Suppr超能文献

初产妇胎盘疟疾及其与新生儿出生体重的关系:一项分析性横断面研究。

Placental Malaria and Its Relationship with Neonatal Birth Weight among Primigravidae: An Analytical Cross-sectional Study.

作者信息

Oranuka Kingsley R, Chama Calvin, Adogu Ibrahim O, Okafor Chigozie G, Eleje George U, Ugwu Emmanuel O, Adeleke Olumide P, Obakpororo Palmer H, Nnabuchi Kenneth O, Yusuf Abdulazeez, Ugwu Nnaemeka P, Akabuike Josephat C, Eke Ahizechukwu C

机构信息

Department of Obstetrics and Gynaecology, Abubakar Tafawa Balewa University Teaching Hospital, Bauchi, Nigeria.

Department of Histopathology, Abubakar Tafawa Balewa University Teaching Hospital, Bauchi, Nigeria.

出版信息

Explor Res Hypothesis Med. 2024;9(3):181-191. doi: 10.14218/erhm.2023.00015. Epub 2024 Jun 20.

Abstract

BACKGROUND AND OBJECTIVES

Malaria can be fatal during pregnancy, posing a serious risk to both mothers and fetuses, especially in sub-Saharan Africa. Primigravidae are particularly susceptible to placental malaria in areas with high rates of transmission due to insufficient immunity. This study aimed to determine the prevalence of placental malaria infection, risk factors, types of Plasmodium causing malaria during pregnancy, and its relationship with neonatal birth weight among primigravidae.

METHODS

This was an analytical cross-sectional study involving 357 primigravidae who delivered at Abubakar Tafawa Balewa University Teaching Hospital, Bauchi, Nigeria. Placental blocks were taken from the pericentric area of the maternal surface of the placenta, and the birth weights of the neonates were recorded. The samples were fixed in 10% neutral-buffered formalin, and histopathological analysis was performed. The primary outcome measure was to determine the relationship between placental malaria and neonatal birth weight. Demographics and outcomes were analyzed using standard statistical tests. Multivariable regression models accounting for potential confounders were created for the primary and secondary outcomes with adjusted odds ratios as the measures of effect.

RESULTS

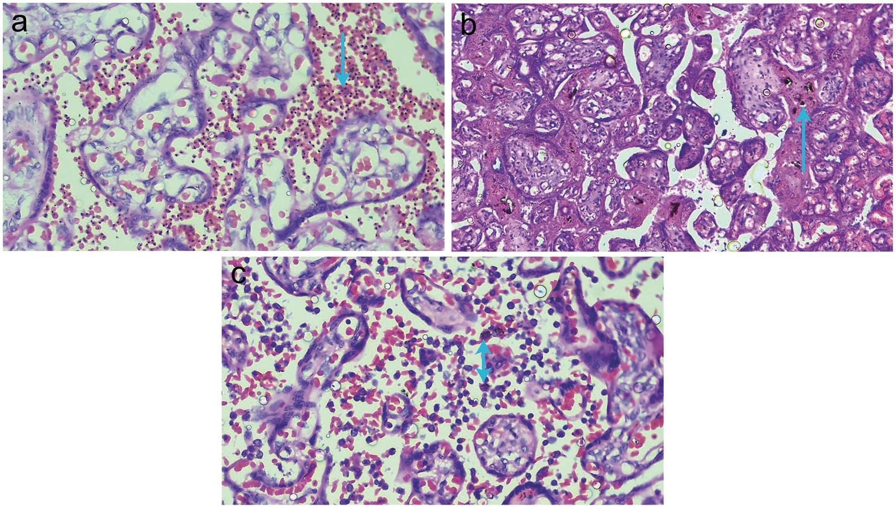
The prevalence of placental malaria was 38.4%. Among the participants with positive placenta malaria parasitemia, 49.6%, 36.5%, and 13.9% had chronic, acute, and past placental malaria infections, respectively. Only was found in the placenta. According to the bivariate analysis, unbooked status ( = 0.001), non-use of intermittent preventive therapy for malaria ( < 0.001), and village dwelling ( = 0.020) were significantly associated with placental malaria. However, on multivariable logistic regression, only non-uptake of intermittent preventive therapy for malaria was independently associated with placental malaria (adjusted odds ratio, 2.2, 95% confidence interval: 1.20, 4.1, = 0.011). There was a significant difference in the mean birth weight between those with placental malaria and those without placental malaria (2.8 ± 0.5 kg vs. 3.2 ± 0.4 kg, = 0.001). Additionally, placental malaria was significantly associated with low birth weight among the primigravidae ( < 0.001).

CONCLUSIONS

In Nigeria, there is a strong correlation between low birth weight and placental malaria in Primidravidae. Placental malaria was found to be independently correlated with non-uptake of intermittent preventive therapy for malaria.

摘要

背景与目的

疟疾在孕期可能致命,对母亲和胎儿均构成严重风险,尤其是在撒哈拉以南非洲地区。初产妇由于免疫力不足,在疟疾传播率高的地区特别容易感染胎盘疟疾。本研究旨在确定初产妇中胎盘疟疾感染的患病率、危险因素、孕期引起疟疾的疟原虫类型及其与新生儿出生体重的关系。

方法

这是一项分析性横断面研究,涉及357名在尼日利亚包奇的阿布巴卡尔·塔法瓦·巴雷瓦大学教学医院分娩的初产妇。从胎盘母体表面的近心区取胎盘组织块,并记录新生儿的出生体重。样本用10%中性缓冲福尔马林固定,并进行组织病理学分析。主要结局指标是确定胎盘疟疾与新生儿出生体重之间的关系。使用标准统计检验分析人口统计学和结局。针对主要和次要结局创建了考虑潜在混杂因素的多变量回归模型,以调整后的优势比作为效应量度。

结果

胎盘疟疾的患病率为38.4%。在胎盘疟疾寄生虫血症阳性的参与者中,分别有49.6%、36.5%和13.9%患有慢性、急性和既往胎盘疟疾感染。在胎盘中仅发现 。根据双变量分析,未登记状态( = 0.001)、未使用疟疾间歇预防性治疗( < 0.001)和居住在农村( = 0.020)与胎盘疟疾显著相关。然而,在多变量逻辑回归中,只有未接受疟疾间歇预防性治疗与胎盘疟疾独立相关(调整后的优势比为2.2,95%置信区间:1.20,4.1, = 0.011)。有胎盘疟疾者和无胎盘疟疾者的平均出生体重存在显著差异(2.8±0.5千克对3.2±0.4千克, = 0.001)。此外,胎盘疟疾与初产妇低出生体重显著相关( < 0.001)。

结论

在尼日利亚,初产妇中低出生体重与胎盘疟疾之间存在密切关联。发现胎盘疟疾与未接受疟疾间歇预防性治疗独立相关。

https://cdn.ncbi.nlm.nih.gov/pmc/blobs/114a/11391525/ca95242ddd33/nihms-2020832-f0001.jpg

文献AI研究员

20分钟写一篇综述,助力文献阅读效率提升50倍。

立即体验

用中文搜PubMed

大模型驱动的PubMed中文搜索引擎

马上搜索

文档翻译

学术文献翻译模型,支持多种主流文档格式。

立即体验