Suppr超能文献

揭示紫杉叶素钌-对异丙基苯配合物在乳腺癌中的化疗潜力:对体外和体内芳烃受体信号通路的见解。

Unraveling the chemotherapeutic potential of taxifolin ruthenium-p-cymene complex in breast carcinoma: Insights into AhR signaling pathway in vitro and in vivo.

作者信息

Das Abhijit, Bhattacharya Barshana, Gayen Sakuntala, Roy Souvik

机构信息

Department of Pharmacy, NSHM Knowledge Campus- Kolkata, 124 BL. Saha Road, Kolkata, West Bengal 700053, India.

Department of Pharmacy, NSHM Knowledge Campus- Kolkata, 124 BL. Saha Road, Kolkata, West Bengal 700053, India.

出版信息

Transl Oncol. 2024 Nov;49:102107. doi: 10.1016/j.tranon.2024.102107. Epub 2024 Aug 23.

Abstract

BACKGROUND

Mammary carcinoma is the most frequently diagnosed form of carcinoma in women worldwide. The organometallic compounds showed a prospective anticancer activity. This research explored the anticancer efficacy of taxifolin ruthenium-p-cymene counter to breast cancer.

METHODS

The anticancer efficacy of the novel organometallic compound was investigated via various in vitro and in vivo techniques using breast cancer cell lines and breast cancer model of rat.

RESULTS

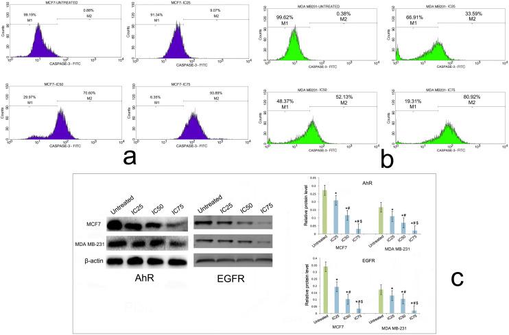
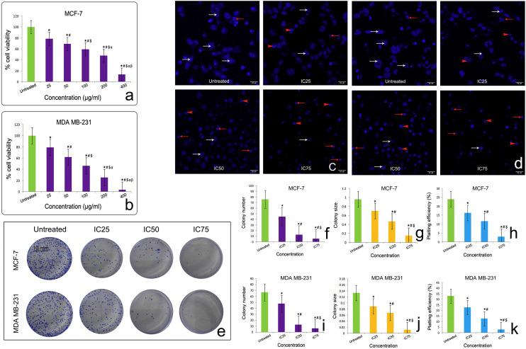
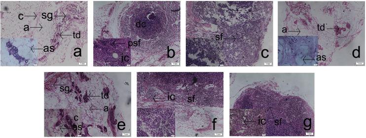
Target proteins were identified via pharmacophore analysis, which revealed a high binding affinity towards AhR, EGFR, and β-catenin. The compound induced apoptotic events and prevented cancer cell colony formation. Furthermore, decreased expression of AhR, EGFR, and N-cadherin inhibited cancer cell growth, migration, and proliferation. The compound provoked the cell cycle arrest at sub G0/G1 phase, S phase and G2/M phase and inaugurated the caspase-3 dependent apoptotic events. The in-vivo experimentation displayed the fruitful restoration of breast tissue since the complex treatment in DMBA persuaded breast carcinoma in rat. Moreover, the upstream of p53 and caspase-3 expression along with substantially downstream of vimentin, β-catenin, m-TOR and Akt expression.

CONCLUSIONS

In conclusion, the compound repressed the cancerous cellular viability, migration, and EMT via modulating the AhR/EGFR/ PI3K transduction pathway and the expression of EMT biomarkers such as N-cadherin, E-cadherin, thus eventually revoked the EMT facilitated metastasis of malignant cells.

摘要

背景

乳腺癌是全球女性中最常被诊断出的癌症形式。有机金属化合物显示出潜在的抗癌活性。本研究探讨了紫杉叶素钌 - 对异丙基苯对抗乳腺癌的抗癌疗效。

方法

使用乳腺癌细胞系和大鼠乳腺癌模型,通过各种体外和体内技术研究了这种新型有机金属化合物的抗癌疗效。

结果

通过药效团分析鉴定了靶蛋白,结果显示其对芳烃受体(AhR)、表皮生长因子受体(EGFR)和β - 连环蛋白具有高结合亲和力。该化合物诱导凋亡事件并阻止癌细胞集落形成。此外,AhR、EGFR和N - 钙黏蛋白表达的降低抑制了癌细胞的生长、迁移和增殖。该化合物促使细胞周期停滞在亚G0/G1期、S期和G2/M期,并引发了半胱天冬酶 - 3依赖性凋亡事件。体内实验表明,由于二甲基苯并蒽诱导大鼠患乳腺癌后进行该复合物治疗,乳腺组织得到了有效的恢复。此外还观察到p53和半胱天冬酶 - 3表达的上调以及波形蛋白、β - 连环蛋白、哺乳动物雷帕霉素靶蛋白(m - TOR)和蛋白激酶B(Akt)表达的显著下调。

结论

总之,该化合物通过调节AhR/EGFR/PI⁃3K转导通路以及N - 钙黏蛋白、E - 钙黏蛋白等上皮 - 间质转化(EMT)生物标志物的表达,抑制癌细胞的活力、迁移和EMT,从而最终抑制了EMT促进的恶性细胞转移。

https://cdn.ncbi.nlm.nih.gov/pmc/blobs/83b0/11388270/2d61e35d494f/ga1.jpg

文献AI研究员

20分钟写一篇综述,助力文献阅读效率提升50倍。

立即体验

用中文搜PubMed

大模型驱动的PubMed中文搜索引擎

马上搜索

文档翻译

学术文献翻译模型,支持多种主流文档格式。

立即体验