Suppr超能文献

载莫匹罗星的聚乙二醇化壳聚糖纳米粒膜的制备及其增强创伤愈合的研究

Fabrication of Mupirocin-Loaded PEGylated Chitosan Nanoparticulate Films for Enhanced Wound Healing.

机构信息

Centre for Advanced Studies in Botany, University of Madras, Guindy Campus, Chennai 600025, India.

Department of Medical Biotechnology, Aarupadai Veedu Medical College and Hospital, Vinayaka Mission's Research Foundation (DU), Puducherry Campus, Puducherry 607402, India.

出版信息

Int J Mol Sci. 2024 Aug 24;25(17):9188. doi: 10.3390/ijms25179188.

Abstract

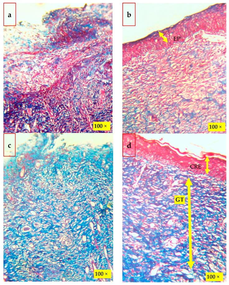
Chitosan-based biomaterials are being investigated for their unique properties that support skin regeneration and wound healing. This study focused on the preparation and characterization of a mupirocin (Mup)-loaded PEGylated chitosan (CS-PEG) nanoparticulate film (NF) [CBNF]. The CBNF was characterized using FTIR spectroscopy and SEM analysis. The results demonstrated that CBNF was successfully incorporated into the composites, as shown by functional group modification through FTIR analysis. Additionally, the SEM micrograph revealed the deposition of nanoparticles (<200 nm) on the surface of transparent CBNF. The film has higher water absorption (≥1700%) and moderate water retention ability within 6 h. Furthermore, histological findings showed significant development, with re-epithelialization and granulation of tissues after 19 days, indicating the healing efficiency of CNBF. These results suggest that drug-loaded films could be an effective carrier and delivery agent for Mup-like anti-inflammatory drugs.

摘要

壳聚糖基生物材料因其支持皮肤再生和伤口愈合的独特特性而受到研究关注。本研究专注于制备和表征载有莫匹罗星(Mup)的聚乙二醇化壳聚糖(CS-PEG)纳米颗粒薄膜(CBNF)[CBNF]。使用傅里叶变换红外光谱和扫描电子显微镜分析对 CBNF 进行了表征。结果表明,通过 FTIR 分析显示功能基团修饰,CBNF 成功地掺入到复合材料中。此外,SEM 显微照片显示了纳米颗粒(<200nm)沉积在透明 CBNF 的表面上。该薄膜具有较高的吸水率(≥1700%)和在 6 小时内适度的保水能力。此外,组织学发现显示出显著的发展,在 19 天后出现组织的再上皮化和肉芽形成,表明 CNBF 的愈合效率。这些结果表明,载药薄膜可能是 Mup 类抗炎药物的有效载体和递送剂。

https://cdn.ncbi.nlm.nih.gov/pmc/blobs/40d5/11394824/a48d3e9c07bb/ijms-25-09188-sch001.jpg

文献AI研究员

20分钟写一篇综述,助力文献阅读效率提升50倍。

立即体验

用中文搜PubMed

大模型驱动的PubMed中文搜索引擎

马上搜索

文档翻译

学术文献翻译模型,支持多种主流文档格式。

立即体验