Suppr超能文献

高强度聚焦超声短时间热消融诱导实体瘤生物学效应的研究

Study of Biological Effects Induced in Solid Tumors by Shortened-Duration Thermal Ablation Using High-Intensity Focused Ultrasound.

作者信息

Kaplińska-Kłosiewicz Patrycja Maria, Fura Łukasz, Kujawska Tamara, Andrzejewski Kryspin, Kaczyńska Katarzyna, Strzemecki Damian, Sulejczak Mikołaj, Chrapusta Stanisław J, Macias Matylda, Sulejczak Dorota

机构信息

Department of Experimental Pharmacology, Mossakowski Medical Research Institute, Polish Academy of Sciences, Pawinskiego 5 St., 02-106 Warsaw, Poland.

Department of Ultrasound, Institute of Fundamental Technological Research, Polish Academy of Sciences, Pawinskiego 5b St., 02-106 Warsaw, Poland.

出版信息

Cancers (Basel). 2024 Aug 14;16(16):2846. doi: 10.3390/cancers16162846.

Abstract

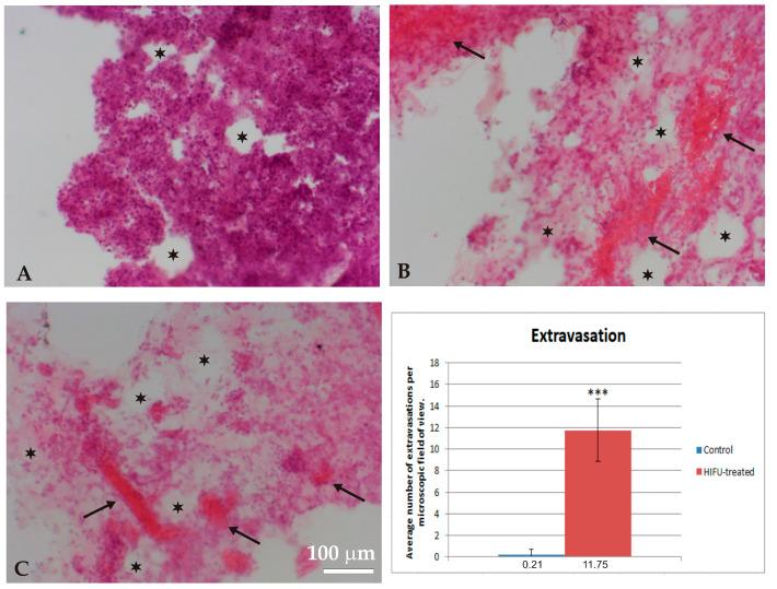
The HIFU ablation technique is limited by the long duration of the procedure, which results from the large difference between the size of the HIFU beam's focus and the tumor size. Ablation of large tumors requires treating them with a sequence of single HIFU beams, with a specific time interval in-between. The aim of this study was to evaluate the biological effects induced in a malignant solid tumor of the rat mammary gland, implanted in adult Wistar rats, during HIFU treatment according to a new ablation plan which allowed researchers to significantly shorten the duration of the procedure. We used a custom, automated, ultrasound imaging-guided HIFU ablation device. Tumors with a 1 mm thickness margin of healthy tissue were subjected to HIFU. Three days later, the animals were sacrificed, and the HIFU-treated tissues were harvested. The biological effects were studied, employing morphological, histological, immunohistochemical, and ultrastructural techniques. Massive cell death, hemorrhages, tissue loss, influx of immune cells, and induction of pro-inflammatory cytokines were observed in the HIFU-treated tumors. No damage to healthy tissues was observed in the area surrounding the safety margin. These results confirmed the efficacy of the proposed shortened duration of the HIFU ablation procedure and its potential for the treatment of solid tumors.

摘要

高强度聚焦超声(HIFU)消融技术受到手术时间长的限制,这是由于HIFU束焦点大小与肿瘤大小之间存在较大差异所致。消融大肿瘤需要用一系列单个HIFU束对其进行治疗,且其间要有特定的时间间隔。本研究的目的是根据一种新的消融方案,评估在成年Wistar大鼠体内植入的大鼠乳腺恶性实体瘤在HIFU治疗期间所诱导的生物学效应,该方案使研究人员能够显著缩短手术时间。我们使用了一种定制的、自动化的、超声成像引导的HIFU消融设备。对具有1毫米健康组织边缘厚度的肿瘤进行HIFU治疗。三天后,处死动物并收集经HIFU治疗的组织。采用形态学、组织学、免疫组织化学和超微结构技术研究生物学效应。在经HIFU治疗的肿瘤中观察到大量细胞死亡、出血、组织损失、免疫细胞浸润以及促炎细胞因子的诱导。在安全边缘周围区域未观察到对健康组织的损伤。这些结果证实了所提出的缩短HIFU消融手术时间方案的有效性及其治疗实体瘤的潜力。

https://cdn.ncbi.nlm.nih.gov/pmc/blobs/d245/11352750/bc326243aad6/cancers-16-02846-g001.jpg

文献AI研究员

20分钟写一篇综述,助力文献阅读效率提升50倍。

立即体验

用中文搜PubMed

大模型驱动的PubMed中文搜索引擎

马上搜索

文档翻译

学术文献翻译模型,支持多种主流文档格式。

立即体验