Suppr超能文献

子宫内膜癌复发的组织学和分子类型变化与其相应原发肿瘤的比较

Histologic and Molecular Type Changes in Endometrial Cancer Recurrences in Comparison With Their Corresponding Primary Tumors.

作者信息

Moreno-Moreno Esther, Caniego-Casas Tamara, Carretero-Barrio Irene, Cortés Alfonso, Muriel Alfonso, Domínguez-Rullán José Antonio, Martín-Gromaz Carmen, Moreno-Bueno Gema, Matías-Guiu Xavier, Palacios José, Pérez-Mies Belén

机构信息

Department of Pathology.

Department of Medical Oncology.

出版信息

Am J Surg Pathol. 2024 Sep 13;48(12):1580-7. doi: 10.1097/PAS.0000000000002308.

Abstract

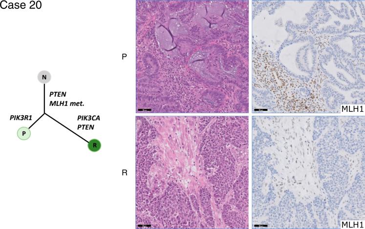
In this study, molecular alterations in endometrial carcinoma (EC) recurrences were analyzed. We aimed to identify genes implicated in tumor progression and to evaluate whether histologic and molecular type shifting occurs in recurrences. Thus, we analyzed 50 samples corresponding to 24 primary ECs (15 low-grade endometrioid endometrial carcinomas [LG-EECs] and 9 high-grade endometrial carcinomas) and their corresponding 26 recurrences. These were studied by immunohistochemistry, next-generation sequencing, and MLH1 promoter methylation. We observed shared mutations in all primary tumors and their recurrences, indicating a clonal relationship between both lesions. Most morphologic and molecular changes associated with progression were found in LG-EEC. In this group, 6 patients (40%) presented additional mutations in the recurrence. These mutations more frequently affected genes of the PI3K/AKT/PTEN pathway, implicating this pathway not only in tumor initiation but also in progression. In addition, 2 patients (13%) in which the primary tumor belonged to the nonspecific molecular profile subtype, shifted to the mismatch repair deficient (MMRd) subtype after the acquisition of MLH1 promoter methylation in the recurrence lesions. In 3 patients (20%) with MMRd, there was a change from LG-EEC to G3-EEC. One TP53-mutated LG-EEC transformed into an undifferentiated carcinoma in a mediastinal lymph node metastasis after losing the expression of SMARCA2 while preserving SMARCA4 and SMARCB1. Morphologic and molecular changes in EC recurrences, especially dedifferentiation and the acquisition of MMRd, should be considered for a correct diagnosis and treatment. MMRd should be tested in metastatic lesions, if available, in patients with primary tumors reported to be of a molecular subtype different from MMRd.

摘要

在本研究中,分析了子宫内膜癌(EC)复发时的分子改变。我们旨在鉴定与肿瘤进展相关的基因,并评估复发时是否发生组织学和分子类型转变。因此,我们分析了50个样本,对应24例原发性EC(15例低级别子宫内膜样腺癌[LG-EEC]和9例高级别子宫内膜癌)及其相应的26例复发肿瘤。通过免疫组织化学、二代测序和MLH1启动子甲基化对这些样本进行研究。我们观察到所有原发性肿瘤及其复发肿瘤中存在共同突变,表明这两种病变之间存在克隆关系。与进展相关的大多数形态学和分子变化见于LG-EEC。在该组中,6例患者(40%)在复发时出现额外突变。这些突变更频繁地影响PI3K/AKT/PTEN通路的基因,提示该通路不仅参与肿瘤起始,还参与肿瘤进展。此外,2例患者(13%)原发性肿瘤属于非特异性分子谱亚型,在复发灶中获得MLH1启动子甲基化后转变为错配修复缺陷(MMRd)亚型。在3例(20%)MMRd患者中,有从LG-EEC转变为G3-EEC的情况。1例TP53突变的LG-EEC在纵隔淋巴结转移中转变为未分化癌,同时保留SMARCA4和SMARCB1的表达但失去SMARCA2的表达。对于EC复发时的形态学和分子变化,尤其是去分化和获得MMRd,在正确诊断和治疗时应予以考虑。对于原发性肿瘤报告为不同于MMRd分子亚型的患者,如有可能,应在转移灶中检测MMRd。

https://cdn.ncbi.nlm.nih.gov/pmc/blobs/e5d2/11556818/3f7e5b8d22d8/pas-48-1580-g001.jpg

文献AI研究员

20分钟写一篇综述,助力文献阅读效率提升50倍。

立即体验

用中文搜PubMed

大模型驱动的PubMed中文搜索引擎

马上搜索

文档翻译

学术文献翻译模型,支持多种主流文档格式。

立即体验