Suppr超能文献

内质网自噬通过其受体 UBAC2 来抑制炎症反应。

ER-phagy restrains inflammatory responses through its receptor UBAC2.

机构信息

Guangdong Province Key Laboratory of Pharmaceutical Functional Genes, MOE Key Laboratory of Gene Function and Regulation, State Key Laboratory of Biocontrol, School of Life Sciences, Sun Yat-sen University, Guangzhou, China.

Institute of Precision Medicine, Department of Critical Care Medicine, the First Affiliated Hospital, Sun Yat-sen University, Guangzhou, China.

出版信息

EMBO J. 2024 Nov;43(21):5057-5084. doi: 10.1038/s44318-024-00232-z. Epub 2024 Sep 16.

Abstract

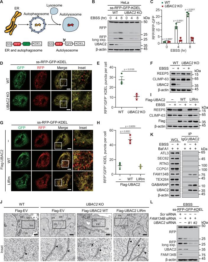
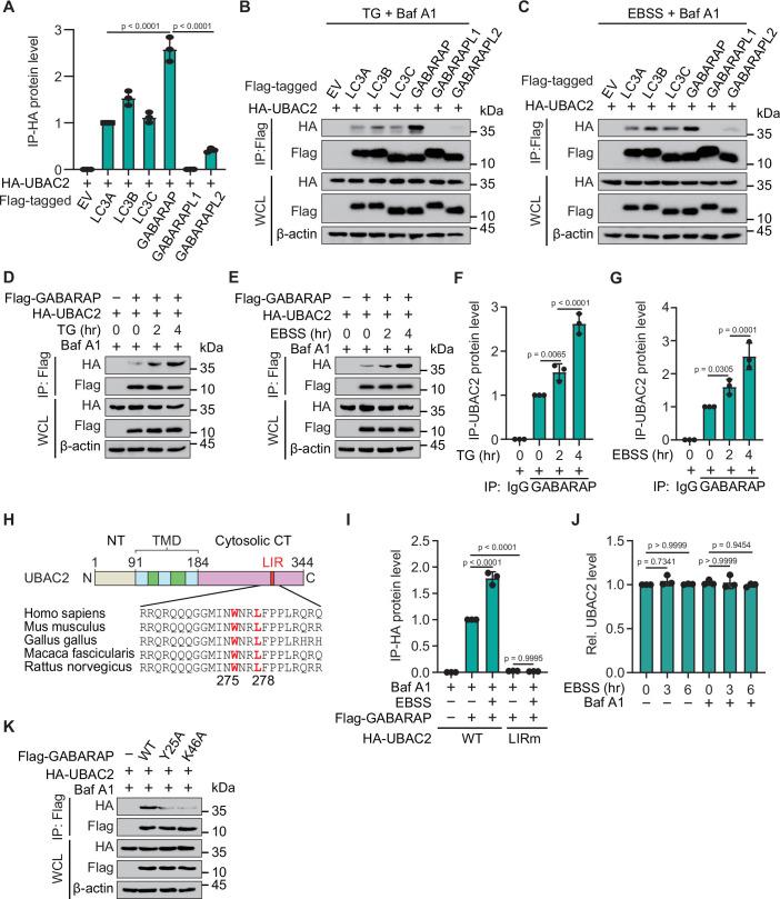
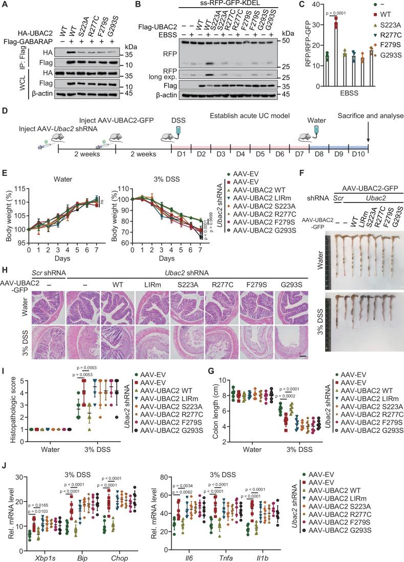
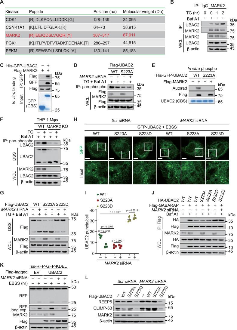
ER-phagy, a selective form of autophagic degradation of endoplasmic reticulum (ER) fragments, plays an essential role in governing ER homeostasis. Dysregulation of ER-phagy is associated with the unfolded protein response (UPR), which is a major clue for evoking inflammatory diseases. However, the molecular mechanism underpinning the connection between ER-phagy and disease remains poorly defined. Here, we identified ubiquitin-associated domain-containing protein 2 (UBAC2) as a receptor for ER-phagy, while at the same time being a negative regulator of inflammatory responses. UBAC2 harbors a canonical LC3-interacting region (LIR) in its cytoplasmic domain, which binds to autophagosomal GABARAP. Upon ER-stress or autophagy activation, microtubule affinity-regulating kinase 2 (MARK2) phosphorylates UBAC2 at serine (S) 223, promoting its dimerization. Dimerized UBAC2 interacts more strongly with GABARAP, thus facilitating selective degradation of the ER. Moreover, by affecting ER-phagy, UBAC2 restrains inflammatory responses and acute ulcerative colitis (UC) in mice. Our findings indicate that ER-phagy directed by a MARK2-UBAC2 axis may provide targets for the treatment of inflammatory disease.

摘要

内质网吞噬(ER-phagy)是内质网(ER)片段的一种选择性自噬降解形式,在调节 ER 稳态方面发挥着重要作用。ER-phagy 的失调与未折叠蛋白反应(UPR)有关,UPR 是引发炎症性疾病的主要线索。然而,ER-phagy 与疾病之间的联系的分子机制仍未得到明确界定。在这里,我们确定泛素相关结构域蛋白 2(UBAC2)是 ER-phagy 的受体,同时也是炎症反应的负调节剂。UBAC2 的细胞质结构域中含有一个典型的 LC3 相互作用区域(LIR),与自噬体 GABARAP 结合。在内质网应激或自噬激活时,微管亲和力调节激酶 2(MARK2)在丝氨酸(S)223 处磷酸化 UBAC2,促进其二聚化。二聚化的 UBAC2 与 GABARAP 结合更紧密,从而促进 ER 的选择性降解。此外,通过影响 ER-phagy,UBAC2 可抑制小鼠的炎症反应和急性溃疡性结肠炎(UC)。我们的研究结果表明,由 MARK2-UBAC2 轴指导的 ER-phagy 可能为炎症性疾病的治疗提供靶点。

https://cdn.ncbi.nlm.nih.gov/pmc/blobs/75b7/11535055/d20b9a244458/44318_2024_232_Fig1_HTML.jpg

文献AI研究员

20分钟写一篇综述,助力文献阅读效率提升50倍。

立即体验

用中文搜PubMed

大模型驱动的PubMed中文搜索引擎

马上搜索

文档翻译

学术文献翻译模型,支持多种主流文档格式。

立即体验