Suppr超能文献

新型喹啉/嘧啶并二氮杂䓬类作为肺部抗纤维化药物的一锅法合成及药理学评价

One-pot synthesis and pharmacological evaluation of new quinoline/pyrimido-diazepines as pulmonary antifibrotic agents.

作者信息

Fawzy Michael Atef, Ibrahim Karim Hagag, Aly Ashraf A, Mohamed Asmaa H, Naguib Abdel Hafez Sara Mohamed, Abdelzaher Walaa Yehia, Elkaeed Eslam B, Alsfouk Aisha A, Abdelhafez El-Shimaa Mn

机构信息

Department of Biochemistry, Faculty of Pharmacy, Minia University, 61519, Egypt.

Chemistry Department, Faculty of Science, Minia University, El-Minia, 61519, Egypt.

出版信息

Future Med Chem. 2024;16(21):2211-2230. doi: 10.1080/17568919.2024.2394018. Epub 2024 Sep 18.

Abstract

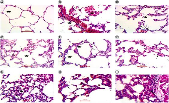
Pulmonary fibrosis is a life threating disease which requires an immediate treatment and due to the limited medications, this study focused on synthesizing a series of quinoline-based pyrimidodiazepines as a novel antifibrotic hit. The target compounds were synthesized via a one-pot reaction then investigated in a rat model of lung fibrosis induced by bleomycin (BLM). Results revealed significant attenuation of the tested pro-inflammatory cytokines, fibrotic genes and apoptotic markers; however, Bcl-2 was upregulated, indicating a protective effect against fibrosis. Moreover, the molecular docking studies highlighted promising interactions between compounds and and specific amino acids within the protein pockets of caspase-3 (ARG341 and THR177), malondialdehyde (LYS195, LYS118 and ARG188) and TNF-α (SER99 and NME102). Compounds and emerge as promising candidates for further preclinical investigation as pulmonary antifibrotic agents.

摘要

肺纤维化是一种危及生命的疾病,需要立即治疗,并且由于可用药物有限,本研究专注于合成一系列基于喹啉的嘧啶二氮䓬类化合物作为新型抗纤维化先导化合物。目标化合物通过一锅法反应合成,然后在博来霉素(BLM)诱导的大鼠肺纤维化模型中进行研究。结果显示,所测试的促炎细胞因子、纤维化基因和凋亡标志物显著减少;然而,Bcl-2上调,表明对纤维化具有保护作用。此外,分子对接研究突出了化合物与半胱天冬酶-3(ARG341和THR177)、丙二醛(LYS195、LYS118和ARG188)以及肿瘤坏死因子-α(SER99和NME102)蛋白口袋内特定氨基酸之间有前景的相互作用。化合物和作为肺抗纤维化药物进一步临床前研究的有前景的候选物而出现。

https://cdn.ncbi.nlm.nih.gov/pmc/blobs/37e9/11622787/8e6ec6ca01b9/IFMC_A_2394018_UF0001_C.jpg

文献AI研究员

20分钟写一篇综述,助力文献阅读效率提升50倍。

立即体验

用中文搜PubMed

大模型驱动的PubMed中文搜索引擎

马上搜索

文档翻译

学术文献翻译模型,支持多种主流文档格式。

立即体验