Suppr超能文献

阻断 ACSL6 通过 FLI1 介导的 COLs 下调来抑制自噬从而增敏肺癌放射治疗。

Blocking ACSL6 Compromises Autophagy via FLI1-Mediated Downregulation of COLs to Radiosensitize Lung Cancer.

机构信息

Department of Radiation Medicine, College of Naval Medicine, Naval Medical University, Shanghai, 200433, P. R. China.

Department of Medicine College, Jiangnan University, Wuxi, Jiangsu, 214000, P. R. China.

出版信息

Adv Sci (Weinh). 2024 Oct;11(40):e2403202. doi: 10.1002/advs.202403202. Epub 2024 Aug 29.

Abstract

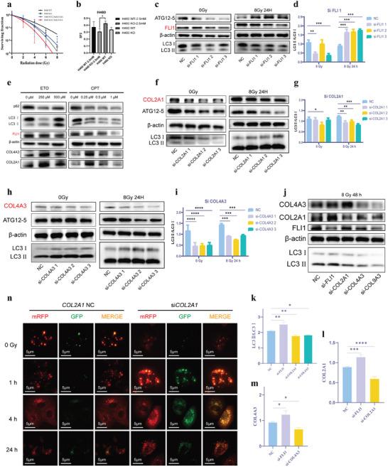
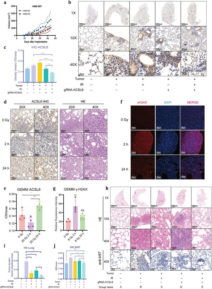
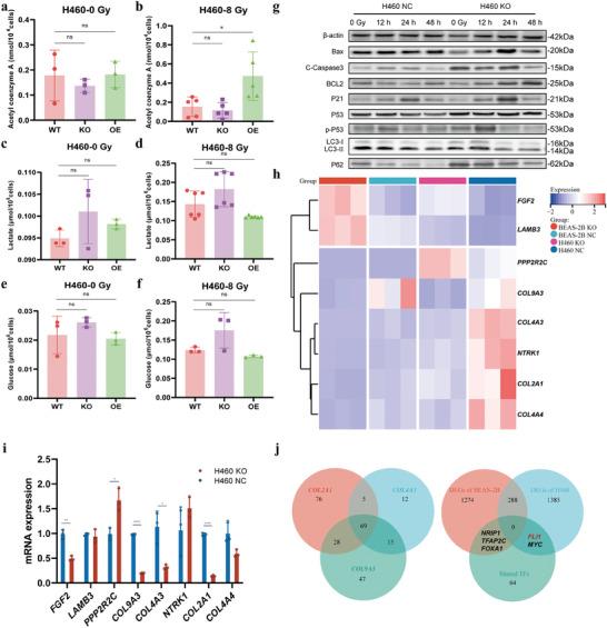
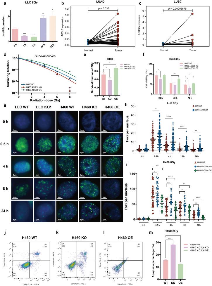
Lung cancer (LC) is the leading cause of cancer-related mortality worldwide. Radiotherapy is the main component of LC treatment; however, its efficacy is often limited by radioresistance development, resulting in unsatisfactory clinical outcomes. Here, we found that LC radiosensitivity is up-regulated by decreased expression of long-chain acyl-CoA synthase 6 (ACSL6) after irradiation. Deletion of ACSL6 results in significant elevation of Friend leukemia integration 1 transcription factor (FLI1) and a marked decline of collagens (COLs). Blocking of ACSL6 impairs the tumor growth and upregulates FLI1, which reduces the levels of COLs and compromises irradiation-induced autophagy, leading to considerable therapeutic benefits during radiotherapy. Moreover, the direct interaction between ACSL6 and FLI1 and engagement between FLI1 and COLs indicates the involvement of the ACSL6-FLI1-COL axis. Finally, the potently adjusted autophagy flux reduces its otherwise contributive capability in surviving irradiation stress and leads to satisfactory radiosensitization for LC radiotherapy. These results demonstrate that enhanced ACSL6 expression promotes the aggressive performance of irradiated LC through increased FLI1-COL-mediated autophagy flux. Thus, the ACSL6-FLI1-Col-autophagy axis may be targeted to enhance the radiosensitivity of LC and improve the management of LC in radiotherapy.

摘要

肺癌(LC)是全球癌症相关死亡的主要原因。放射治疗是 LC 治疗的主要组成部分;然而,其疗效往往受到放射抗性发展的限制,导致临床结果不理想。在这里,我们发现照射后长链酰基辅酶 A 合成酶 6(ACSL6)表达降低可上调 LC 放射敏感性。ACSL6 的缺失导致 Friend 白血病整合 1 转录因子(FLI1)显著升高和胶原蛋白(COLs)明显下降。阻断 ACSL6 会损害肿瘤生长并上调 FLI1,这会降低 COLs 的水平并损害照射诱导的自噬,从而在放射治疗期间带来显著的治疗益处。此外,ACSL6 和 FLI1 之间的直接相互作用以及 FLI1 和 COLs 之间的相互作用表明 ACSL6-FLI1-COL 轴的参与。最后,经过有力调整的自噬通量降低了其在幸存照射应激方面的贡献能力,从而导致 LC 放射治疗的令人满意的放射增敏作用。这些结果表明,增强的 ACSL6 表达通过增加 FLI1-COL 介导的自噬通量促进了照射 LC 的侵袭性表现。因此,ACSL6-FLI1-Col-自噬轴可能成为增强 LC 放射敏感性和改善放射治疗中 LC 管理的靶点。

https://cdn.ncbi.nlm.nih.gov/pmc/blobs/ad8b/11516120/09aefb9f7b7d/ADVS-11-2403202-g007.jpg

文献AI研究员

20分钟写一篇综述,助力文献阅读效率提升50倍。

立即体验

用中文搜PubMed

大模型驱动的PubMed中文搜索引擎

马上搜索

文档翻译

学术文献翻译模型,支持多种主流文档格式。

立即体验