Suppr超能文献

膳食补充鱼油对中华条颈龟生长、常规成分及肝脏健康的影响()。 (注:括号内原文似乎不完整)

Effects of Dietary Fish Oil Supplementation on the Growth, Proximate Composition, and Liver Health of Chinese Stripe-Necked Turtle ().

作者信息

Li Juntao, Lu Yaopeng, Chen Huiqin, Zheng Peihua, Zhang Xiuxia, Zhang Zelong, Ding Li, Wang Dongmei, Xu Chi, Ai Xiaoqi, Zhang Qiongyu, Xian Jianan, Hong Meiling

机构信息

Ministry of Education Key Laboratory for Ecology of Tropical Islands, Key Laboratory of Tropical Animal and Plant Ecology of Hainan Province, College of Life Sciences, Hainan Normal University, Haikou 571158, China.

Hainan Provincial Key Laboratory for Functional Components Research and Utilization of Marine Bio-Resources, Institute of Tropical Biosciences and Biotechnology, Chinese Academy of Tropical Agricultural Sciences, Haikou 571101, China.

出版信息

Animals (Basel). 2024 Aug 29;14(17):2511. doi: 10.3390/ani14172511.

Abstract

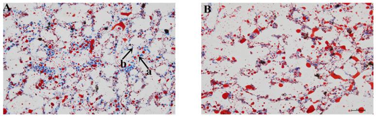
Dietary lipids provide energy for animals and can also be converted into other nutrients (such as non-essential amino acids), which play a role in saving protein. The Chinese stripe-necked turtle is a protected and endangered species that has been bred in captivity; however, basic data on lipid requirements remain unavailable. In this study, 360 (body weight of 65.32 ± 0.15 g) were randomly divided into six groups with three replicates per group; the turtles were fed experimental diets supplemented with various levels of fish oil (i.e., 1% (control group, CG), 3.5% (HF-1), 6% (HF-2), 8.5% (HF-3), 11% (HF-4), and 13.5% (HF-5)) for 10 weeks. The results showed that compared with CG, increasing the fish oil level promoted the growth performance of turtles, and the HF-3 group achieved the best effect. The HF-4 group showed the highest increases in the hepatosomatic index and viscerosomatic index. In addition, increased lipid levels also increased the crude lipid content and reduced the crude protein content in muscle tissue. Oil red O staining showed that the liver lipid content increased with the level of supplemented fish oil, which is consistent with the results of the hepatosomatic index. Compared with CG, triglyceride, total cholesterol, and low-density lipoprotein cholesterol increased significantly in both the liver and serum when fish oil levels exceeded 8.5% ( < 0.05), while high-density lipoprotein cholesterol decreased significantly. Aspartate transaminase and cerealthirdtransaminase levels in serum increased significantly when fish oil levels exceeded 8.5% ( < 0.05). Moreover, the activities of antioxidant enzymes (GSH-Px, SOD, T-AOC, and CAT) and MDA showed similar results, indicating that high fish oil levels (8.5-13.5%) caused liver tissue damage in . Increased fish oil levels significantly upregulated the expression levels of cytokines (, , , , and ) ( < 0.05), downregulated the expression levels of antioxidant enzyme-related genes (, , and ), and increased apoptosis of liver cells. Supplementation of the diet with 3.5-6% fish oil improved the growth performance of , and the turtles maintained a beneficial immune status. The results provide a scientific basis for optimizing the commercial feed formula of .

摘要

膳食脂质为动物提供能量,还可转化为其他营养物质(如非必需氨基酸),在节省蛋白质方面发挥作用。中华条颈龟是一种受保护的濒危物种,已实现人工养殖;然而,关于其脂质需求的基础数据仍然缺乏。在本研究中,360只(体重65.32±0.15克)中华条颈龟被随机分为六组,每组三个重复;给这些龟投喂添加不同水平鱼油的实验饲料(即1%(对照组,CG)、3.5%(HF-1)、6%(HF-2)、8.5%(HF-3)、11%(HF-4)和13.5%(HF-5)),持续10周。结果表明,与对照组相比,提高鱼油水平可促进龟的生长性能,其中HF-3组效果最佳。HF-4组的肝体指数和脏体指数增幅最大。此外,脂质水平升高还增加了肌肉组织中的粗脂肪含量,降低了粗蛋白含量。油红O染色显示,肝脏脂质含量随补充鱼油水平的升高而增加,这与肝体指数的结果一致。与对照组相比,当鱼油水平超过8.5%时,肝脏和血清中的甘油三酯、总胆固醇和低密度脂蛋白胆固醇显著升高(P<0.05),而高密度脂蛋白胆固醇显著降低。当鱼油水平超过8.5%时,血清中的天冬氨酸转氨酶和谷草转氨酶水平显著升高(P<0.05)。此外,抗氧化酶(GSH-Px、SOD、T-AOC和CAT)的活性以及MDA也呈现类似结果,表明高鱼油水平(8.5%-13.5%)会导致中华条颈龟肝脏组织损伤。鱼油水平的升高显著上调了细胞因子(IL-1β、IL-6、TNF-α、IL-8和IL-10)的表达水平(P<0.05),下调了抗氧化酶相关基因(GSH-Px、SOD和CAT)的表达水平,并增加了肝细胞凋亡。在饲料中添加3.5%-6%的鱼油可改善中华条颈龟的生长性能,且龟能维持有益的免疫状态。这些结果为优化中华条颈龟的商业饲料配方提供了科学依据。

https://cdn.ncbi.nlm.nih.gov/pmc/blobs/f63f/11394261/ffc27e1680a3/animals-14-02511-g001a.jpg

文献AI研究员

20分钟写一篇综述,助力文献阅读效率提升50倍。

立即体验

用中文搜PubMed

大模型驱动的PubMed中文搜索引擎

马上搜索

文档翻译

学术文献翻译模型,支持多种主流文档格式。

立即体验