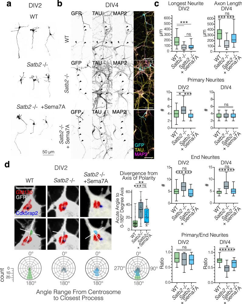
Disruption of neocortical circuitry and architecture in humans causes numerous neurodevelopmental disorders. Neocortical cytoarchitecture is orchestrated by various transcription factors such as Satb2 that control target genes during strict time windows. In humans, mutations of SATB2 cause SATB2 Associated Syndrome (SAS), a multisymptomatic syndrome involving epilepsy, intellectual disability, speech delay, and craniofacial defects. Here we show that Satb2 controls neuronal migration and callosal axonal outgrowth during murine neocortical development by inducing the expression of the GPI-anchored protein, Semaphorin 7A (Sema7A). We find that Sema7A exerts this biological activity by heterodimerizing in cis with the transmembrane semaphorin, Sema4D. We could also observe that heterodimerization with Sema7A promotes targeting of Sema4D to the plasma membrane in vitro. Finally, we report an epilepsy-associated de novo mutation in Sema4D (Q497P) that inhibits normal glycosylation and plasma membrane localization of Sema4D-associated complexes. These results suggest that neuronal use of semaphorins during neocortical development is heteromeric, and a greater signaling complexity exists than was previously thought.

摘要

人类大脑皮质回路和结构的破坏会导致许多神经发育障碍。大脑皮质的细胞结构由各种转录因子(如 Satb2)协调,这些转录因子在严格的时间窗口内控制靶基因。在人类中,SATB2 的突变会导致 SATB2 相关综合征(SAS),这是一种多症状综合征,涉及癫痫、智力障碍、言语延迟和颅面缺陷。在这里,我们发现 Satb2 通过诱导 GPI 锚定蛋白 Semaphorin 7A(Sema7A)的表达,在小鼠大脑皮质发育过程中控制神经元迁移和胼胝体轴突的生长。我们发现 Sema7A 通过与跨膜信号素 Sema4D 顺式二聚化发挥这种生物学活性。我们还观察到,与 Sema7A 的异二聚化促进了 Sema4D 在体外向质膜的靶向。最后,我们报告了 Sema4D 中与癫痫相关的从头突变(Q497P),该突变抑制了 Sema4D 相关复合物的正常糖基化和质膜定位。这些结果表明,大脑皮质发育过程中神经元对半信号素的利用是异源二聚体的,并且存在比以前想象的更复杂的信号转导。

https://cdn.ncbi.nlm.nih.gov/pmc/blobs/7ffb/11329519/6c47d725b00f/41467_2024_51009_Fig1_HTML.jpg

文献AI研究员

20分钟写一篇综述,助力文献阅读效率提升50倍。

立即体验

用中文搜PubMed

大模型驱动的PubMed中文搜索引擎

马上搜索

文档翻译

学术文献翻译模型,支持多种主流文档格式。

立即体验