Suppr超能文献

柚皮苷通过调节内质网应激-PI3K/AKT-自噬轴减轻对牛子宫内膜的炎性损伤。

Naringin attenuates inflammatory injury to the bovine endometrium by regulating the endoplasmic reticulum stress-PI3K/AKT-autophagy axis.

作者信息

Lu Zihao, Peng Qingyang, Hu Ruiting, Wang Yan, Fan Kewei, Zhang Tao

机构信息

College of Animal Science and Technology, Anhui Agricultural University, Hefei, China.

Longyan University and Fujian Provincial Key Laboratory for Prevention and Control of Animal Infectious Diseases and Biotechnology, Longyan, China.

出版信息

Front Pharmacol. 2024 Aug 21;15:1424511. doi: 10.3389/fphar.2024.1424511. eCollection 2024.

Abstract

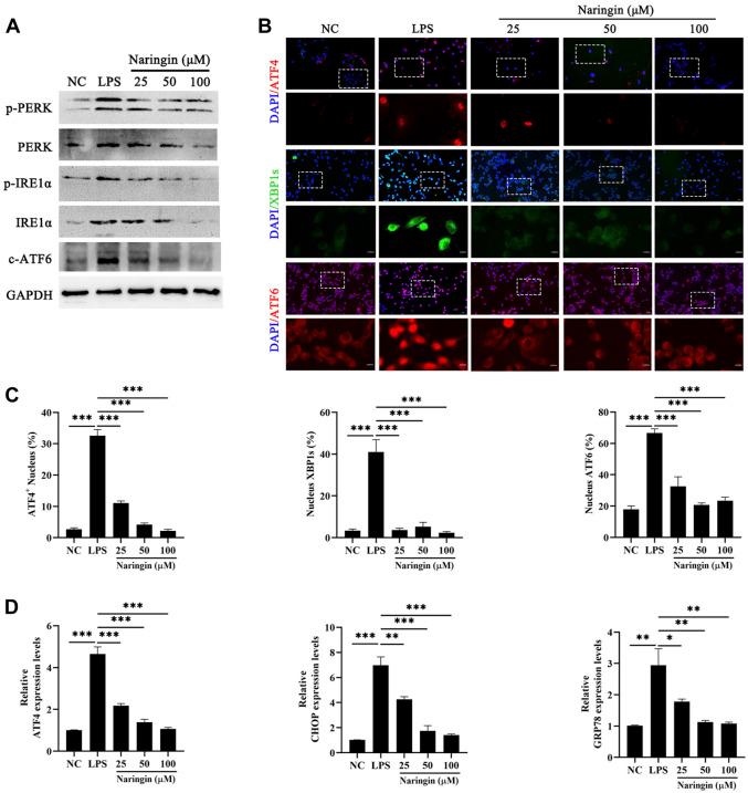
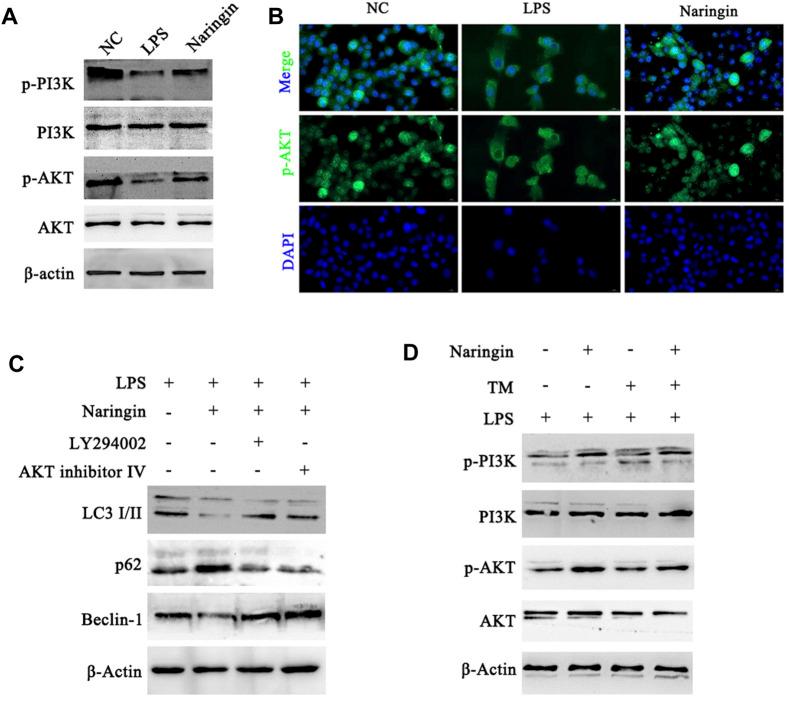
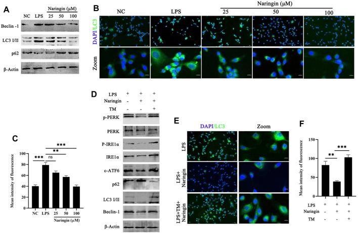
Endometritis seriously affects maternal reproductive health and fertility. Natural compounds have the characteristics of high efficiency and low residue in disease treatment. We aimed to discover and reveal the pharmacological effects of naringin, which is widely present in food and plants, on endometritis. Based on network pharmacology, the potential targets and pathways of naringin's actions on endometritis were predicted. Animal experiments were conducted to examine the inflammatory response of lipopolysaccharides (LPSs) in uterine tissue and the therapeutic effect of naringin. An primary bovine endometrial epithelial cell inflammation and drug treatment model was constructed. The production of reactive oxygen species (ROS) was measured using DCFH-DA, and the effect of naringin on LPS-induced endometritis was evaluated using HE staining, real-time quantitative PCR, Western blot, and immunofluorescence staining methods. Naringin alleviated LPS-induced inflammatory injury and oxidative stress in the endometrium of mice and bovine endometrial epithelial cells (bEECs). Furthermore, studies were carried out to reveal the potential anti-inflammatory mechanisms of naringin based on network pharmacology. We found that naringin significantly inhibited LPS-stimulated endoplasmic reticulum stress (ERS)-related gene and protein expression, thus reducing the unfolded protein response (UPR). Furthermore, treatment of naringin attenuated the autophagic flux induced by ERS. In a further study, we observed that PI3K/AKT pathway inhibitors or ERS inducers partially reverse naringin's inhibition of autophagy and cell apoptosis. It is demonstrated that naringin suppresses autophagy by directly inhibiting the ERS-PI3K/AKT axis and exerting anti-inflammatory and antioxidant effects in endometritis. These findings provide novel insights into the pathogenesis of endometritis, highlighting potential therapeutic targets of traditional herbs and compounds.

摘要

子宫内膜炎严重影响孕产妇的生殖健康和生育能力。天然化合物在疾病治疗中具有高效、低残留的特点。我们旨在发现并揭示食物和植物中广泛存在的柚皮苷对子宫内膜炎的药理作用。基于网络药理学,预测了柚皮苷作用于子宫内膜炎的潜在靶点和途径。进行动物实验以检测子宫组织中脂多糖(LPS)的炎症反应及柚皮苷的治疗效果。构建了原代牛子宫内膜上皮细胞炎症和药物治疗模型。使用DCFH-DA检测活性氧(ROS)的产生,并采用苏木精-伊红(HE)染色、实时定量PCR、蛋白质免疫印迹和免疫荧光染色方法评估柚皮苷对LPS诱导的子宫内膜炎的作用。柚皮苷减轻了LPS诱导的小鼠子宫内膜和牛子宫内膜上皮细胞(bEECs)的炎症损伤和氧化应激。此外,基于网络药理学开展研究以揭示柚皮苷潜在的抗炎机制。我们发现柚皮苷显著抑制LPS刺激的内质网应激(ERS)相关基因和蛋白表达,从而减少未折叠蛋白反应(UPR)。此外,柚皮苷处理减弱了ERS诱导的自噬流。在进一步研究中,我们观察到PI3K/AKT通路抑制剂或ERS诱导剂部分逆转了柚皮苷对自噬和细胞凋亡的抑制作用。结果表明,柚皮苷通过直接抑制ERS-PI3K/AKT轴抑制自噬,并在子宫内膜炎中发挥抗炎和抗氧化作用。这些发现为子宫内膜炎的发病机制提供了新的见解,突出了传统草药和化合物潜在的治疗靶点。

https://cdn.ncbi.nlm.nih.gov/pmc/blobs/3111/11371590/de7f6acb00b0/FPHAR_fphar-2024-1424511_wc_abs.jpg

文献AI研究员

20分钟写一篇综述,助力文献阅读效率提升50倍。

立即体验

用中文搜PubMed

大模型驱动的PubMed中文搜索引擎

马上搜索

文档翻译

学术文献翻译模型,支持多种主流文档格式。

立即体验