Suppr超能文献

印度牛在高死亡率流行期间的块状皮肤病病毒的病理学、免疫学和分子流行病学分析。

Pathological, immunological and molecular epidemiological analysis of lumpy skin disease virus in Indian cattle during a high-mortality epidemic.

机构信息

ICAR-National Institute of Veterinary Epidemiology and Disease Informatics, Bengaluru, Karnataka, India.

Centre for Animal Disease Research and Diagnosis, ICAR-Indian Veterinary Research Institute, Bareilly, Uttar Pradesh, India.

出版信息

Vet Q. 2024 Dec;44(1):1-22. doi: 10.1080/01652176.2024.2398211. Epub 2024 Sep 5.

Abstract

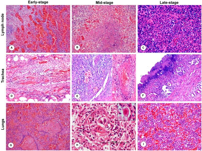
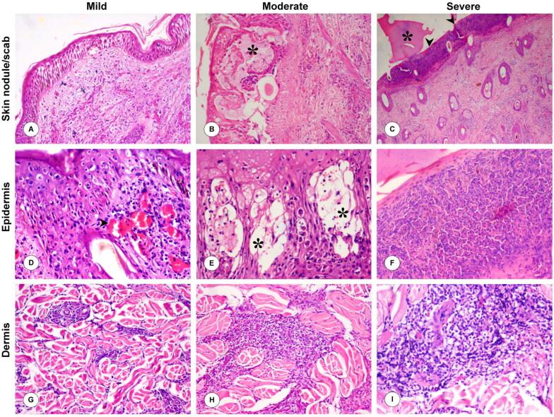
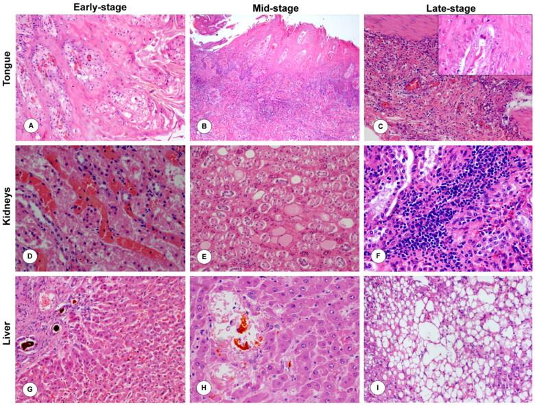
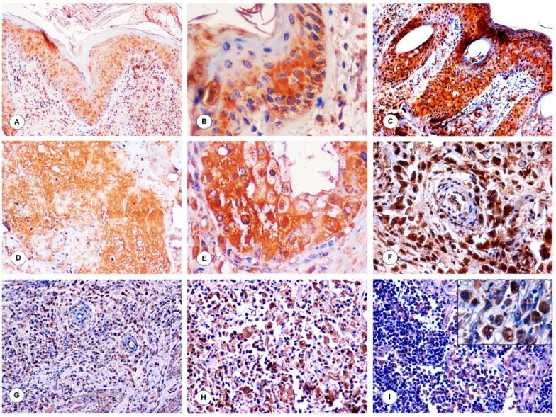
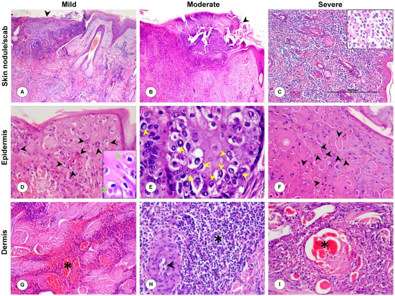
Lumpy skin disease (LSD) is an economically significant, emerging viral disease of Cattle and Buffaloes. This study aimed to investigate the causes of high mortality in a recent LSD epidemic in India. We examined 1618 animals across seventy outbreaks and conducted post-mortem on 48 cattle out of 513 clinically suspected LSD cases. The morbidity, mortality and case fatality rates recorded were 31.70%, 2.97 and 9.37% respectively. Disease stages were categorized as early (20.81%), mid (42.02%), and late (37.17%) and the distribution of skin lesions was classified as mild (34.14%), moderate (39.39%), and severe (26.47%). Post-mortem findings revealed systemic infection with necrotic and ulcerative nodules on multiple internal organs. Histologically, necrotizing vasculitis and mononuclear cell infiltration with intracytoplasmic inclusions were observed in various organs. The highest viral load was found in skin nodules/scabs, trachea, tongue, and lymph nodes. The viral load was significantly higher in mid- and late-stages of skin nodules and internal organs; whereas, blood from early-stage showed high viral load. The expression of Th1-type and Th2-type cytokines varied significantly across different stages of the disease. The downregulation of the apoptotic intrinsic and upregulation of the extrinsic pathway genes, suggesting that the latter plays a role in LSDV infection. Genetic analysis revealed that the LSD virus (LSDV) isolates were derived from a Kenyan ancestral strain with unique nucleotide changes in RPO30 and P32 gene. In conclusion, the high mortality in the recent Indian LSD epidemic can be attributed to a newly identified, highly virulent strain of LSDV causing systemic infection.

摘要

牛结节疹病(Lumpy skin disease,LSD)是一种具有重要经济意义的新兴牛病毒性疾病。本研究旨在调查印度近期 LSD 流行中高死亡率的原因。我们检查了 70 次暴发中的 1618 只动物,并对 513 例疑似 LSD 临床病例中的 48 头牛进行了剖检。记录的发病率、死亡率和病死率分别为 31.70%、2.97%和 9.37%。疾病阶段分为早期(20.81%)、中期(42.02%)和晚期(37.17%),皮肤损伤分布分为轻度(34.14%)、中度(39.39%)和重度(26.47%)。剖检发现多种内脏器官存在坏死和溃疡性结节的全身感染。组织学上,观察到各种器官存在坏死性血管炎和单核细胞浸润,以及细胞质内包涵体。皮肤结节/痂、气管、舌和淋巴结中的病毒载量最高。皮肤结节和内脏器官的中晚期病毒载量显著较高,而早期血液中病毒载量较高。不同疾病阶段的 Th1 型和 Th2 型细胞因子表达差异显著。凋亡内在途径和外在途径基因的下调,提示后者在 LSDV 感染中起作用。遗传分析表明,LSD 病毒(LSDV)分离株源自肯尼亚的一个祖先株,在 RPO30 和 P32 基因中有独特的核苷酸变化。总之,印度近期 LSD 流行中的高死亡率可归因于一种新鉴定的、高致病性的 LSDV 株引起的全身性感染。

https://cdn.ncbi.nlm.nih.gov/pmc/blobs/1dbf/11378666/ae1d8ec6b672/TVEQ_A_2398211_F0001_C.jpg

文献AI研究员

20分钟写一篇综述,助力文献阅读效率提升50倍。

立即体验

用中文搜PubMed

大模型驱动的PubMed中文搜索引擎

马上搜索

文档翻译

学术文献翻译模型,支持多种主流文档格式。

立即体验