Suppr超能文献

纳米配方白藜芦醇和游离白藜芦醇对大鼠铜离子螯合剂诱导脱髓鞘的比较神经保护潜力

Comparative Neuroprotective Potential of Nanoformulated and Free Resveratrol Against Cuprizone-Induced Demyelination in Rats.

作者信息

El-Sayed Sara A M, Fouad Ghadha Ibrahim, Rizk Maha Z, Beherei Hanan H, Mabrouk Mostafa

机构信息

Refractories, Ceramics and Building Materials Department, National Research Centre, 33 El Bohouth St., Dokki, PO Box 12622, Cairo, Egypt.

Department of Therapeutic Chemistry, Pharmaceutical and Drug Industries Research Institute, National Research Centre, 33 El Bohouth St., Dokki, PO Box 12622, Cairo, Egypt.

出版信息

Mol Neurobiol. 2025 Mar;62(3):2710-2725. doi: 10.1007/s12035-024-04415-x. Epub 2024 Aug 17.

Abstract

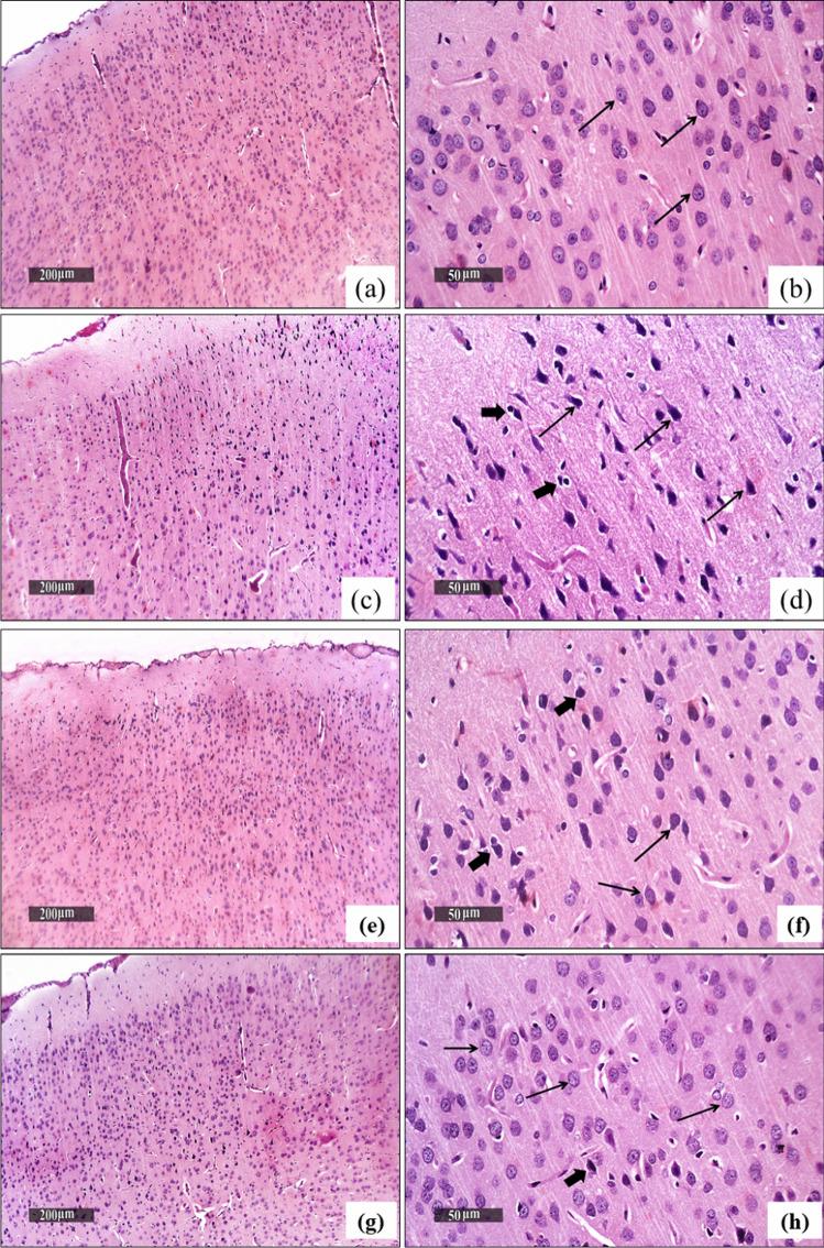
Demyelination is a frequent yet crippling neurological disease associated with multiple sclerosis (MS). The cuprizone (CZ) model, which causes demyelination through oxidative stress and neuroinflammation, is a popular tool used by researchers to examine this process. The polyphenol resveratrol (RESV) has become a promising neuroprotective agent in seeking for efficient therapies. In a rat model given CZ, we created and examined iron oxide nanoparticles (IONPs) loaded with RESV (IONP-RESV) to see how effective they were as a therapeutic agent against free RESV. According to molecular mechanisms, exposure to CZ resulted in a marked downregulation of myelin proteolipid protein (PLP) expression and an overexpression of the inflammatory markers tumor necrosis factor-α (TNF-α) and S100β, which are indicators of demyelination and neuroinflammation. It is remarkable that these CZ-induced alterations could be reversed by therapy with either RESV or IONP-RESV. Interestingly, IONP-RESV showed even stronger anti-inflammatory activity, as shown by a more noticeable downregulation of TNF-α and S100β expression. These results were confirmed by histopathological examination of the cerebral cortices. Our findings support the better neuroprotective benefits of RESV-loaded IONPs over free RESV in reducing demyelination and neuroinflammation brought on by CZ. Owing to their pro-remyelinating, anti-inflammatory, and antioxidant properties, RESV-loaded IONPs show promise as a neurotherapeutic intervention in the future for neurological diseases such as multiple sclerosis.

摘要

脱髓鞘是一种常见但严重的神经系统疾病,与多发性硬化症(MS)相关。通过氧化应激和神经炎症导致脱髓鞘的铜螯合剂(CZ)模型,是研究人员用于研究此过程的常用工具。在寻求有效治疗方法的过程中,多酚白藜芦醇(RESV)已成为一种有前景的神经保护剂。在给予CZ的大鼠模型中,我们制备并检测了负载RESV的氧化铁纳米颗粒(IONP-RESV),以观察它们作为抗游离RESV治疗剂的效果。根据分子机制,暴露于CZ导致髓鞘蛋白脂蛋白(PLP)表达显著下调,以及炎症标志物肿瘤坏死因子-α(TNF-α)和S100β的过表达,这些是脱髓鞘和神经炎症的指标。值得注意的是,用RESV或IONP-RESV治疗可逆转这些由CZ诱导的改变。有趣的是,IONP-RESV表现出更强的抗炎活性,TNF-α和S100β表达的下调更为明显。这些结果通过大脑皮质的组织病理学检查得到证实。我们的研究结果支持负载RESV的IONP在减少CZ引起的脱髓鞘和神经炎症方面比游离RESV具有更好的神经保护作用。由于其促髓鞘再生、抗炎和抗氧化特性,负载RESV的IONP有望在未来成为治疗多发性硬化症等神经系统疾病的神经治疗干预手段。

https://cdn.ncbi.nlm.nih.gov/pmc/blobs/6f98/11790707/cd03058e9d58/12035_2024_4415_Fig1_HTML.jpg

文献AI研究员

20分钟写一篇综述,助力文献阅读效率提升50倍。

立即体验

用中文搜PubMed

大模型驱动的PubMed中文搜索引擎

马上搜索

文档翻译

学术文献翻译模型,支持多种主流文档格式。

立即体验