Suppr超能文献

基于载阿帕替尼金属有机框架的 pH 响应型药物递释系统用于铁死亡靶向协同抗肿瘤治疗。

A pH-Responsive Drug-Delivery System Based on Apatinib-Loaded Metal-Organic Frameworks for Ferroptosis-Targeted Synergistic Anti-Tumor Therapy.

机构信息

Department of General Surgery (Hepatopancreatobiliary Surgery), The Affiliated Hospital of Southwest Medical University, Luzhou, 646000, People's Republic of China.

Academician (Expert) Workstation of Sichuan Province, Metabolic Hepatobiliary and Pancreatic Diseases Key Laboratory of Luzhou City, The Affiliated Hospital of Southwest Medical University, Luzhou, 646000, People's Republic of China.

出版信息

Int J Nanomedicine. 2024 Sep 4;19:9055-9070. doi: 10.2147/IJN.S477248. eCollection 2024.

Abstract

PURPOSE

The efficacy of systemic therapy for hepatocellular carcinoma (HCC) is limited mainly by the complex tumor defense mechanism and the severe toxic side-effects of drugs. The efficacy of apatinib (Apa), a key liver cancer treatment, is unsatisfactory due to inadequate targeting and is accompanied by notable side-effects. Leveraging nanomaterials to enhance its targeting represents a crucial strategy for improving the effectiveness of liver cancer therapy.

PATIENTS AND METHODS

A metal polyphenol network-coated apatinib-loaded metal-organic framework-based multifunctional drug-delivery system (MIL-100@Apa@MPN) was prepared by using metal-organic frameworks (MOFs) as carriers. The nanoparticles (NPs) were subsequently characterized using techniques such as X-ray diffraction (XRD), transmission electron microscopy (TEM), zeta potential measurements, and particle size analysis. In vitro experiments were conducted to observe the drug release kinetics and cytotoxic effects of MIL-100@Apa@MPN on HepG2 cells. The in vivo anti-tumor efficacy of MIL-100@Apa@MPN was evaluated using the H22 tumor-bearing mouse model.

RESULTS

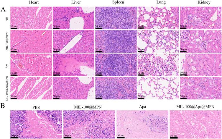
The formulated MIL-100@Apa@MPN demonstrates remarkable thermal stability and possesses a uniform structure, with measured drug-loading (DL) and encapsulation efficiency (EE) rates of 28.33% and 85.01%, respectively. In vitro studies demonstrated that HepG2 cells efficiently uptake coumarin-6-loaded NPs, and a significant increase in cumulative drug release was observed under lower pH conditions (pH 5.0), leading to the release of approximately 73.72% of Apa. In HepG2 cells, MIL-100@Apa@MPN exhibited more significant antiproliferative activity compared to free Apa. In vivo, MIL-100@Apa@MPN significantly inhibited tumor growth, attenuated side-effects, and enhanced therapeutic effects in H22 tumor-bearing mice compared to other groups.

CONCLUSION

We have successfully constructed a MOF delivery system with excellent safety, sustained-release capability, pH-targeting, and improved anti-tumor efficacy, highlighting its potential as a therapeutic approach for the treatment of HCC.

摘要

目的

肝细胞癌(HCC)的系统治疗效果有限,主要是由于肿瘤的复杂防御机制和药物的严重毒性副作用。抗血管生成药物安罗替尼(Apa)是治疗肝癌的关键药物之一,由于靶向性不足,疗效并不理想,且伴有明显的副作用。利用纳米材料增强其靶向性是提高肝癌治疗效果的重要策略。

患者和方法

采用金属有机骨架(MOFs)作为载体,制备了一种载有安罗替尼的金属有机骨架基多功能药物输送系统(MIL-100@Apa@MPN),并对其进行了金属多酚网络包覆。采用 X 射线衍射(XRD)、透射电子显微镜(TEM)、Zeta 电位测量和粒径分析等技术对纳米粒子(NPs)进行了表征。体外实验观察了 MIL-100@Apa@MPN 对 HepG2 细胞的药物释放动力学和细胞毒性作用。采用 H22 荷瘤小鼠模型评价了 MIL-100@Apa@MPN 的体内抗肿瘤疗效。

结果

所制备的 MIL-100@Apa@MPN 具有显著的热稳定性,结构均匀,载药量(DL)和包封率(EE)分别为 28.33%和 85.01%。体外研究表明,HepG2 细胞能够有效摄取负载香豆素-6 的 NPs,在较低 pH 值(pH 5.0)条件下,累积药物释放量显著增加,导致约 73.72%的 Apa 释放。在 HepG2 细胞中,MIL-100@Apa@MPN 与游离 Apa 相比,具有更显著的抗增殖活性。在体内,与其他组相比,MIL-100@Apa@MPN 能显著抑制肿瘤生长,减轻副作用,增强 H22 荷瘤小鼠的治疗效果。

结论

我们成功构建了一种具有优异安全性、缓释能力、pH 靶向性和提高抗肿瘤疗效的 MOF 给药系统,为 HCC 的治疗提供了一种有前途的治疗方法。

https://cdn.ncbi.nlm.nih.gov/pmc/blobs/019e/11380856/f7fba6b2211a/IJN-19-9055-g0001.jpg

文献AI研究员

20分钟写一篇综述,助力文献阅读效率提升50倍。

立即体验

用中文搜PubMed

大模型驱动的PubMed中文搜索引擎

马上搜索

文档翻译

学术文献翻译模型,支持多种主流文档格式。

立即体验