Suppr超能文献

USP10 通过与 GCS1 结合来去除 GRP78 的泛素化,从而促进结直肠癌的进展,通过减轻内质网应激。

Recruitment of USP10 by GCS1 to deubiquitinate GRP78 promotes the progression of colorectal cancer via alleviating endoplasmic reticulum stress.

机构信息

Department of General Surgery, The First Affiliated Hospital of Nanjing Medical University, 300 Guangzhou Road, Nanjing, Jiangsu, 210009, P.R. China.

The First School of Clinical Medicine, Nanjing Medical University, Nanjing, Jiangsu, China.

出版信息

J Exp Clin Cancer Res. 2024 Sep 13;43(1):261. doi: 10.1186/s13046-024-03176-8.

Abstract

BACKGROUND

Long-term accumulation of misfolded proteins leads to endoplasmic reticulum (ER) stress in colorectal cancer (CRC). However, the precise pathways controlling the decision between survival and apoptosis in CRC are unclear. Therefore, in this study, we investigated the function and molecular mechanism of glucosidase I (GCS1) in regulating ER stress in CRC.

METHODS

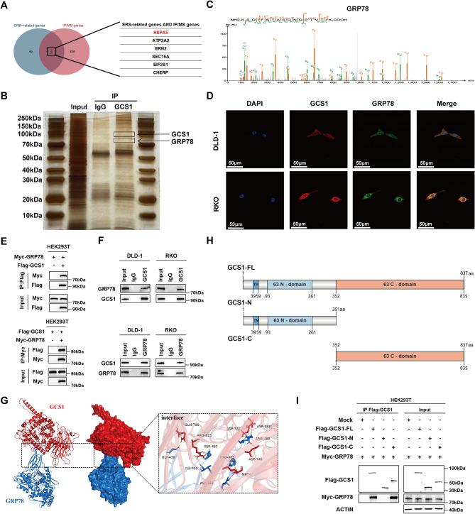
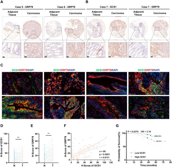
A public database was used to confirm the expression level of GCS1 in CRC and normal tissues. Clinical samples from our center were used to confirm the mRNA and protein expression levels of GCS1. Cell proliferation, migration, invasion, and apoptosis assays revealed the biological role of GCS1. Immunohistochemical techniques were used to evaluate the expression of key proteins in subcutaneous implanted tumors in nude mice, which provided further evidence for the biological function of GCS1 in promoting cancer in vivo. The results of coimmunoprecipitation-mass spectrometry analysis and immunofluorescence colocalization analysis the interaction between GCS1 and GRP78. In addition, the mechanism of action of USP10, GRP78, and GCS1 at the post- translational level was investigated. Finally, a tissue microarray was used to examine the connection between GCS1 and GRP78 expression and intracellular localization of these proteins using immunohistochemistry and immunofluorescence.

RESULTS

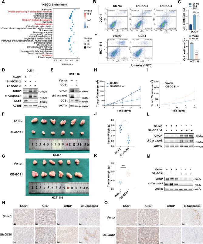
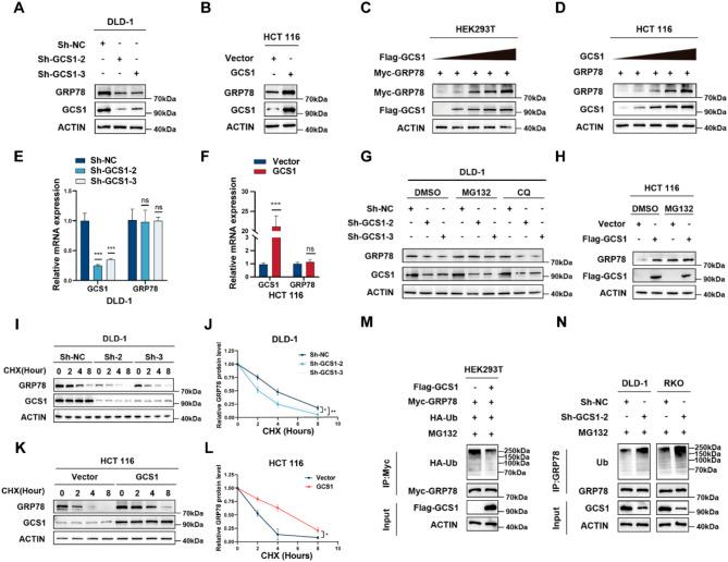
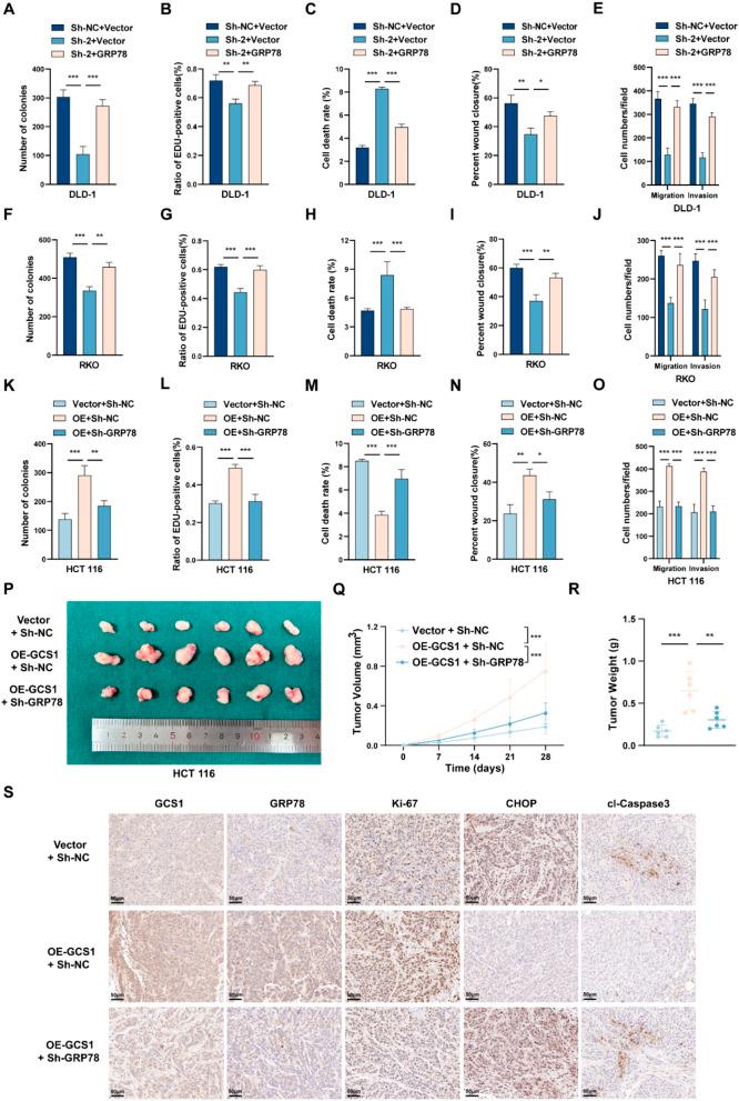
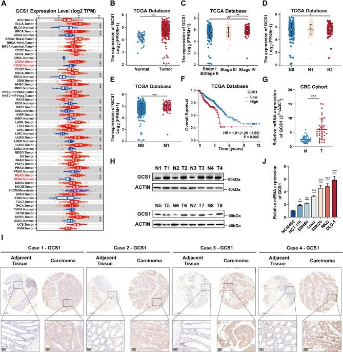
The experimental results revealed that GCS1 was substantially expressed in CRC, with higher expression indicating a worse prognosis. Thus, GCS1 can enhance the proliferation and metastasis while inhibiting the apoptosis of CRC cells both in vivo and in vitro. Mechanistically, GCS1 binds to GRP78, recruits USP10 for deubiquitination of GRP78 to promote its degradation, and decreases ER stress-mediated apoptosis, increasing CRC cell proliferation and metastasis.

CONCLUSIONS

In summary, GCS1 stimulates CRC growth and migration and reduces ER stress-mediated apoptosis via USP10-mediated deubiquitination of GRP78. Our findings identify a possible therapeutic target for CRC.

摘要

背景

在结直肠癌(CRC)中,错误折叠蛋白的长期积累会导致内质网(ER)应激。然而,控制 CRC 中存活与凋亡之间决策的精确途径尚不清楚。因此,在本研究中,我们研究了葡萄糖苷酶 I(GCS1)在调节 CRC 中 ER 应激中的功能和分子机制。

方法

使用公共数据库来确认 GCS1 在 CRC 和正常组织中的表达水平。使用我们中心的临床样本来确认 GCS1 的 mRNA 和蛋白表达水平。细胞增殖、迁移、侵袭和凋亡实验揭示了 GCS1 的生物学作用。免疫组织化学技术用于评估裸鼠皮下植入肿瘤中关键蛋白的表达,为 GCS1 在体内促进癌症的生物学功能提供了进一步证据。免疫共沉淀-质谱分析和免疫荧光共定位分析结果显示了 GCS1 与 GRP78 之间的相互作用。此外,还研究了 USP10、GRP78 和 GCS1 在翻译后水平上的作用机制。最后,使用组织微阵列通过免疫组织化学和免疫荧光检查 GCS1 与 GRP78 表达之间的联系以及这些蛋白质在细胞内的定位。

结果

实验结果表明,GCS1 在 CRC 中大量表达,表达水平越高,预后越差。因此,GCS1 可以增强 CRC 细胞的体内和体外增殖和转移,同时抑制细胞凋亡。在机制上,GCS1 与 GRP78 结合,招募 USP10 对 GRP78 进行去泛素化修饰,促进其降解,减少 ER 应激介导的细胞凋亡,从而增加 CRC 细胞的增殖和转移。

结论

总之,GCS1 通过 USP10 介导的 GRP78 去泛素化作用刺激 CRC 生长和迁移,并减少 ER 应激介导的凋亡。我们的研究结果确定了 CRC 一个潜在的治疗靶点。

https://cdn.ncbi.nlm.nih.gov/pmc/blobs/f532/11396530/d221da13b4bf/13046_2024_3176_Fig1_HTML.jpg

文献AI研究员

20分钟写一篇综述,助力文献阅读效率提升50倍。

立即体验

用中文搜PubMed

大模型驱动的PubMed中文搜索引擎

马上搜索

文档翻译

学术文献翻译模型,支持多种主流文档格式。

立即体验