Suppr超能文献

卡铂+白蛋白紫杉醇+帕博利珠单抗致晚期肺鳞癌患者免疫相关性血管炎 1 例报告

IgA vasculitis induced by carboplatin + nab-paclitaxel + pembrolizumab in a patient with advanced lung squamous cell carcinoma: a case report.

机构信息

Department of Pulmonary Medicine and Oncology, Graduate School of Medicine, Nippon Medical School, Tokyo, Japan.

Department of Dermatology, Graduate School of Medicine, Nippon Medical School, Tokyo, Japan.

出版信息

Front Immunol. 2024 Aug 14;15:1370972. doi: 10.3389/fimmu.2024.1370972. eCollection 2024.

Abstract

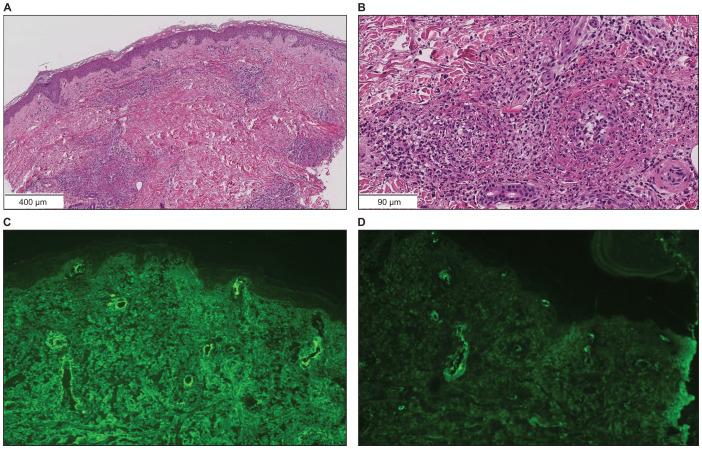
A 73-year-old man with lung squamous cell carcinoma was administered carboplatin + nab-paclitaxel + pembrolizumab for four cycles. Subsequently, he presented with multiple purpuras on his extremities, joint swelling on his fingers, abdominal pain, and diarrhea, accompanied by acute kidney injury (AKI), increased proteinuria, hematuria, and elevated C-reactive protein levels. Skin biopsy showed leukocytoclastic vasculitis as well as IgA and C3 deposition in the vessel walls. Based on these findings, the patient was diagnosed with IgA vasculitis as an immune-related adverse event (irAE) induced by carboplatin + nab-paclitaxel + pembrolizumab. After discontinuation of pembrolizumab and glucocorticoids, the symptoms immediately resolved. Regular monitoring of skin, blood tests, and urinalysis are necessary, and the possibility of irAE IgA vasculitis should be considered in cases of purpura and AKI during treatment with immune checkpoint inhibitors.

摘要

一位 73 岁男性患有肺鳞状细胞癌,接受了卡铂+白蛋白紫杉醇+帕博利珠单抗治疗四个周期。随后,他出现四肢多发性紫癜、手指关节肿胀、腹痛和腹泻,并伴有急性肾损伤(AKI)、蛋白尿增加、血尿和 C 反应蛋白水平升高。皮肤活检显示白细胞碎裂性血管炎以及血管壁中的 IgA 和 C3 沉积。根据这些发现,患者被诊断为免疫相关不良事件(irAE),由卡铂+白蛋白紫杉醇+帕博利珠单抗引起的 IgA 血管炎。停用帕博利珠单抗和糖皮质激素后,症状立即得到缓解。有必要定期监测皮肤、血液检查和尿液分析,在使用免疫检查点抑制剂治疗期间,如果出现紫癜和 AKI,应考虑发生 irAE IgA 血管炎的可能性。

https://cdn.ncbi.nlm.nih.gov/pmc/blobs/c046/11349625/92162b66ad26/fimmu-15-1370972-g001.jpg

文献AI研究员

20分钟写一篇综述,助力文献阅读效率提升50倍。

立即体验

用中文搜PubMed

大模型驱动的PubMed中文搜索引擎

马上搜索

文档翻译

学术文献翻译模型,支持多种主流文档格式。

立即体验