Suppr超能文献

rhoptry 蛋白 16 对肺腺癌细胞的抗癌机制。

The anticancer mechanisms of rhoptry protein 16 on lung adenocarcinoma cells.

机构信息

Medical Laboratory Center, General Hospital of Ningxia Medical University, Yinchuan, China.

Ningxia Key Laboratory of Clinical Pathogenic Microorganisms, General Hospital of Ningxia Medical University, Yinchuan, China.

出版信息

Cancer Biol Ther. 2024 Dec 31;25(1):2392902. doi: 10.1080/15384047.2024.2392902. Epub 2024 Aug 22.

Abstract

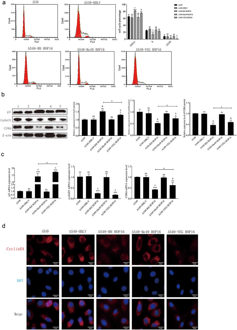
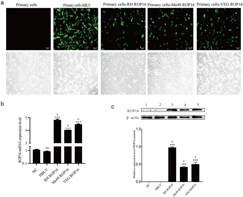
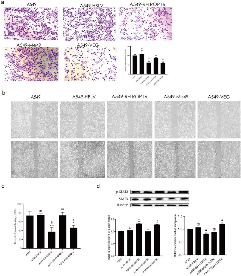
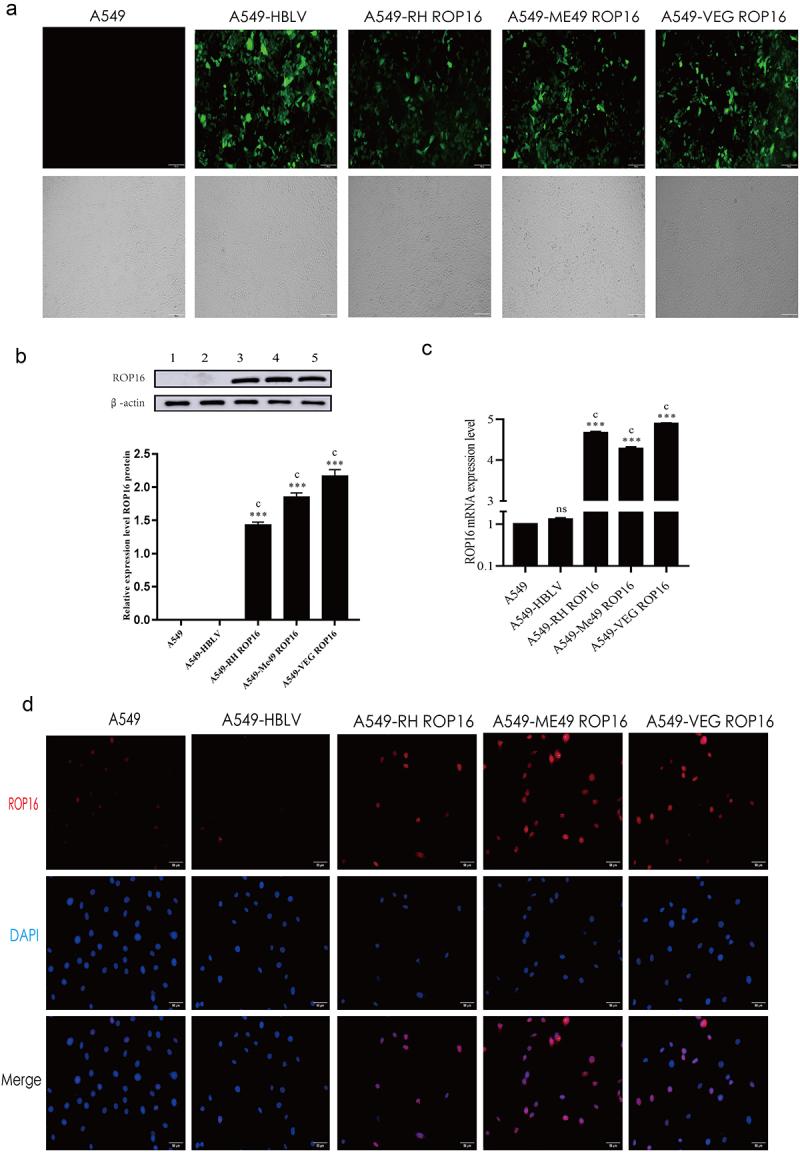
Lung adenocarcinoma is the most prevalent subtype of lung cancer, which is the leading cause of cancer-related mortality worldwide. () Rhoptry protein 16 (ROP16) has been shown to quickly enter the nucleus, and through activate host cell signaling pathways by phosphorylation STAT3 and may affect the survival of tumor cells. This study constructed recombinant lentiviral expression vector of ROP16 I/II/III and stably transfected them into A549 cells, and the effects of ROP16 on cell proliferation, cell cycle, apoptosis, invasion, and migration of A549 cells were explored by utilizing CCK-8, flow cytometry, qPCR, Western blotting, TUNEL, Transwell assay, and cell scratch assay, and these effects were confirmed in the primary human lung adenocarcinoma cells from postoperative cancer tissues of patients. The type I and III ROP16 activate STAT3 and inhibited A549 cell proliferation, regulated the expression of p21, CDK6, CyclinD1, and induced cell cycle arrest at the G1 phase. ROP16 also regulated the Bax, Bcl-2, p53, cleaved-Caspase3, and Caspase9, inducing cell apoptosis, and reduced the invasion and migration of A549 cells, while type II ROP16 protein had no such effect. Furthermore, in the regulation of ROP16 on primary lung adenocarcinoma cells, type I and III ROP16 showed the same anticancer potential. These findings confirmed the anti-lung adenocarcinoma effect of type I and III ROP16, offering fresh perspectives on the possible application of ROP16 as a target with adjuvant therapy for lung adenocarcinoma and propelling the field of precision therapy research toward parasite treatment of tumors.

摘要

肺腺癌是最常见的肺癌亚型,也是全球癌症相关死亡的主要原因。() 裂殖体蛋白 16(ROP16)已被证明能迅速进入细胞核,并通过磷酸化 STAT3 激活宿主细胞信号通路,可能影响肿瘤细胞的存活。本研究构建了 ROP16 I/II/III 的重组慢病毒表达载体,并将其稳定转染至 A549 细胞中,通过 CCK-8、流式细胞术、qPCR、Western blot、TUNEL、Transwell 实验和细胞划痕实验探讨了 ROP16 对 A549 细胞增殖、细胞周期、凋亡、侵袭和迁移的影响,并在术后癌症组织的原发性人肺腺癌细胞中验证了这些作用。I 型和 III 型 ROP16 可激活 STAT3,抑制 A549 细胞增殖,调节 p21、CDK6、CyclinD1 的表达,诱导细胞周期停滞在 G1 期。ROP16 还调节 Bax、Bcl-2、p53、cleaved-Caspase3 和 Caspase9,诱导细胞凋亡,降低 A549 细胞的侵袭和迁移能力,而 II 型 ROP16 蛋白则没有这种作用。此外,在 ROP16 对原发性肺腺癌细胞的调控中,I 型和 III 型 ROP16 表现出相同的抗癌潜力。这些发现证实了 I 型和 III 型 ROP16 的抗肺腺癌作用,为 ROP16 作为辅助治疗肺腺癌的靶点的可能应用提供了新的视角,并推动了寄生虫治疗肿瘤的精准治疗研究领域的发展。

https://cdn.ncbi.nlm.nih.gov/pmc/blobs/036e/11346528/09c3965ffa0f/KCBT_A_2392902_F0001_OC.jpg

文献AI研究员

20分钟写一篇综述,助力文献阅读效率提升50倍。

立即体验

用中文搜PubMed

大模型驱动的PubMed中文搜索引擎

马上搜索

文档翻译

学术文献翻译模型,支持多种主流文档格式。

立即体验