Suppr超能文献

白杨节甲醇提取物的评价:毒理学及对急性肾损伤的保护作用

Evaluation of the methanol extract of BaiYangJie: Toxicology and protective effect against acute kidney injury.

作者信息

Li Jiaxin, Zhou Lingjuan, Wang Jinhui, Zhang Lixia, Xia Bin, Li Guang, Ren Jiahui, Li Jiacheng

机构信息

College of Pharmacy, Heilongjiang University of Chinese Medicine, Harbin, China.

Yunnan Branch, Institute of Medicinal Plant Development, Chinese Academy of Medical Sciences and Peking Union Medical College, Yunnan Branch, China.

出版信息

J Adv Pharm Technol Res. 2024 Jul-Sep;15(3):185-193. doi: 10.4103/JAPTR.JAPTR_467_23. Epub 2024 Jul 22.

Abstract

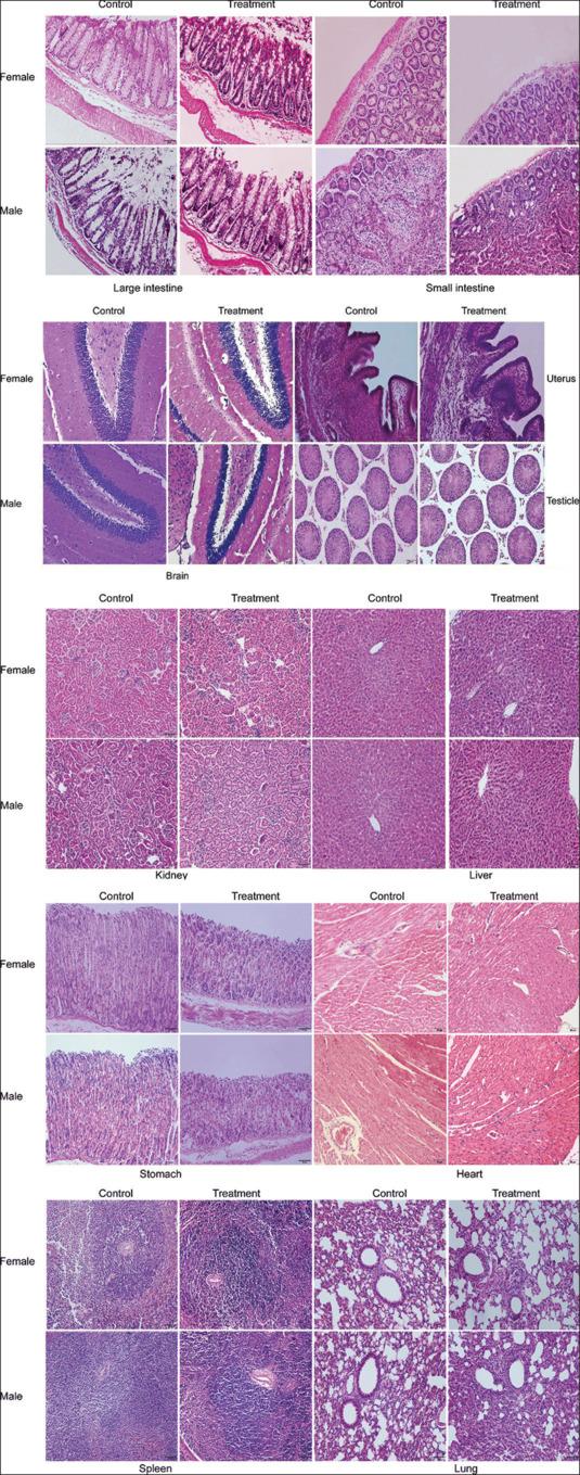
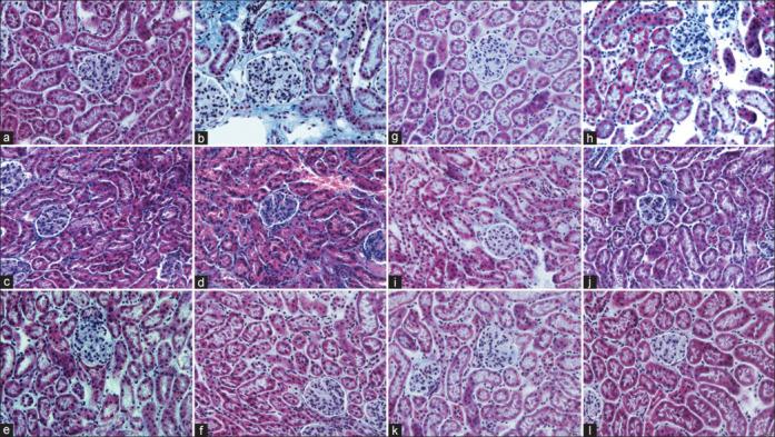
BaiYangJie (BYJ) is a terrestrial perennial plant commonly used as a Dai medicine and has therapeutic effects on liver and kidney diseases. Cisplatin (CP), a chemotherapy drug, has good therapeutic effects but causes many side effects, including nephrotoxicity. This article investigated the toxicology of the methanol extract of BYJ (ME-BYJ) and its protective effect on CP-induced acute kidney injury (AKI) through pharmacological experiments. The results showed that the treated mice had no toxicological symptoms and no anatomical, physiological, or histological abnormalities. The BYJ-high-dose group showed significantly attenuated CP-induced AKI. It is concluded that ME-BYJ has the most significant protective effect on AKI at a dose of 8 g/kg and BYJ was not toxic.

摘要

白阳洁(BYJ)是一种陆生多年生植物,常用作傣药,对肝肾疾病有治疗作用。顺铂(CP)是一种化疗药物,具有良好的治疗效果,但会引起许多副作用,包括肾毒性。本文通过药理实验研究了白阳洁甲醇提取物(ME-BYJ)的毒理学及其对顺铂诱导的急性肾损伤(AKI)的保护作用。结果表明,受试小鼠没有毒理学症状,也没有解剖学、生理学或组织学异常。白阳洁高剂量组顺铂诱导的急性肾损伤明显减轻。得出结论,ME-BYJ在8 g/kg剂量时对急性肾损伤具有最显著的保护作用,且白阳洁无毒。

https://cdn.ncbi.nlm.nih.gov/pmc/blobs/8a80/11404437/bfd41bfb42d0/JAPTR-15-185-g001.jpg

文献AI研究员

20分钟写一篇综述,助力文献阅读效率提升50倍。

立即体验

用中文搜PubMed

大模型驱动的PubMed中文搜索引擎

马上搜索

文档翻译

学术文献翻译模型,支持多种主流文档格式。

立即体验