Suppr超能文献

WIPI2b 通过与 ULK1 的磷酸化作用招募到吞噬体和 ATG16L1 结合。

WIPI2b recruitment to phagophores and ATG16L1 binding are regulated by ULK1 phosphorylation.

机构信息

Molecular Cell Biology of Autophagy, The Francis Crick Institute, 1 Midland Road, London, NW1 1AT, UK.

Muscular Dystrophy UK, London, SE1 8QD, UK.

出版信息

EMBO Rep. 2024 Sep;25(9):3789-3811. doi: 10.1038/s44319-024-00215-5. Epub 2024 Aug 16.

Abstract

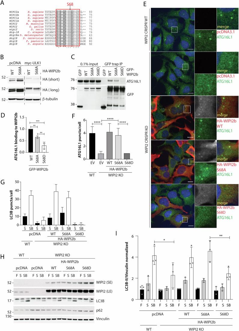
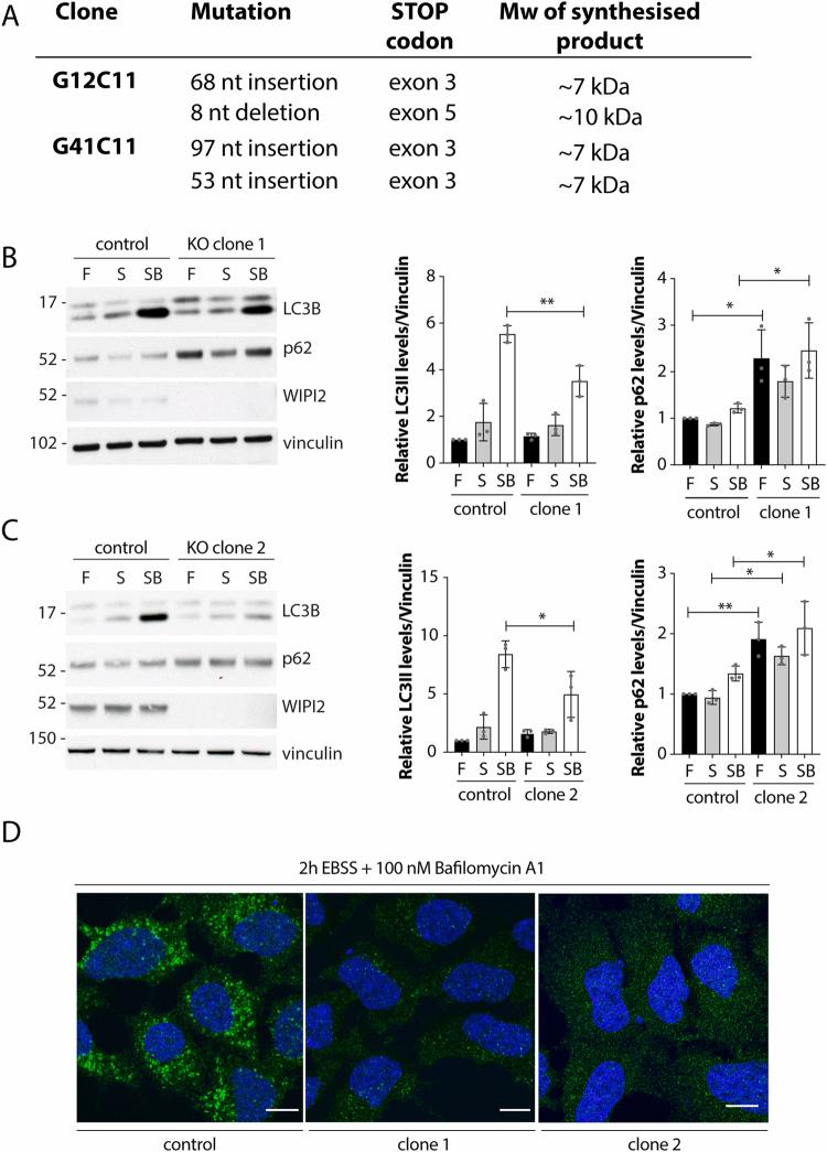
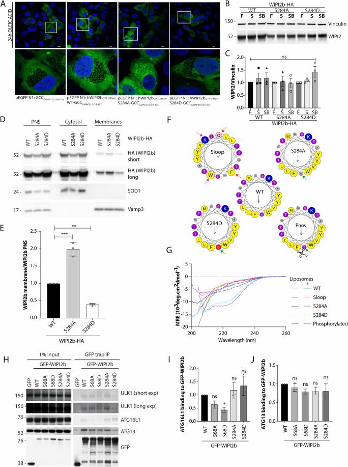
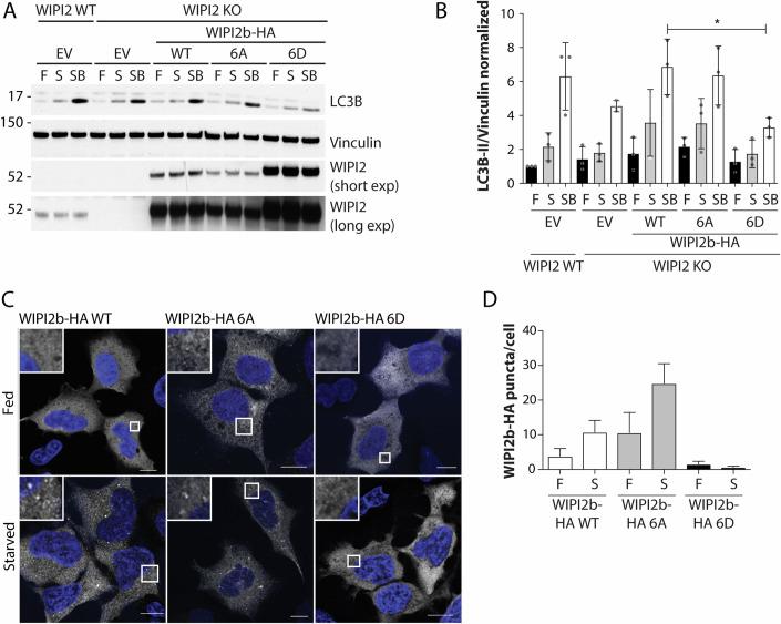
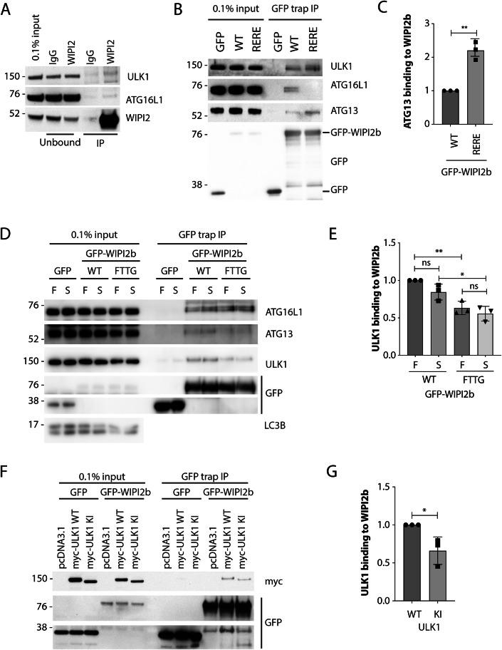
One of the key events in autophagy is the formation of a double-membrane phagophore, and many regulatory mechanisms underpinning this remain under investigation. WIPI2b is among the first proteins to be recruited to the phagophore and is essential for stimulating autophagy flux by recruiting the ATG12-ATG5-ATG16L1 complex, driving LC3 and GABARAP lipidation. Here, we set out to investigate how WIPI2b function is regulated by phosphorylation. We studied two phosphorylation sites on WIPI2b, S68 and S284. Phosphorylation at these sites plays distinct roles, regulating WIPI2b's association with ATG16L1 and the phagophore, respectively. We confirm WIPI2b is a novel ULK1 substrate, validated by the detection of endogenous phosphorylation at S284. Notably, S284 is situated within an 18-amino acid stretch, which, when in contact with liposomes, forms an amphipathic helix. Phosphorylation at S284 disrupts the formation of the amphipathic helix, hindering the association of WIPI2b with membranes and autophagosome formation. Understanding these intricacies in the regulatory mechanisms governing WIPI2b's association with its interacting partners and membranes, holds the potential to shed light on these complex processes, integral to phagophore biogenesis.

摘要

自噬作用的一个关键事件是双层膜吞噬体的形成,许多支撑这一过程的调节机制仍在研究中。WIPI2b 是最早被招募到吞噬体的蛋白质之一,对于通过招募 ATG12-ATG5-ATG16L1 复合物、驱动 LC3 和 GABARAP 脂质化来刺激自噬流至关重要。在这里,我们着手研究磷酸化如何调节 WIPI2b 的功能。我们研究了 WIPI2b 上的两个磷酸化位点,S68 和 S284。这些位点的磷酸化作用不同,分别调节 WIPI2b 与 ATG16L1 和吞噬体的结合。我们证实 WIPI2b 是一种新型 ULK1 底物,通过检测 S284 内源性磷酸化得到验证。值得注意的是,S284 位于一个 18 个氨基酸的延伸片段内,当与脂质体接触时,形成一个两亲性螺旋。S284 的磷酸化破坏了两亲性螺旋的形成,阻碍了 WIPI2b 与膜的结合和自噬体的形成。了解这些调节机制的复杂性,对于控制 WIPI2b 与其相互作用伙伴和膜的结合具有重要意义,这可能揭示这些复杂过程的本质,这些过程对于吞噬体的生物发生至关重要。

https://cdn.ncbi.nlm.nih.gov/pmc/blobs/ac99/11387628/22de1153c149/44319_2024_215_Fig1_HTML.jpg

文献AI研究员

20分钟写一篇综述,助力文献阅读效率提升50倍。

立即体验

用中文搜PubMed

大模型驱动的PubMed中文搜索引擎

马上搜索

文档翻译

学术文献翻译模型,支持多种主流文档格式。

立即体验