Suppr超能文献

弥漫性胃癌:分子特征与新兴治疗策略的全面综述。

Diffuse Gastric Cancer: A Comprehensive Review of Molecular Features and Emerging Therapeutics.

机构信息

Division of Hematology/Oncology, Department of Medicine, Columbia University Irving Medical Center, 161 Fort Washington Avenue, Room 956, New York, NY, 10032, USA.

Division of Surgical Sciences, Department of Surgery, Columbia University Irving Medical Center, New York, NY, USA.

出版信息

Target Oncol. 2024 Nov;19(6):845-865. doi: 10.1007/s11523-024-01097-2. Epub 2024 Sep 13.

Abstract

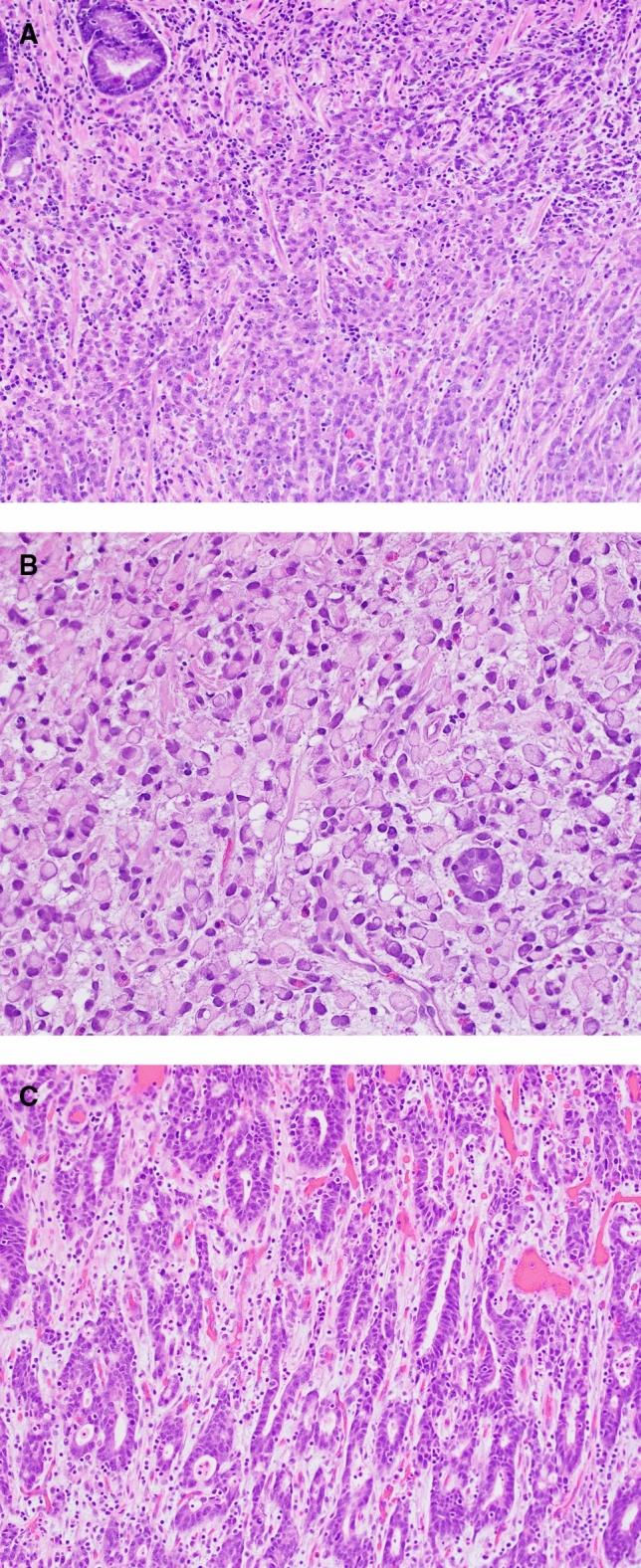
Diffuse-type gastric cancer (DGC) accounts for approximately one-third of gastric cancer diagnoses but is a more clinically aggressive disease with peritoneal metastases and inferior survival compared with intestinal-type gastric cancer (IGC). The understanding of the pathogenesis of DGC has been relatively limited until recently. Multiomic studies, particularly by The Cancer Genome Atlas, have better characterized gastric adenocarcinoma into molecular subtypes. DGC has unique molecular features, including alterations in CDH1, RHOA, and CLDN18-ARHGAP26 fusions. Preclinical models of DGC characterized by these molecular alterations have generated insight into mechanisms of pathogenesis and signaling pathway abnormalities. The currently approved therapies for treatment of gastric cancer generally provide less clinical benefit in patients with DGC. Based on recent phase II/III clinical trials, there is excitement surrounding Claudin 18.2-based and FGFR2b-directed therapies, which capitalize on unique biomarkers that are enriched in the DGC populations. There are numerous therapies targeting Claudin 18.2 and FGFR2b in various stages of preclinical and clinical development. Additionally, there have been preclinical advancements in exploiting unique therapeutic vulnerabilities in several models of DGC through targeting of the focal adhesion kinase (FAK) and Hippo pathways. These preclinical and clinical advancements represent a promising future for the treatment of DGC.

摘要

弥漫型胃癌(DGC)约占胃癌诊断的三分之一,但与肠型胃癌(IGC)相比,其具有更强的侵袭性,更易发生腹膜转移,且患者生存率更低。直到最近,弥漫型胃癌的发病机制才得到了更多的了解。多组学研究,特别是癌症基因组图谱(The Cancer Genome Atlas)的研究,将胃腺癌更好地分为了分子亚型。弥漫型胃癌具有独特的分子特征,包括 CDH1、RHOA 和 CLDN18-ARHGAP26 融合的改变。这些分子改变的弥漫型胃癌的临床前模型为发病机制和信号通路异常的机制提供了深入的了解。目前用于治疗胃癌的批准疗法通常在弥漫型胃癌患者中提供的临床获益较少。基于最近的 II/III 期临床试验,Claudin 18.2 为基础和 FGFR2b 靶向疗法令人兴奋,这些疗法利用了在弥漫型胃癌人群中富集的独特生物标志物。有许多针对 Claudin 18.2 和 FGFR2b 的疗法正在进行临床前和临床开发的各个阶段。此外,通过靶向黏着斑激酶(FAK)和 Hippo 通路,在几种弥漫型胃癌模型中已经取得了针对独特治疗弱点的临床前进展。这些临床前和临床进展代表了弥漫型胃癌治疗的未来充满希望。

https://cdn.ncbi.nlm.nih.gov/pmc/blobs/7a31/11557641/be966159c978/11523_2024_1097_Fig1_HTML.jpg

文献AI研究员

20分钟写一篇综述,助力文献阅读效率提升50倍。

立即体验

用中文搜PubMed

大模型驱动的PubMed中文搜索引擎

马上搜索

文档翻译

学术文献翻译模型,支持多种主流文档格式。

立即体验