Suppr超能文献

RXR 核受体信号转导调节脂代谢,并在突触核蛋白病的神经元模型中触发α-突触核蛋白的溶酶体清除。

RXR nuclear receptor signaling modulates lipid metabolism and triggers lysosomal clearance of alpha-synuclein in neuronal models of synucleinopathy.

机构信息

Ann Romney Center for Neurologic Diseases, Brigham and Women's Hospital and Harvard Medical School, 60 Fenwood Rd, Boston, MA, 02115, USA.

出版信息

Cell Mol Life Sci. 2024 Aug 20;81(1):362. doi: 10.1007/s00018-024-05373-2.

Abstract

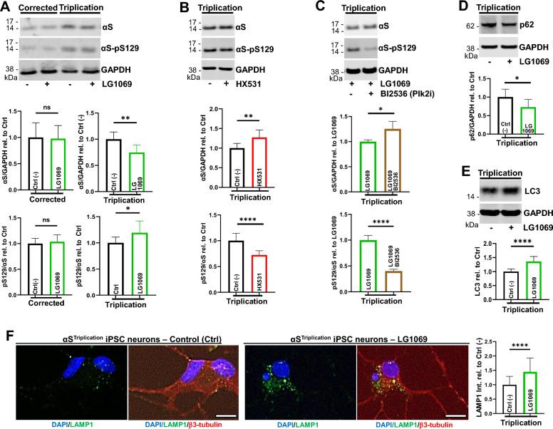
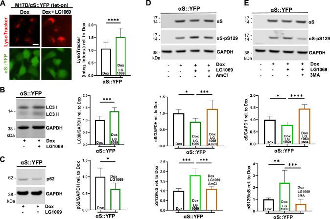
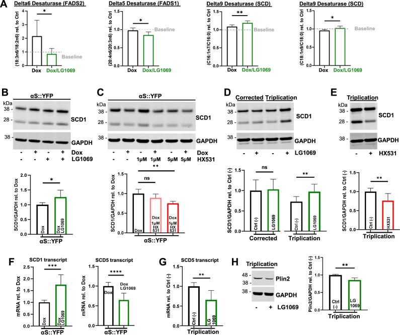
Disease-modifying strategies for Parkinson disease (PD), the most common synucleinopathy, represent a critical unmet medical need. Accumulation of the neuronal protein alpha-synuclein (αS) and abnormal lipid metabolism have each been implicated in PD pathogenesis. Here, we elucidate how retinoid-X-receptor (RXR) nuclear receptor signaling impacts these two aspects of PD pathogenesis. We find that activated RXR differentially regulates fatty acid desaturases, significantly reducing the transcript levels of the largely brain-specific desaturase SCD5 in human cultured neural cells and PD patient-derived neurons. This was associated with reduced perilipin-2 protein levels in patient neurons, reversal of αS-induced increases in lipid droplet (LD) size, and a reduction of triglyceride levels in human cultured cells. With regard to αS proteostasis, our study reveals that RXR agonism stimulates lysosomal clearance of αS. Our data support the involvement of Polo-like kinase 2 activity and αS S129 phosphorylation in mediating this benefit. The lowering of cellular αS levels was associated with reduced cytotoxicity. Compared to RXR activation, the RXR antagonist HX531 had the opposite effects on LD size, SCD, αS turnover, and cytotoxicity, all supporting pathway specificity. Together, our findings show that RXR-activating ligands can modulate fatty acid metabolism and αS turnover to confer benefit in cellular models of PD, including patient neurons. We offer a new paradigm to investigate nuclear receptor ligands as a promising strategy for PD and related synucleinopathies.

摘要

针对帕金森病(PD)这一最常见的突触核蛋白病,目前存在着一种重要的未满足的医疗需求,即开发能够改变疾病进程的治疗策略。神经元蛋白α-突触核蛋白(αS)的积累和异常脂质代谢均被认为与 PD 的发病机制有关。在此,我们阐明了视黄醇 X 受体(RXR)核受体信号如何影响 PD 发病机制的这两个方面。我们发现,激活的 RXR 可差异化调节脂肪酸去饱和酶,从而显著降低人培养神经细胞和 PD 患者来源神经元中主要在大脑中表达的去饱和酶 SCD5 的转录水平。这与患者神经元中 perilipin-2 蛋白水平降低、αS 诱导的脂滴(LD)大小增加得到逆转以及人培养细胞中的甘油三酯水平降低有关。关于 αS 蛋白稳态,我们的研究揭示了 RXR 激动剂可刺激溶酶体清除 αS。我们的数据支持 Polo 样激酶 2 活性和 αS S129 磷酸化在介导这一益处中的作用。细胞内 αS 水平的降低与细胞毒性降低有关。与 RXR 激活相比,RXR 拮抗剂 HX531 对 LD 大小、SCD、αS 周转率和细胞毒性具有相反的影响,这一切均支持途径的特异性。总之,我们的研究结果表明,RXR 激活配体可以调节脂肪酸代谢和 αS 周转率,从而为包括患者神经元在内的 PD 细胞模型带来益处。我们提供了一个新的范例,以研究核受体配体作为 PD 和相关突触核蛋白病的一种有前途的治疗策略。

https://cdn.ncbi.nlm.nih.gov/pmc/blobs/9f16/11336128/25b5541e5dac/18_2024_5373_Fig1_HTML.jpg

文献AI研究员

20分钟写一篇综述,助力文献阅读效率提升50倍。

立即体验

用中文搜PubMed

大模型驱动的PubMed中文搜索引擎

马上搜索

文档翻译

学术文献翻译模型,支持多种主流文档格式。

立即体验